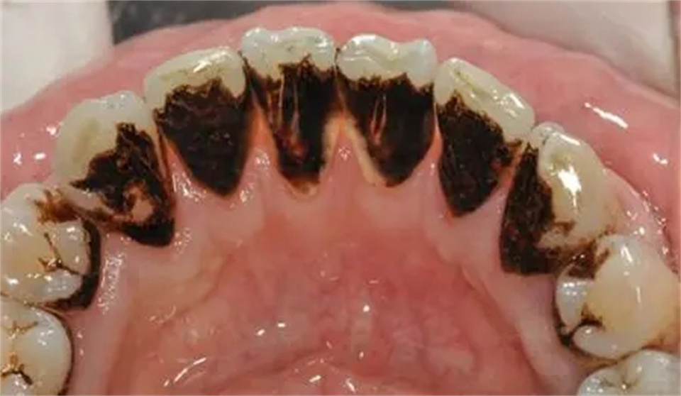
根据个人十年烟龄得知,确实抽烟时间越长牙齿越黑,而且长时间下来的烟渍比锅底还黑,口气也是一张嘴就能熏到一头牛的程度,在形象上简直就是大打折扣,每天都只想一件事,就是怎样把牙齿刷白...

为了解决这个顽固的问题,先后换了十多种美白功效性牙膏牙粉,情况这才慢慢好转,牙齿也逐渐白了,下面都是个人在解决烟牙渍期间用到的一些牙粉和牙膏,还要一些小方法,分享给大家希望能帮你们解决这个问题!

1. 欧丹锦牙粉:这个牙粉价格有点小贵,刚开始也是先买了一盒,牙粉的粉质很细腻,每次都是用牙刷直接蘸取使用,它入口后柠檬味和薄荷味比较明显,用它刷完牙后嘴巴里面是比较清爽的,而且香味持续时间还比较久,有时候没注意吃了重口味的东西,嘴巴里面也不会有啥味道!

当时用了差不多一个月多半盒的时候,我通过拍照对比,发现牙面上的烟渍面积有变小,牙缝处看起来都比之前白了好多,没有那些斑斑点点了,因为用了确实有效果,才赶紧又自己复购了几盒,(非常期待最后的结果),之后又用了半个月左右,牙齿亮白度迅速飙升!烟渍那些黑黑的污渍基本上都没了,一直到现在也是用牙粉和牙膏交替使用,牙齿一直都挺白的!

2. 初净牙粉
这个是随便买的,之前看了一下评价说是还行,这个牙粉颗粒感比较重,不够细腻刷牙总感觉嘴巴里有残留,但是基础的清洁效果还是不错的,刷完牙嘴巴里是淡淡的柠檬味,清新口气的效果还不错,白牙效果一般,刷了一个月牙渍没啥变化,黄还是黄,后面就没再继续用了。

3. 冷酸灵牙膏
这个牙膏是后来才换的,之前用的那个高露洁的也还行。但是这个入口比较清爽,有镇静的效果,比较适合牙齿敏感的人去用,刷完不会损伤牙釉质。口气清新的时间持续的也比较长,不过白牙效果基本没有。是和第一个牙粉配合着使用的,牙齿的状态一直还不错,牙渍滋生的情况也减轻了。

以上提到的就是我用过感觉还不错的,大家可以根据自己的需求去选择!