
BioDaily 试验版
关注生物医学和生命健康最新前沿技术。今天是BioDaily试验版,主要内容包括生物材料,纳米药物,生物医药,柔性器件等领域,请读者批判阅读。
今日特别推荐丨9.仿生皮肤让人在VR中产生热感觉
注:科学研究是一个逐步认识世界的过程,如未经说明,以下内容仅为实验室研究结果,不代表真理。
1. 【生物医学】核小体结合的人BAF复合物结构丨Science
哺乳动物SWI/SNF家族的染色质重塑复合物BAF和PBAF调节染色质的结构和转录,其突变与癌症有关。近日,复旦大学徐彦辉 等研究人员报道了核小体结合的人BAF复合物结构,为人类BAF复合物的亚基组织和核小体识别提供了结构上的了解。
本文要点:
1)冷冻电镜以3.7Å分辨率揭示了结合核小体的人BAF复合物结构。核小体被碱基和ATPase模块夹在中间,后者被肌动蛋白相关蛋白(ARP)模块桥接。 ATP酶马达位于核小体DNA的近端,并且在ATP水解后将与核小体结合并沿其泵送DNA。
2)SMARCB1的C端α螺旋富含在癌症中经常突变的正电荷残基,它介导与核小体的酸性斑块的相互作用。ARID1A和SMARCC分别是基础模块组织中的结构核心和支架。

Shuang He, Zihan Wu, Yuan Tian, et al. Structure of nucleosome-bound human BAF complex. Science, 2020.
DOI: 10.1126/science.aaz9761
https://science.sciencemag.org/content/early/2020/01/29/science.aaz9761
2. 【生物材料】水溶柔性有机框架可包裹和运送蛋白质丨JACS
多孔聚合物由于在分离、催化、负载以及输运等领域具有广阔的应用潜力因而备受关注。然而,到目前为止多孔聚合物的研究重点是构建稳定的静态共价有机框架,具有纳米孔道的水溶性聚合物框架尚未有人报道。近日,复旦大学的Yunchang Zhang、Wei Zhou、Zhanting Li以及美国劳伦斯伯克利国家实验室的Yi Liu等报道了一种能够包裹和输运蛋白质的水溶性多孔聚合物柔性框架。这种新型的水溶性柔性框架为多孔材料的发展开辟了一个新领域。其高孔隙率、高稳定性、纳米尺寸可调、易于制备等优势使其在生物材料领域具有广阔的应用潜力。
本文要点:
1)研究人员以半刚性四醛和柔性二酰胺为原料合成了四种水溶性腙基三维柔性有机框架(FOF-1-4)。1H-NMR表征证实了水溶液中FOF-1-4的存在,动态光散射结果表明聚合物框架中存在直径范围50-120nm的孔道,孔道的具体尺寸由浓度决定。
2)研究人员利用固体样品的乙醇蒸气吸附实验以及2.3nm卟啉客体在水中的高负载量证实了该有机框架内部具有很高的孔隙率。
3)这种新型水溶性有机框架的细胞毒性很低,其固有孔隙能够快速有效地包裹牛血清白蛋白和橙色荧光蛋白等蛋白质并将其输运到细胞内部。流式细胞仪实验表明其所输运的细胞高达99.8%。

Jia-Le Lin et al, Water-Soluble Flexible Organic Frameworks That Include and Deliver Proteins, JACS, 2020
DOI: 10.1021/jacs.9b13263
https://pubs.acs.org/doi/10.1021/jacs.9b13263
3. 【生物材料】具有氧化还原响应的柔性“萘笼” 丨JACS
自然界中存在很多动态体系能够利用柔性折叠来发挥复杂的生物作用。人工合成的“萘笼”也具有这样的特征,能够通过萘环快速反转进行构象的转换来实现不同功能。近日,南方科技大学的蒋伟教授与柏林自由大学的Christoph A. Schalley等发现“萘笼”与四硫富瓦烯和甲基紫精这两种常见的氧化还原可调单元之间存在极强的结合力且能够发生氧化还原响应。具有柔性的萘笼分子和其内部结合的客体分子都具有氧化还原响应能力,这为氧化还原控制的客体释放或刺激响应材料中的新应用开辟了道路。
本文要点:
1)研究人员发现“萘笼”的空腔与芳香性阳离子(如四硫富瓦烯一价和二价离子以及甲基紫精离子)的尺寸并不能完全匹配,但它们之间存在强度高达1010M-1的结合能力。客体分子在两个萘墙之间的嵌入是通过C-H…O、C-H…π以及阳离子…π等相互作用实现的。
2)客体分子进出“萘笼”可以通过氧化还原反应进行调控。当对不含客体分子的萘笼进行氧化时会形成由一个氧化态萘嵌入另外两个萘中的稳定自由基阳离子。
3)一旦柔性“萘笼”发生氧化,被封装的客体分子就会由于结合力较弱而通过空腔被释放出来。因此可以利用主体分子的氧化-还原柔性构象变化来对主客体化学相互作用进行选择性调节。

Fei Jia et al, Redox-Responsive Host–Guest Chemistry of a Flexible Cage with Naphthalene Walls, JACS, 2020
DOI: 10.1021/jacs.9b11685
https://pubs.acs.org/doi/abs/10.1021/jacs.9b11685
4. 【纳米药物】大小可转化的纳米粒子促进肿瘤细胞渗透,并实现光疗化疗联合治疗丨ACS Nano
大小可转换的纳米药物在克服系统和局部障碍方面具有很大潜力,可以在肿瘤部位有效积累并能渗透整个肿瘤组织。然而,这种纳米药物的设计很少基于主动靶向和细胞内大小转换。在此,中国医学科学院药用植物研究所廖永红、Fei-Fei Yang等人报道了一种细胞内大小可转换的纳米系统,该纳米系统具有多模态和高效的肿瘤渗透性,在提高抗癌效果方面显示出巨大的潜力。
本文要点:
1)设计了一种由两亲性十六肽衍生物自组装制备的带正电的小纳米粒子(<30nm)被叶酸和多巴胺修饰的透明质酸(HA)包裹,形成带负电的大纳米粒子(∼130nm)。
2)这种纳米系统已经被证明可以改善药物的血液循环半衰期,防止药物从纳米载体上过早地泄漏到血管内。一旦在肿瘤中积聚,纳米粒子就容易被HA和叶酸介导的细胞摄取,随后发生细胞内大小转换和小纳米粒子的释放。大小可转换的纳米系统促进了胞吞作用介导的肿瘤渗透,并改善了纳米颗粒的细胞内化和7-乙基-10-羟基喜树碱的细胞内释放。
3)以吲哚菁绿衍生物作为两亲性聚合物的固有组分,纳米系统还显示出额外的治疗诊断功能:光声成像、近红外激光诱导药物释放、协同化疗和光疗,导致皮下B16黑色素瘤模型中的完全治愈率高达50%。

Zhaoqing Cong, Lu Zhang, Si-Qi Ma, et al. Size-Transformable Hyaluronan Stacked Self-Assembling Peptide Nanoparticles for Improved Transcellular Tumor Penetration and Photo–Chemo Combination Therapy, ACS Nano, 2020.
https://doi.org/10.1021/acsnano.9b08434
5. 【纳米药物】氟化壳聚糖促进超声敏化剂结合过氧化氢酶跨粘膜递送以实现声动力治疗膀胱癌丨ACS Nano
声动力疗法(SDT)是一种非侵入性的超声触发治疗策略,用于深度穿透性肿瘤的定位治疗。目前,用于膀胱灌注后SDT治疗膀胱癌(BCa)的纳米声敏剂的设计尚未见报道。在此,苏州大学刘庄、深圳大学吴松等人开发了一种跨粘膜自产氧SDT纳米平台,以实现高效的SDT抗BCa。
本文要点:
1)在该系统中,合成了氟化壳聚糖作为一种高效、无毒的跨粘膜递送载体,然后与中-四(4-羧基苯基)卟吩结合的过氧化氢酶(CAT-TCPP)组装。
2)经膀胱灌注后形成的CAT-TCPP/FCS纳米粒子具有良好的跨粘膜和瘤内穿透能力,可通过过氧化氢酶催化肿瘤内源性H2O2产生O2,有效地缓解肿瘤组织中的缺氧,从而进一步提高SDT在超声作用下消融原位膀胱肿瘤的疗效。
3)提出了一种含有FCS的纳米超声增敏剂配方,以增强跨粘膜传递和瘤内扩散,并以CAT改善肿瘤的氧合,有望以滴注为基础的SDT治疗膀胱肿瘤,而不考虑全身毒性。

Guangzhi Li, Shupeng Wang, Dashi Deng, et al. Fluorinated Chitosan To Enhance Transmucosal Delivery of Sonosensitizer-Conjugated Catalase for Sonodynamic Bladder Cancer Treatment Post-intravesical Instillation, ACS Nano, 2020.
https://doi.org/10.1021/acsnano.9b06689
6. 【纳米药物】利用超小氧化铁纳米颗粒探测和增强配体介导的肿瘤靶向性能丨Theranostics
基于配体-靶点结合的主动靶向是一种将纳米颗粒(NP)成像探针或药物载体精确递送到病变组织的常用策略。然而,这种配体介导的主动靶向往往是以基于EPR效应的被动靶向为前提的。因此,研究主动靶向的NPs效率对于实现肿瘤生物标志物的定量成像和递送来说具有重要意义。埃默里大学毛辉教授对uIONPs的尺寸(3 nm和30 nm)及其对转铁蛋白受体(TfR)介导的主动靶向效率的影响进行了研究。
本文要点:
1)实验制备了绿色荧光染料(FITC)标记的主动靶向uIONPs (FITC-Tf-uIONPs)和红色荧光染料(TRITC)标记的被动靶向uIONPs (TRITC -uIONPs)。实验结果表明,在共注射24小时后,与非主动靶向的uIONPs相比,主动靶向uIONPs具有更高的肿瘤保留效果和更深的穿透深度。但是30 nm尺寸的NPs的主动靶向效果比非主动靶向粒子只高了约1.15倍。
2)uIONPs增强的主动靶向作用是由于大部分的脱靶NPs很容易被肿瘤内的高间质压力通过血管内回输的方式清除出肿瘤。这一研究表明,配体介导的主动靶向可以提高尺寸小于5 nm 的NPs的递送和肿瘤积累,可以作为一种基于NPs的分子成像探针和靶向药物载体的良好平台。

Yaolin Xu, Hui Mao. et al. Probing and Enhancing Ligand-Mediated Active Targeting of Tumors Using Sub-5 nm Ultrafine Iron Oxide Nanoparticle. Theranostics. 2020
DOI: 10.7150/thno.39560
https://www.thno.org/v10p2479.htm
7. 【柔性器件】 具有光驱动自持续波状振荡的自主式软致动器,用于光定向自移动和发电丨AFM
模仿人工系统中生物有机体的智能来设计智能致动器,使其能够对持续的环境刺激做出自主反应,这对智能仿生机器人和设备的构建至关重要,但仍然是一个巨大的挑战。基于此,合肥工业大学胡颖等人通过精心的结构设计开发了一种光驱动的自主式碳纳米管双压电晶片致动器。
本文要点:
1)这种卷曲的液滴状致动器可以简单地通过恒定的白光照射来驱动,由光驱动致动产生的光机械负反馈回路自行驱动,沿着致动器的光热响应具有时间延迟,并且卷曲产生的良好弹性结构,以波状方式执行连续的自激振动,这模仿了人类的仰卧起坐运动。
2)此外,通过控制入射光的强度和方向,可以进一步调节这种自主振荡运动。具有连续波状振荡运动的自主致动器在光驱动仿生软机器人和光能收集设备中显示出巨大的潜力。
3)作者还构造了具有趋光性的自移动人工蛇形体,该蛇形体在恒定的光照射下以波传播的方式自发连续地向光源爬行,从而可以将这条蛇放在由摩擦电材料制成的衬底上,以暴露于恒定光照下实现连续的电输出。

Lulu Yang et al. An Autonomous Soft Actuator with Light‐Driven Self‐Sustained Wavelike Oscillation for Phototactic Self‐Locomotion and Power Generation. Advanced Functional Materials. 2020
DOI: 10.1002/adfm.201908842
https://doi.org/10.1002/adfm.201908842
8. 【柔性器件】综述:柔性可穿戴太阳能电池用于自供电电子器件丨EES
随着储能技术的迅速发展和对于全球变暖的持续关注,开发可适用于任何物质或设备表面,具有绿色、可再生和廉价等优点的储能体系极为重要。基于太阳能的光伏技术与器件作为传统能源的理想替代品,可以满足这一需求。在此背景下,柔性、可穿戴的太阳能电池因其灵活性高、轻质、易加工性和可在曲面上集成等优势,成为未来光伏技术实际应用的重要方向之一。基于这一背景,新加坡国立大学的Seeram Ramakrishna教授团队就此发表综述论文。
本文要点:
1)首先总结了柔性、可穿戴太阳能电池用于自供电电子器件的研究进展。
2)其次,分五个部分(钙钛矿、染料敏化、有机、纤维状和纺织太阳能电池)阐述了它们的工作机理、工作准则和设计标准,以及最新进展。
3)最后,总结了可穿戴传感器/设备的新应用,表明该领域巨大的发展前景。

Seyyed Alireza Hashemi, Seeram Ramakrishna, Armin Gerhard Aberle. Recent Progress in Flexible-Wearable Solar Cells for Self-Powered Electronic Devices. 2020.
DOI:10.1039/C9EE03046H
https://pubs.rsc.org/en/content/articlelanding/2020/ee/c9ee03046h/unauth#!divAbstract
9. 【柔性器件】可拉伸的仿生皮肤重建VR中人工热感觉丨AFM
除了视觉和触觉外,皮肤的温觉热感觉可以提供丰富的环境和物体的物理信息,只需简单触摸物体,就可以感应到相对温度,甚至可以在没有任何视觉提示的情况下区分具有不同热特性的物体。因此,在人体表皮上人工地再现精确/可控的热感觉触觉信号,无疑将是重建更真实的虚拟现实(VR)环境的一个主要研究领域。基于此,首尔国立大学Seung Hwan Ko等人首次报道了一种皮肤状、高度柔软、可拉伸且兼具双功能(冷热感觉)的热触觉设备,用于具有单个设备结构(不是单独的加热器和冷却器)的可穿戴VR应用。
本文要点:
1)类似于皮肤的热触觉(STH)设备可以根据反馈控制算法以230%的可拉伸性来模拟理想的热感觉,从而通过即时准确的温度调节来主动冷却和加热可变形的皮肤表面。
2)作为概念验证,STH设备与手指运动跟踪手套集成在一起,可以在各种情况下向皮肤提供人造的热感信息,例如在虚拟空间中触摸冰镇啤酒瓶和热咖啡杯。这种新型的STH设备可以为下一代触觉设备提供潜在的意义,从而为更加现实的虚拟世界领域和医疗热疗提供独特的热信息。

Jinwoo Lee, Heayoun Sul, Wonha Lee, Kyung Rok Pyun, Inho Ha, Dongkwan Kim, Hyojoon Park, Hyeonjin Eom, Yeosang Yoon, Jinwook Jung, Dongjun Lee, Seung Hwan Ko. Stretchable Skin‐Like Cooling/Heating Device for Reconstruction of Artificial Thermal Sensation in Virtual Reality. Advanced Functional Materials. 2020
DOI: 10.1002/adfm.201909171
https://doi.org/10.1002/adfm.201909171
10. 【生物医学】流感血凝素茎多糖的重新定位有助于诱导保护性跨组抗体反应丨Nat. Commun.
保守的血凝素(HA)茎一直是流感疫苗研究的热点。甲型流感group 1 HA茎纳米粒已被证明在动物中具有异亚型保护作用,然而,这种保护作用并不延伸到group 2病毒,部分原因是group 1和group 2茎之间的糖基化程度不同。在此,美国国立卫生研究院Barney S. Graham、Masaru Kanekiyo等人发现,流感血凝素茎多糖的重新定位有助于诱导保护性跨组抗体反应,通过多糖重新定位将茎导向抗体反应精确定位到脆弱部位可能是实现跨group流感保护的一步。
本文要点:
将Asn38HA1的group 2多糖引入基于A/New Caledonia/20/99(H1N1)的group 1茎纳米粒(gN38变异株)可以扩大抗体反应,使其与group 2 HAs发生交叉反应。由gN38变异株诱导的免疫球蛋白对group 2 H7N9病毒感染提供完全保护,而该变异株对group 1 H5N1病毒失去保护。因此,N38HA1多糖通过控制对group决定的茎表位的访问,在指导抗体反应方面起着关键作用。

Seyhan Boyoglu-Barnum, Geoffrey B. Hutchinson, Jeffrey C. Boyington, et al. Glycan repositioning of influenza hemagglutinin stem facilitates the elicitation of protective cross-group antibody responses, Nat. Commun., 2020.
https://doi.org/10.1038/s41467-020-14579-4
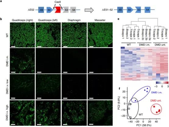
11. 【生物医学】基因编辑改善骨骼肌与心肌衰竭丨Nature Medicine
DMD基因(编码抗肌萎缩蛋白)的移码突变会导致杜氏肌营养不良症(DMD),从而引起患者出现终末肌肉和心力衰竭。通过序列特异性核酸酶进行的体细胞基因编辑为恢复DMD阅读框提供了新的选择,从而表达缩短但功能强大的抗肌萎缩蛋白。近日,德国慕尼黑工业大学C. Kupatt、A. Moretti 等研究人员,在缺少DMD外显子52(DMDΔ52)的DMD猪模型以及相应的患者来源的多能干细胞模型中验证了这种方法,在这些转化模型中,Cas9介导的外显子切除能够改善DMD的病理,并为这种严重疾病患者的新治疗方法铺平了道路。
本文要点:
1)在DMDΔ52猪中,肌内注射血清型9的腺相关病毒载体,该载体带有一个intein-split Cas9和一对靶向外显子51两侧序列的向导RNA(AAV9-Cas9-gE51),从而诱导了缩短的抗肌萎缩蛋白(DMDΔ51–52)的表达并改善了骨骼肌功能。
2)此外,AAV9-Cas9-gE51的全身应用导致抗肌萎缩蛋白在肌肉中的广泛表达(包括横隔膜和心脏),从而延长了存活时间并减少了心律失常的易感性。类似地,在缺乏DMDΔ52患者的诱导性多能干细胞来源的成肌细胞和心肌细胞中,AAV6-Cas9-g51介导的外显子51切除可恢复抗肌萎缩蛋白的表达并减轻骨骼肌肌管的形成,以及异常的心肌Ca2+信号和心律失常的易感性。

A. Moretti, L. Fonteyne, F. Giesert, et al. Somatic gene editing ameliorates skeletal and cardiac muscle failure in pig and human models of Duchenne muscular dystrophy. Nature Medicine, 2020.
DOI: 10.1038/s41591-019-0738-2
https://www.nature.com/articles/s41591-019-0738-2
12. 【生物医学】可调节心血管疾病的机械传感器丨Nature
血流产生的动脉剪切力对于血管发育和体内平衡很重要,但也会引发动脉粥样硬化。排列在脉管系统中的内皮细胞利用分子机械传感器直接检测剪切力图谱,最终导致抗动脉粥样硬化或动脉粥样硬化反应。plexin是信号导向蛋白信号蛋白家族的关键细胞表面受体,可以通过调节细胞骨架和粘附蛋白结构来调节细胞模式。但是,plexin蛋白在机械转导中的作用尚不清楚。近日,英国牛津大学Ellie Tzima 等研究人员,研究表明plexin D1(PLXND1)在机械感觉和机械诱导的疾病发病机理中发挥作用。他们的研究结果在内皮细胞中建立了以前未描述的机械传感器,该传感器可调节心血管的病理生理,并提供一种利用单个受体发挥二元生化特性的机制。
本文要点:
PLXND1是内皮细胞在体外和体内应答剪切力所必需的,并调节动脉粥样硬化病变的位点特异性分布。在内皮细胞中,PLXND1是直接力传感器,与Neuropilin-1和VEGFR2形成机械复合体,这对于赋予连接复合体和整联蛋白上游机械敏感性是必要的和充分的。PLXND1通过采用两种不同的分子构象来实现其作为配体或力受体的二元功能。

Vedanta Mehta, Kar-Lai Pang, Daniel Rozbesky, et al. The guidance receptor plexin D1 is a mechanosensor in endothelial cells. Nature, 2020.
DOI: 10.1038/s41586-020-1979-4
https://www.nature.com/articles/s41586-020-1979-4
