骨质增生可能是很多的人都会面临的一种情况,但是同样在面对这种情况的时候。有些骨质增生患者可以处理的很好,而有些骨质增生患者只会让这种疾病的病情变得更加的严重。

膝盖是人体非常重要的一个部位,承载着人们的体重,背负着压力,膝盖骨头如果出现骨刺的话,可想而知,它会带给病人多么大的痛苦。那么,如果膝盖骨头变形了怎么办呢?都有哪些好的方法呢?这恐怕是很多患者关注的问题。本节中,一起来看看膝盖骨头出现骨刺的治疗方法。

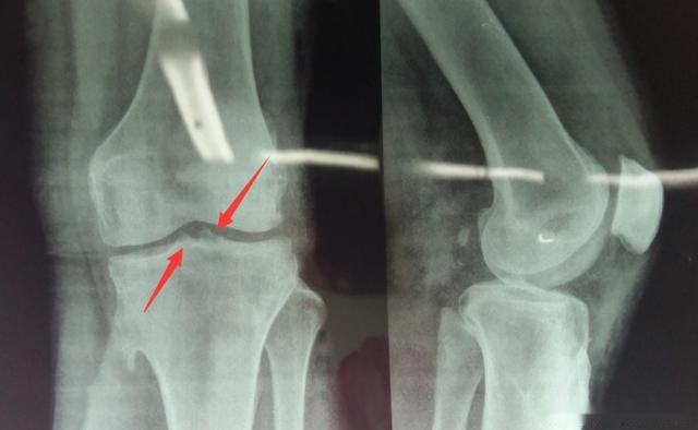
骨刺的检查手段
骨刺,是骨质增生的俗称,又称骨赘,是一种常见的骨科疾病,一般认为与年龄老化、损伤、肥胖超重、内分泌紊乱、骨细胞代谢异常、神经营养障碍、关节局部血循改变等因素有关,可伴有严重的疼痛。骨刺本身不会消除,有症状时以临床治愈为目标。
X线平片不仅为骨质增生的常规检查方法,有的学者还认为骨质增生的X线检查是追踪病情变化的金标准。

骨刺的X线片可分为五级:
0级:无改变;
1级:轻微骨赘;
2级:明显骨赘,关节间隙正常;
3级:骨赘外关节间隙中度狭窄;

4级:骨赘外关节间隙严重狭窄,伴软骨下骨硬化。
3.骨刺的原因
膝盖骨质增生的发病人群比较多,患病后给患者的行走带来了一定的困难,那么是什么原因导致膝盖骨质增生发生的呢?下面就请专家为您详细介绍。
1、与年龄有关,准确的说是随着人体膝关节磨损时间的增加。膝关节逐渐的出现关节软骨破坏和膝关节边缘的骨赘形成,也就是形成骨刺。
2、关节液的改变;关节液本身是起到润滑关节的作用,如果因为某些原因,导致关节液分泌减少,或是关节液成分的改变导致润滑作用降低,都会导致膝盖骨质增生。
3、膝关节软骨组织改变;老年人软骨基质中的蛋白多糖含量减少,胶原纤维增加,软骨弹性减低,易受损伤而发生异常改变。

4、外伤因素;意外伤害造成膝关节内骨折、半月板损伤、髌骨脱位等原因可造成膝关节软骨损伤。
5、膝关节感染或炎症因素:膝关节内感染可引起膝关节软骨破坏,进而引发膝盖骨质增生。
6.体质因素也是导致骨刺形成的原因。体重增加使本来已遭磨损的退化的关节再加上重荷,当然就更容易破坏,所以骨质增生多发生于负重较大的髋、膝、跟骨、腰椎等部位。另外由于关节疼痛,骨刺患者不自觉地限制了活动而使体重增加,相互影响又加重了关节病变。
7.姿势不良也是会导致骨刺的出现的。如长期伏案工作者、睡眠姿势不良、枕头不合适者颈椎骨质增生的发病率特别高。这是由于椎旁肌肉韧带及关节的平衡失调,张力大的一侧易造成不同程度的劳损,并由于颈椎的部分肌肉呈持续紧张状态,久之这些肌肉发生静力性损伤,进而使颈椎发生退行性改变而引起骨质增生。这也是导致骨刺形成的原因。
因此,不要以为骨刺离你很远,要时刻提醒自己要多运动,多起来走走。
4.骨刺的症状
膝关节骨质增生的症状:初期,起病缓慢者膝关节疼痛不严重,有可持续性隐痛,气温降低时疼痛加重,与气候变化有关,晨起后开始活动,长时间行走,剧烈运动或久坐起立开始走时膝关节疼痛僵硬,稍活动后好转,上、下楼困难,下楼时膝关节发软,易摔倒。蹲起时疼痛,僵硬,严重时,关节酸痛胀痛,跛行走,合并风湿病者关节红肿,畸形,功能受限,伸屈活动有弹响声,部分患者可见关节积液,局部有明显肿胀、压缩现象。

膝关节骨质增生以中老年人多见,而且女性发病高于男性。患者主要表现是一侧或双侧关节不适,疼痛肿胀。起初疼痛多在长时间行走或上下楼梯时,但休息或卧床后好转。但随着病情发展,走平路也疼痛,活动不方便,关节不稳定,走路稍不注意就会感觉到疼痛,同时膝关节活动时有像捻头发时所发出的响声。重者膝关节还会突然“锁”在某一位置上,解“锁”时,伴有明显的弹响。这说明关节内已经有了游离体,才能避免病情加重。
症状体现
初期
一般在行走、慢跑、上下楼梯、久立、下蹲、跑步时疼痛或是伴有麻木,关节弹响,关节伸屈功能障碍,休息后缓解。中老年人多伴有晨僵现象出现。
中期
当天气寒冷或潮湿时疼痛会出现加重的情况,早晨起床或久坐起立时膝关节疼痛麻木僵硬,稍活动后反而好转,此时可引起注意。
后期
膝关节肿胀,关节积液,晨僵及久坐后有胶着现象,关节伸屈功能障碍,跛行,功能受限,伸屈活动有弹响声,在下台阶、久立时膝关节症状加重,部分患者可见关节积液,局部有明显肿胀、压缩现象,膝其中关节前内侧条索样肿块伴伸膝障碍,膝关节周围骨赘形成,关节周围伴有骨质疏松与骨质硬化。关节面毛糙不平,其内侧胫股关节面受累明显,关节间隙变窄,其中多数会发生内侧间隙狭窄,髌骨骨刺形成。

一旦发现自己有上述症状,切勿轻视,需立刻到医院确诊和治疗,以免加重病情。
记住一点骨质增生不经过治疗是不会康复的。
膝盖骨质增生的治疗方法?现在很多人的膝关节出现了骨质增生的毛病,骨质增生对膝关节的正常活动是有非常大的影响,所以呢,骨质增生患者要想方法去把这种疾病给治好。现在治疗骨质增生的方法有好几种,不同的方法,治疗的效果也是不一样的,这就需要骨质增生患者去了解了。
膝盖骨质增生的治疗方法?
1.药物医治:
服用药物医治骨质增生的效果其实是非常一般的,这是由于药物经过肠胃吸收以后,才可以发挥出作用,也就是说从服下药物到消化吸收的过程中,药效会丢失不少,所以临床上,通常只能用药物来减轻骨质增生所带来的苦楚,假如想运用药物从根本上治好骨质增生,那是不可能的工作。
2.理疗法:
理疗法顾名思义,指的就是物理疗法。临床上,光和电,都归于物理疗法的主要方法,很多的骨质增生患者会运用一些物理疗法来进行医治,并且医治的作用也是比较好的。
3.牵引法:
经过牵引力和反牵引力的原理,来使骨质增生患者的膝关节恢复到一个正常的位置,固定膝关节,不让膝关节出现位移的情况。可是这么并不可以继续多长的时刻,只可以在短时刻内起到一个医治的作用。可是这种疗法没有危险,很适合一些大龄的骨质增生病人去运用。
膝盖骨质增生的治疗方法?骨质增生可能在早期对患者的膝关节不会造成多么大的伤害,但随着骨质增生的病情加重,膝关节活动起来可能会更加的困难,甚至无法负重了。因此大家不要轻视骨质增生,要在早期就把这种疾病治好。
4.膝盖长骨刺是能按摩的吗
膝关节骨质增生一种慢性关节病,又称增生性关节炎或老年性关节炎,多在中年以后发生,严重时可影响患者的日常工作。患者可适当进行按摩,以起到辅助治疗的目的。患者接受按摩治疗前,必须有X线片证明膝关节腔内没有骨性游离体方可进行。

膝关节骨质增生的按摩疗法操作:
①.患者仰卧,术者立于患肢侧,一手扶膝关节,另一手握足跟,使患者屈膝、屈髋各90度,继而以膝为轴,先顺时针,再逆时针摇晃小腿各10次。
②.然后医者将一手腕部放于患肢腘窝处,另一手握患者小腿,使患者屈膝,其足跟尽量靠近臀部,缓慢用力,重复屈按10次。
③.患者仰卧,患肢外展约30度,以足离床边为度。术者将患肢踝部夹于大腿之间,双手把握膝关节两侧。
④.先用术者自身重力缓缓牵拉患肢,边牵拉边抖动膝关节约1分钟。然后术者一手扶患肢膝关节,另一手扶患肢踝部将其盘于对侧腿上,用拇指在滑囊处、膝关节间隙处做揉、推、拨手法治疗1分钟~2分钟。
⑤.患者仰卧,嘱其双手反抱住头部,术者双手握住患肢踝部向下牵拉1分钟~2分钟,牵拉同时摇动患肢膝关节。
⑥.治疗手法结束后,患者仰卧,双腿略分开,术者握空拳,从大腿到小腿反复叩击10次~15次。
5.针灸治疗:
膝盖骨刺的针灸治疗效果很好但是治疗时间比较长,短时间内会取得比较好的效果,长效效果好必须要长期治疗效果显著,在传统针灸的基础上再加上董氏奇穴,董氏奇穴选腕顺穴等配伍治疗效果特别好,可以把治疗时间缩短,针灸还可以配合电针效果更佳。

6.骨刺的饮食注意什么
骨刺,是骨质增生的俗称,又称骨赘,是一种常见的骨科疾病,一般认为与年龄老化、损伤、肥胖超重、内分泌紊乱、骨细胞代谢异常、神经营养障碍、关节局部血循改变等因素有关,可伴有严重的疼痛。

骨刺患者在饮食上应该注意:
多补钙。骨质增生患者容易出现骨质增生,因此需要多补充钙质,多吃豆制品、海带、虾皮、多喝牛奶。
多吃含抗氧化剂的食物。富含抗氧化剂的食物有芒果、木瓜、甜瓜、葡萄、橘子、凤梨、香蕉、草莓、番茄、包心菜、马铃薯等。

多摄入维生素。骨质增生患者要多吃水果、蔬菜,增加维生素的摄入,如动物肝脏等。
膝盖骨刺原则就是一定要早治疗不要耽误治疗
还是要说一下我的徒弟陆续的要学成回去了,我要再收三四个徒弟男女不限,原则是真心喜欢中医针灸正骨推拿这一块,而且人品一定要好,前提说一下不是免费的因为我不希望技术不值钱,有些高手也不用喷我我自己不可能治疗全国的患者,只想我的徒弟能够造福一方百姓。微 187 6686 5626 我把我的微信留着上面有真心喜欢的想学针灸正骨推拿这样块的可以加我。
我是刘阁大夫 希望能够帮助到大家