原创: Why君 DrWhy 5天前
“他们被割掉舌头,他们被切去牙床,狰狞的手术伤疤撕裂他们的脸庞,癌变的噩耗宣告着死亡……他们都曾是槟榔的痴迷者,并坚信是那颗黑色果子,将他们带入病魔深渊。”
这是几年前,一篇名为《槟榔王国里的“割脸人”》纪实调查报告里的一段描述。这些“割脸人”大都来自湖南,他们都有一个共同的特点,爱吃槟榔!

虽然,2003年国际癌症研究中心(IARC)就将槟榔列为一级致癌物,但每天吃槟榔的人仍不在少数。什么“槟榔加烟,法力无边”、“你的味道,我知道”、“槟榔在口,精神抖擞”等一系列脍炙人口的谚语和广告词时时刻刻充斥着人们的生活。
那么槟榔到底是怎么流行起来的呢?
嚼槟榔习俗已久
其实,吃槟榔的习俗已经有4000多年的历史了。我国也是较早吃槟榔的国家之一,比如,宋代罗大经在《鹤林玉露》中就曾对槟榔的功效作了四点总结:一使清醒的人变醉;二使喝醉的人清醒;三给饥饿的人充饥;四让吃饱的人助消化。
写完这四点,Why就要忍不住吐槽一下了,如果真的这么管用的话,那就太魔怔了,什么醒酒药、助消化药是不是都可以丢一边去了,来一颗槟榔就好了呀。
在印度,吃槟榔的习俗也是流传已久。公元前900年,印度皇室就有吃槟榔的习俗,国王甚至有专门的侍从采摘槟榔果和槟榔叶,以满足国王随时随地吃槟榔的欲望。
在南亚,谈起槟榔的药用价值,那可是比它的致癌性要出名得多。比如,槟榔经常作为*阳药壮**、口气清新剂等出没在一般的社交聚会、婚礼和其他宗教活动中[1]。不可思议的是,这种习俗已经渗透到了南亚的各个社会阶层,可以说,吃槟榔已经成为了南亚的一种民族文化。

尤其是越南,槟榔更成为了婚姻的重要象征。关于这个,这里还有个很有意思的故事。
传说一个女人在错把双胞胎中的弟弟当成自己的丈夫后,发生了一件不可描述的事情,之后弟弟在悔恨中去世,变成了石灰石;知道弟弟去世的消息后,哥哥也悲痛而死,变成了一棵挺拔纤细的槟榔树;最后女人也在绝望中死去,变成了爬满槟榔树的槟榔藤[2]。
看来,双胞胎还是长得不要太像比较好,哪怕是发型不一样呢?也不至于发生尴尬的事情。
虽然只是一个传说,但人们始终愿意将槟榔识为爱情和婚姻的重要象征,或许也正是因为这个原因,才有了后来将槟榔果包在槟榔叶里,再混合上点石灰一起吃的这种讲究。
也不知道这样吃石灰石,会不会把嘴烧了。
一级致癌物
除了自古以来吃槟榔的习俗外,人们喜欢槟榔,还有一个很重要的原因,就是它能够给人带来快感!
的确,这种被称为“中国式口香糖”的大腹子(槟榔的别称)在被人们吃下去之后,很容易使人面色潮红、精神亢奋,就像喝醉酒一样。但也正是因为这个原因,槟榔成为了继*草烟**、酒精、咖啡因之后全球第四大成瘾物。

不过,槟榔之所以能够成为“变相*片鸦**”,这背后还少不了商家的推波助澜。商家们为了迎合现代人的口味,经常在槟榔里添加各种香精,各种味道的槟榔一应俱全,使得人们越来越离不开槟榔。
开车累了,吃上一口,瞬间精神抖擞;压力大了,来一口,顿感压力释放;结识好友,也只需要一颗槟榔……
只是在对待槟榔这件事上,人们只记得它带来的各种快感,似乎忘了它还是一级致癌物。
其实,早在2003年,槟榔就被IARC列入了一级致癌物的行列,与其并列的还有*霜砒**、甲醛、二噁英等。
但实际上,关于槟榔致癌这件事,人们一直争论不休,尽管之前有论文证明槟榔能够增加口腔癌的风险,但爱好槟榔的人对此给出的解释是,槟榔里添加的*草烟**成分混淆了槟榔致癌的结果,以此误导了大家。

吸烟有害健康的文章没少看吧
所以该吃槟榔的继续吃着槟榔,毫不影响。只是,后来的一项研究啪啪打了这些人的脸。
在台湾,人们吃槟榔有个特点,不喜欢在里面添加*草烟**成分。1996年,一项针对台湾地区吃槟榔与患癌风险之间关系的研究报告显示,吃槟榔的人患口腔癌的相对风险为58.4%[3],且吃槟榔的持续时间越长、每日吃槟榔的频率越高,患癌的风险就会越高。其次,研究还证实,吃槟榔可引起其他疾病,比如,心血管疾病、糖尿病和哮喘等等。
不知道爱吃槟榔的人看到这里会不会有一丝惊恐,反正对于一个一口未沾槟榔的纯良Why君来说,是有点惊恐的。
在另一项研究中,人们发现,槟榔与*草烟**同时使用比单吃槟榔,更容易患口腔癌。另外,研究还证明,槟榔中的有害成分被人体吸收后,还可引起咽喉癌、食道癌、肝癌的发生 [4-6]。
这还不算完。
2012年,在一项台湾男性的病例对照研究中,人们发现,吃槟榔还是阻塞性冠状动脉疾病、高血压和血脂异常的独立危险因素[7]。

既然有这么多证据摆在人们面前,为什么依然有那么多的人奋不顾身地加入到吃槟榔的队伍中呢?
一来,是没有充足的证据证明吃槟榔与口腔癌之间有因果关系;二来,槟榔产业链相当庞大,牵一发可动全身,更何况,有些地区甚至还把吃槟榔当成了一种当地的传统文化;三来,嚼槟榔有一定的成瘾性。
2000年,一项针对英国伦敦西部某地区槟榔食用者的研究表明,长时间嚼槟榔的人会出现典型的类似*卡因可**的依赖症状,包括头痛、出汗等等,而且症状难以戒断[8]。
要命还是要槟榔?
据不完全统计,全世界约有6亿多人正在吃槟榔。在中国,尤其是湖南,吃槟榔的人更是不在少数,据粗略估计,湖南人吃槟榔的概率达到了38.42%,小至几岁的孩子,大到几十岁的老人,都在吃槟榔。
近年来,随着吃槟榔人数的增多,湖南省患口腔癌的概率也在逐步上升。2017年年底,湖南省肿瘤防治研究办公室发布的该省肿瘤登记的最新数据中显示,在男性发病前十位中,口腔癌排到了第七位,这是口腔癌首次进入湖南省全部癌症比例的前十。有媒体甚至调侃,口腔癌成为了湖南的“特色癌”。
说不定,现在你身边就有很多隐形“槟榔人”,如果有机会看到他们偷偷吃槟榔,记得一定要劝告(或者把文章转给他们更好,坏笑)。
当然,槟榔致癌,不是一蹴而就的事,而是常年日积月累的结果。
首先,槟榔的机械刺激,会对我们的牙齿造成重度磨损[9],其次,不断地咀嚼槟榔会对口腔黏膜造成损伤,使口腔黏膜硬化,形成条索,最后发展成口腔黏膜纤维化(OSF)。
OSF可不像感冒发烧这样的小病,扛一扛说不定还能挨过去,它是一种癌前病变,癌变率稳居口腔黏膜病变最前列。
想一想,是不是还挺可怕的?本来吃槟榔就纯粹是为了高兴,但如果因此而搭上性命,是不是就不值得了?

上图箭头指的部位为口腔黏膜纤维化;下图为病理切片
一项研究调查发现,爱好嚼槟榔的人中约有66%的人会不约而同地出现口腔黏膜病变,而在不嚼槟榔的人群中,这一概率仅为1.5%。另外,据不完全估计,湖南60%的口腔癌与嚼槟榔有关。
这也从另一种角度证明了,槟榔确实与口腔癌之间存在着某种关联。
大部分的论文里,对槟榔致癌这一说法给出的解释是,槟榔里的许多活性成分和代谢产物有细胞毒性、遗传毒性甚至直接致癌性,比如槟榔碱。
槟榔碱是槟榔中的一种特殊成分,有拟胆碱性质,具有明确的细胞毒性,会造成OSF[10,11]。临床表现为口腔有烧灼感,尤其在进食刺激性食物时更明显。大多数早期会出现疱,破溃后形成溃疡,可能会出现疼痛、口干、味觉减退等症状。后期还会造成张口受限,言语及吞咽困难。
到这时候,别说是还想着日日夜夜吃槟榔了,估计连喝口汤都费劲。
除了槟榔本身的活性成分和代谢产物外,常常与槟榔一起配伍进食的石灰石中还含有高浓度砷,也被认为有致癌性[12]。
如果患者发展到OSF阶段,没有及时停止嚼槟榔,也没有进行正规治疗,那么口腔癌就近在咫尺了。

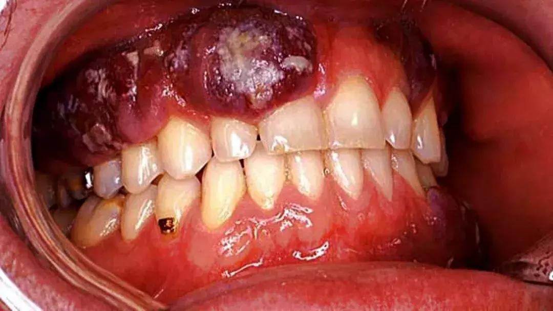
口腔癌
一旦OSF向口腔癌突变,情况将会变得越来越糟糕。如果是早期口腔癌,局部切除即可,如果拖到中晚期的话,不仅要切除舌头,还要做淋巴结清扫,影响外观是小,影响面部功能可就大了,万一还没结婚,就找不到对象了呢?是不是太不划算了?更可怕的是,超过半数以上的患者手术治疗后还会因为癌症复发而死。
可是,就算是这样,依旧有些人放不下槟榔。就像当年的“割脸人”一样,在疾病到来之前,没有一个人意识到自己会被槟榔害成那个样子。
Why君对他们只能表示无奈。在槟榔的世界里,他们活的像个孩子,也活得像个罪人,不是伤害了别人,而是伤害了自己。
虽然有句话叫,人活着只要开心就行,但如果连活下去的机会都没有的话,又何谈快乐呢?
编辑神叨叨:
看完文章,你是否做好了戒掉槟榔的准备?
参考文献:
[1]. Nelson B S, Heischober B. Betel nut: a common drug used by naturalized citizens from India, Far East Asia, and the South Pacific Islands[J]. Annals of emergency medicine, 1999, 34(2): 238-243.
[2]. http://eresources.nlb.gov.sg/infopedia/articles/SIP_883_2004-12-17.html
[3]. Lu C T, Yen Y Y, Ho C S, et al. A case‐control study of oral cancer in Changhua County, Taiwan[J]. Journal of oral pathology & medicine, 1996, 25(5): 245-248.
[4]. Avon S L. Oral mucosal lesions associated with use of quid[J]. Journal-Canadian Dental Association, 2004, 70(4): 244-250.
[5]. Secretan B, Straif K, Baan R, et al. A review of human carcinogens—Part E: tobacco, areca nut, alcohol, coal smoke, and salted fish[J]. The lancet oncology, 2009, 10(11): 1033-1034.
[6]. Yen A M F, Chiu Y H, Chen L S, et al. A population-based study of the association between betel-quid chewing and the metabolic syndrome in men[J]. The American journal of clinical nutrition, 2006, 83(5): 1153-1160.
[7]. Tsai W C, Wu M T, Wang G J, et al. Chewing areca nut increases the risk of coronary artery disease in Taiwanese men: a case-control study[J]. BMC Public Health, 2012, 12(1): 162.
[8]. Winstock A R, Trivedy C R, Warnakulasuriya K, et al. A dependency syndrome related to areca nut use: some medical and psychological aspects among areca nut users in the Gujarat community in the UK[J]. Addiction Biology, 2000, 5(2): 173-179.
[9]. Yeh C J. Fatigue root fracture: a spontaneous root fracture in non-endodontically treated teeth[J]. British dental journal, 1997, 182(7): 261.
[10]. Hebbar P, Sheshaprasad R, Gurudath S, et al. Oral submucous fibrosis in India: Are we progressing??[J]. Indian journal of cancer, 2014, 51(3): 222-222.
[11].Kerr A R, Warnakulasuriya S, Mighell A J, et al. A systematic review of medical interventions for oral submucous fibrosis and future research opportunities[J]. Oral diseases, 2011, 17: 42-57.
[12]. Al-Rmalli S W, Jenkins R O, Haris P I. Betel quid chewing elevates human exposure to arsenic, cadmium and lead[J]. Journal of hazardous materials, 2011, 190(1-3): 69-74.