
医脉神经每周五个工作日都有雷打不动的早餐病例学习,每天3个短小精悍的小case,每天掌握3个知识点。每个群的群主轮流提供早餐病例,感谢各位群主及老师们的辛苦付出,也感谢参与讨论的众多群友。大家思想的碰撞,产生了无数的智慧火花,常在群里逛逛,每天都有新的收获。
作者:赵伟,赵莲花(天津泰达医院) 感谢为晨读三分钟病历提供、整理、审校的老师:周晓宇、杜晓萍、曾伟、赵尧辉、陶哥、常志强、姜映维、于小刚、鲍磊、雷爱弟、于小荣、吕华东、李张霞、梁新明、申永国、黄波涛
病例1
男性,出生2月余,喂食差,癫痫,呕吐,低血糖。

答案:枫糖尿病。枫糖尿病是由α-酮酸脱氢酶多酶复合体功能缺陷引起的常染色体隐性遗传病。婴儿起病的白质脑病要想到枫糖尿病。影像上要注意和Leigh综合征鉴别。Leigh综合征多在10岁以前发病,以婴幼儿多见;神经系统的主要表现为抽搐、卒中发作、眼外肌麻痹、痴呆、共济失调、视神经病变等。Leigh多为双侧对称性分布,病变形态不规则,大小不等,呈斑块状;病变主要累及双侧壳核及导水管周围灰质,也可累及丘脑(尤其是背内侧核)、小脑齿状核、脑干、脑白质和皮质均可受累;MRI呈长T1、长T2信号,T2-FLAIR和DWI像病变信号多不均匀。枫糖尿病特点为弥漫性的脑白质水肿,遍及大脑和小脑半球的TW2I上的高信号,尤其在基底节及脑干区。典型表现为侧脑室旁、基底节区、脑干、小脑T2WI及DWI上的高信号影,DWI显示的更加敏感;MRS在0.9ppm处可发现一个相对特异性的宽峰;同时可见NAA峰的下降及Lac峰的升高。
病例2
男性67岁,右侧肢体无力24小时。

答案:脑梗死,左侧颈内动脉夹层。DWI相可早期发现颈部动脉夹层导致的脑梗死改变,轴位MRI可在一定程度上观察血管壁或管腔的情况。此外,MRI上T1WI压脂相更容易观察到血管壁间的血肿。血肿信号呈偏心分布,导致动脉血管外径增加,管腔偏心狭窄。夹层在MRI影像学检查上可表现为内膜瓣、双腔征、壁内血肿、瘤样扩张、串珠征、锥形狭窄及闭塞征象。提醒大家注意的是,壁内血肿不一定是夹层,要与斑块内出血鉴别。有文献提出,二者在HR-MRI上还是有所差异的,斑块内出血常常在出血周围可见非出血成分。
病例3
看图识病。

答案:左侧燕尾征消失。补充病例:男性,75岁患者运动迟缓,静止性震颤,肢体强直,右侧为重,诊断帕金森病。燕尾征消失多见于帕金森病、帕金森叠加综合征、路易体痴呆等变性病中。

病例4
女,54岁,癫痫20年。

答案:节细胞胶质瘤。特征是部分囊变、强化,基于皮质的肿块,见于颞叶癫痫的儿童/年轻成人。节细胞胶质瘤可发生于任何部位,但最常见于大脑半球表浅部位,颞叶(>75%)。最常见为边界清楚的囊性病变,伴壁结节。可为实性,边界清楚;钙化常见(达50%)。浅表病灶可使皮质肿胀、颅骨重塑。大约50%可强化。要和胚胎发育不良性神经上皮瘤相互鉴别。胚胎发育不良性神经上皮瘤病灶多呈边界清楚的三角形假囊肿样病变,多位于皮质(可累及皮质下)或深部皮质核团,有时也可表现为肥皂泡状巨脑回状;T1WI呈低信号,T2WI呈高信号;増强扫描肿瘤无强化或轻度强化;无瘤周水肿或占位效应。
病例5
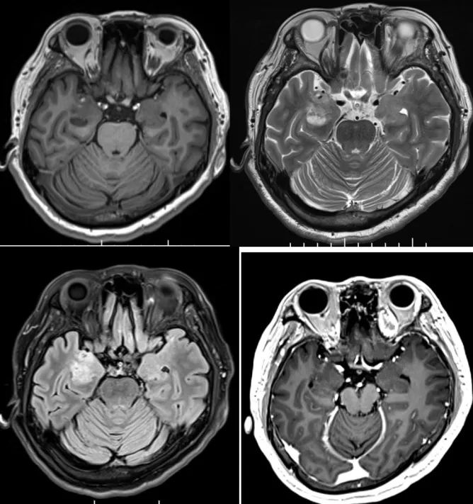
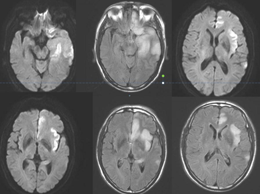
男性59岁,主因头痛发热9天,认知下降5天入院。查体:神志清,反应迟钝,记忆力下降,定向力和计算力检查不合作,肌力和肌张力基本正常。

答案:单纯疱疹病毒性脑炎。复查后如下:

单纯疱疹病毒性脑炎(HSE)是由单纯疱疹病毒(herpessimplexvirus,HSV)感染引起的一种急性CNS感染性疾病,又称为急性坏死性脑炎。HSV有两种血清型,即HSV-1和HSV-2。在人类大约90%HSE由HSV-1引起。仅10%由HSV-2所致,且HSV-2所引起的HSE主要发生在新生儿,是新生儿通过产道时被HSV-2感染所致。神经节中的神经细胞是病毒潜伏的主要场所,HSV-1主要潜伏在三叉神经节,HSV-2潜伏在骶神经节。当人体受到各种非特异性刺激使机体免疫力下降,潜伏的病毒再度活化,通过嗅神经和三叉神经侵入脑组织,常选择性损害额叶基底部和颞叶,不损害豆状核。临床常见症状有:头痛、呕吐、轻微的意识和人格改变、记忆丧失、轻偏瘫、偏盲、失语、共济失调、癫痫发作、多动(震颤、舞蹈样动作、肌阵挛)、脑膜刺激征等。精神行为异常可为首发或唯一症状。单疱病毒性脑炎MR表现以双侧颞叶、额叶受累为主,脑岛及海马均受累,病变均与豆状核分界清楚,以外囊为界。
病例6
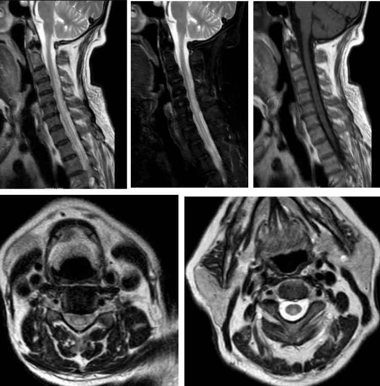
男性34岁,肢体麻木无力1月余入院。查体:神志清,双上肢肌力5级,双下肢4+级,远端4级,左上肢触觉轻度减退,双下肢触痛觉,振动觉明显减退,外院激素冲击治疗5天症状无改善。

答案:脊髓亚急性联合变性。维生素B12摄取、吸收、结合与转运的任何一个环节出现障碍均可引起维生素B12缺乏。内因子抗体和(或)抗胃壁细胞抗体阳性的SCD患者需要长期肌肉注射维生素B12。笑气中毒也是脊髓亚急性联合变性的重要原因,需要注意个人生活接触史。除了经典的反兔耳征/八字征/倒Ⅴ字征,脊髓亚急性联合变性还可以表现为圆点征、小字征、三角征。脊髓亚急性联合变性还需要与铜缺乏性脊髓病、维生素E缺乏性脊髓病、艾滋病相关性脊髓病鉴别。
病例7
男39岁,因右侧肢体无力,言语障碍伴反应迟钝5小时。入院查体:嗜睡,言语障碍,反应迟钝,右侧肢体肌力1级,右侧病理增征阳性,入院后查心电图及心脏彩超未见异常,腰穿颅压200毫米H20,脑脊液常规生化未见异常。头颅DSA示左侧颈总动脉及左侧锁骨下动脉闭塞。

答案:血管型梅毒。青年脑卒中的发病率为(48~240)/10万。国内报道的青年脑卒中占所有卒中的13.44%。其常见原因有:早发性动脉粥样硬化、心源性栓塞、血液成分异常、烟雾病、炎性动脉病等。炎性动脉病主要包括大动脉炎、变态反应性疾病和特异性感染(如梅毒、带状疱疹、疟疾、钩端螺旋体)、非特异性感染(如系统性红斑狼疮)。本病例给的信息不足以诊断梅毒,目的是提醒老师们血管病的病因不要忘记梅毒。
病例8
男性50岁,下午睡觉后家属喊不醒,大概4-5小时,之后反应淡漠,右下肢软瘫。

答案:神经梅毒。患者中年男性,急性起病,主要表现为反应迟钝,右下肢软瘫,头颅影像提示以双侧顶枕叶对称性高信号,左侧丘脑点状病灶,额颞叶萎缩。老师们想到了低血糖脑病、PRES、脑梗死、CO中毒等。小僧悟道老师一眼就看出来是梅毒,着实厉害。与年龄不相符的脑萎缩是重要特征。
病例9
老年女性,急性起病,突发颈后部疼痛伴右侧肢体麻木无力,右侧肢体肌力2级。

答案:脊髓硬膜外血肿。补充病史既往长期服用华法林。患者临床以麻木,肢体无力卒中样起病。但是有颈部疼痛病史,病史跟影像提示脊髓硬膜外血肿。脊髓硬膜外血肿可能是自发的,也可能是继发于创伤、凝血功能障碍或麻醉操作。危险因素包括高龄、女性、创伤、血管畸形、抗凝治疗和高血压。提醒注意的是这样的患者有可能在绿色通道中被当做急性卒中患者被溶栓。
病例10
男性68岁,四肢末梢麻木2月余,伴有站立不稳,加重1周,不能独立行走。查体双侧跟膝胫试验欠稳准,双侧位置觉、震动觉减退。

答案:脊髓亚急性联合变性。患者老年男性,亚急性病程,以深感觉受累为主要表现,脊髓影像长节段病灶,轴位显示后索病灶“圆点征”,颅内影像改变无特异性,NMOSD相关抗体检测以及OB均阴性。其特征性影像有“圆点征”、“小字征”、“三角征”、“八字征”等。
病例11
男性11岁,进行性左下肢无力9年。患者于2岁时“哮喘发作”后4天出现左下肢无力。

答案:哮喘性肌萎缩(asthmaticamyotrophy)、Hopkins综合征(Hopkinssyndrome),又称急性哮喘并发脊髓灰质炎样损害。是一种罕见的疾病,多以脊髓前角细胞受累为主。临床表现:哮喘急性发作后几天至几周,迅速发生肢体弛缓性下运动神经元瘫痪,多累及单侧肢体,在大多数情况下可进展为患肢严重肌肉萎缩。治疗方面:对皮质类固醇的反应很差,以支持对症治疗为主。
病例12
男,21岁,进行性右侧肢体无力1月。无发热、腹泻等病史。

答案:生殖细胞瘤。颅内生殖细胞瘤多发于儿童和青少年,以10~25岁多见。主要发生于颅内中线位置上,常见于松果体区和鞍区,发生在基底节区和丘脑的约占4%~10%,而松果体区是生殖细胞瘤最好发区。CT平扫为圆形不规则形或蝴蝶形、均匀等或稍高密度、有或无钙化和小囊变;强化可显现较小的囊变,多表现为中度到明显均匀一致的强化,少数不均匀强化。病灶周边有圆点状钙化。松果体区及鞍区同时发现肿瘤病灶则有利于生殖细胞瘤的诊断。MRI扫描多为等或稍长T1、稍长T2信号,偶尔T1混有高信号出血灶。均一强化、边界清楚,仅少数呈中等或不均匀强化。基底节区生殖细胞瘤肿瘤体积较大,但占位效应不明显、瘤旁水肿较轻。增强扫描时表现为不规则花环样强化或斑点样强化。
病例13
患者,48岁女性。主诉:头痛伴言语减少1个月。

答案:血管型脑膜瘤。血管型脑膜瘤是一种比较罕见的脑膜瘤类型,脑膜瘤在所有的颅脑部位肿瘤中占到五分之一左右。WHO(2016)中枢神经系统肿瘤分类中把脑膜瘤分成15个亚型,血管瘤型脑膜瘤是其中一个亚型,属于WHOⅠ级肿瘤。临床症状取决于病变部位、大小及周围水肿情况,常以头痛、恶心、呕吐等颅内高压为主要表现。血管瘤型脑膜瘤是富血供肿瘤,病理上瘤内血管成分较多,表现为管径不一的血管瘤结构或高度扩张的薄壁海绵状血管瘤结构,均为分化成熟的血管。血管型脑膜瘤影像表现既有一般脑膜瘤的常见表现,又有自身特点。
1)肿瘤密度及信号:血管型脑膜瘤CT平扫多呈低密度,MRI扫描T1WI呈低信号,T2WI呈高信号,T2WI信号强度高于其他亚型。
2)肿瘤内血管。血管型脑膜瘤血供非常丰富,CT及MRI可见多发增粗或留空的血管影,增强扫描显著强化。有文献提出瘤内出现血管留空信号时血管型脑膜瘤的特征性表现。而“烟花征”也可认为时血管型脑膜瘤的特征性表现。

烟花征
3)肿瘤内坏死、囊变、出血及钙化少见。
4)瘤周水肿。常见病理类型的脑膜瘤瘤周一般水肿较轻或无水肿,这是脑膜瘤区别于其他脑肿瘤的一个征象,但血管型脑膜瘤瘤周水肿发生概率较其他病理类型高。

图1 T2WI呈高信号图。图2MRI增强扫描明显、均匀强化,肿块周围脑实质见大片水肿
病例14
患者,31岁男性。主诉:突发言语不利1天。查体:四肢肌张力正常,病理征(-)。

答案:海绵状血管瘤伴出血。海绵状血管瘤属于颅内较常见的一种血管畸形,根据患者颅内血管瘤所处部位的不同可将海绵状血管瘤分为脑内型及脑外型两种。
海绵状血管瘤在颅内的发病部位多见于右脑、左脑及脑干,因血管瘤所处发病的位置不同,不同部位的海绵状血管瘤也将呈现出不同的临床表现,主要表现为颅内出血、头疼、癫痫症状及局限性脑神经功能障碍。影像学表现:CT:表现为富含血管的占位征象。MRI:脑内病灶:病灶与周围脑组织有明确的边界,呈圆形。病灶在T1加权像呈等信号,在T2加权像或注射对比剂后呈高信号,病灶内有混杂低信号,病灶周围有环形低信号带。脑外病灶:以海绵窦区的海绵状血管瘤为例,在MRI表现为T2WI呈极高信号,增强扫描强化非常显著,ADC值明显升高,DWI接近等信号,MRS检查无NAA峰、Cr峰和Cho峰,可以作出定性诊断。总结:脑内圆形或椭圆形病灶,有混杂密度(代表不同程度的出血,MRI的T2像上有含铁血色素的沉积。T2WI成像显示异常信号团块周围有完整的含铁血黄素沉积带包围。这种低信号改变是诊断海绵状血管瘤的重要依据,是含铁血色素的特征性影像改变。(如下图)

病例15
女性18岁。7岁开始出现双耳进行性听力减退。15岁时右耳听力丧失。18岁,患者因“头晕、共济失调1周”入院治疗。

图左下:左眼眼底照片显示邻近视盘和下颞弓的视网膜变白,有散在的棉絮斑和视网膜内出血。视网膜动脉鞘有许多部分(箭头所示)。图右下:晚期荧光素左眼血管造影显示,从视盘(箭头)流出的动脉段出现明显的高荧光,远端无灌注。有几处周边视网膜不灌注,邻近血管漏。

答案:Susac综合征。Susac综合征又称为视网膜耳蜗脑血管病变,是一种罕见的脑血管病,即不明原因的累及大脑、视网膜小动脉和耳蜗的微血管病变,导致典型的临床三联征:视网膜病、脑病、耳聋病,易误诊为多发性硬化和脑炎等。该病病程一般呈自限性,目前尚无有效的治疗方法。
眼底检查是该病的重要辅查。眼底镜检查常可见由视网膜分支动脉阻塞导致的视网膜缺血性苍白色渗出,常为棉絮状,也可见视网膜动脉壁斑块(Gass斑)、弥漫性小动脉狭窄、动脉银丝样改变,后期可见视网膜动脉间侧支循环形成。Gass斑为Susac综合征的特异性表现,典型的Gass斑为黄色,有或无折光性,常远离视网膜动脉分叉处。Gass斑可随着疾病的好转而消散。眼底荧光血管造影结果可显示视网膜小动脉上细小、局部的阻塞性病灶,即视网膜分支动脉阻塞,是Susac综合征典型的表现,而视网膜静脉一般不受累及。
本病首选MRI进行检查。
1)可见多发灰、白质小病灶,直径多为3-7mm,呈T1低信号、T2高信号影,主要位于胼胝体、侧脑室旁,42%的患者有幕上灰质病灶包括皮质与深部灰质,43%的患者有幕下病灶,包括脑干与小脑,约50%的患者可出现病灶强化,23%的患者伴有软脑膜强化。
2)胼胝体受累以中央纤维为主,周围纤维则较少累及。胼胝体中央部微梗死灶急性期在FLAIR像中为高信号影,常表现为雪球样,也可表现为锥状或条索状。随着疾病的演变,梗死灶液化坏死,T1像表现为胼胝体中央部的“空洞征”,这是Susac综合征较为特异性的影像学表现。DWI可见内囊串珠样高信号影,系内囊微梗死灶引起,为Susac综合征的典型影像学特点。
参考文献:
[1] 公众号萌妹子课堂:单纯疱疹病毒性脑炎的刀切征
[2] 萌妹子课堂:单纯疱疹病毒脑炎(HSE)刀切征的原因
[3] 粉色的小药丸:脊髓亚急性联合变性(SCD)
[4] 杨清华, 莫陵江, 杨宁, 等. 血管瘤型脑膜瘤的CT和MRI表现[J]. 中国中西医结合影像学杂志, 2019(4).
☑ 颈内动脉巨大漂浮血栓、PRES、双侧前循环闭塞丨3分钟读片·1期
