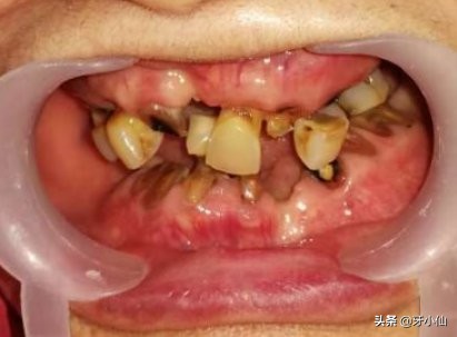
30 多岁的小伙子,被医生拔光了全口牙?

图片信息来源:丁香园
杭州28岁的姑娘,口里的牙齿像80多岁的老太太般的牙齿松松垮垮、根本吃不了东西?

28岁小姑娘,一口牙全不行了!
近日这几则爆出有小年轻就掉了全口牙的新闻在牙医圈中传开了。见过许许多多严重病患的医生仍然感到相当震惊和深深惋惜。
这充分说明了我国口腔科普的极度匮乏,同时也反映了国民的口腔健康意识淡薄。
在我国广泛流传着一句俗语,“老掉牙”。那么人到老了,一定会掉牙么?有些人未老牙齿也脱落,是怎么回事呢?
人老了就要掉牙?不存在的!

考古学家发现的头骨上,牙齿还稳稳地长在骨头上

74的娭毑口里没有好牙齿了,看着都心酸
为什么大部分人就走不出“老掉牙”的误区呢?掉牙齿和年老没有直接关系的。
那么,掉牙是因为缺钙?是感染?是遗传?是肾亏?
其实,究其深层原因,真相只有一个------这都是牙周病惹得祸。

图片来自网络
相对于龋齿、智齿发炎等常见的口腔疾病,牙周病是大家最容易忽视或者是陌生的,因为它的早期症状不易引起重视,患者较难察觉,或者只是以为口腔牙龈“上火”了而已。而且牙周病一开始不会让人们牙很疼,没有锥心的痛,人们就不会太在意,觉得无痛无病嘛,等到牙齿脱落了才后悔不已。
那么什么是牙周病呢?让我们一起来认识牙周病:
一、什么是牙周病(医学上牙周病的定义)
牙周病是指发生于牙支持组织(牙周组织)的疾病,包括牙龈组织的牙龈病和波及深层牙周组织(牙周膜、牙槽骨、牙骨质)的牙周炎两大类。

最新研究表明牙周病可致老年痴呆!
牙周疾病是常见的口腔疾病。2017 年 9 月 19 日,原国家卫计委发布《第四次全国口腔流行病学调查》结果显示:我国成年人的牙周健康率仅为 9.1%,牙周炎是导致我国成年人牙齿丧失的主要原因。牙周病涉及各个年龄层,是危害人类牙齿和全身健康的主要口腔疾病。
牙周病的早期症状不易引起重视,可造成牙周组织长期慢性感染,炎症反复发作,不仅损害口腔咀嚼系统的功能,还会严重影响健康。

二、牙周病主要症状(你会有什么感觉)
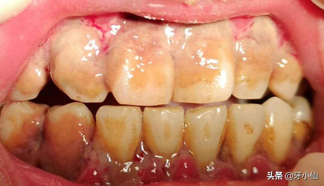
1.刷牙出血、咬硬食时牙龈出血、晨起口内有血丝
2.口腔有异味(口臭)

5米外就能闻到口腔异味
3.牙齿与牙龈分开
4.牙齿之间缝隙越来越大,进食易塞牙
5.牙龈萎缩,牙周肿胀,冷热敏感
6.咀嚼无力或咀嚼时疼痛
7.牙齿变长或移位
8.牙齿松动或自动脱落


拍片子可以看到很多牙齿没长在骨头里,是悬空的,所以松动了
三、牙周病的病因(为什么会得牙周病呢?)
许多人把牙不好单纯地、笼统地归结为上火、肾亏、遗传。其实真正的原因是以下这些:
1.菌斑
是指粘附于牙齿表面的微生物群,不能
用漱口、水冲洗等去除,是引起牙周病的主要致病因素。通俗说来,就是很多细菌一团一团地粘在牙齿上,一般漱口都漱不掉,只能刷牙或者洗牙这样“搓掉”。

2.牙结石
是沉积在牙面上矿化的菌斑。牙结石对牙周组织的危害,主要是它提供了菌斑附着和细菌滋生的良好环境。牙结石本身妨碍了口腔卫生的维护,从而更加速了菌斑的形成,对牙龈组织形成刺激。就像烧水的水壶结是水垢一样,里面是石头包裹着有害的细菌。
3.创伤性咬合
咬合时若咬合力过大或方向异常,超越了牙周组织所能承受的合力,致使牙周组织发生损伤,称为创伤性咬合。创伤性咬合包括咬合时的早接触、牙合干扰、夜间磨牙等。
4.不良生活习惯
嗜烟伴酒、长期咀嚼槟郎、错误的刷牙方式等都会引起牙周病的发生。特别是横着拉锯式刷牙,就像锯木头一样,会把牙齿锯坏。
5.自身因素
自身因素可以降低或改变牙周组织对外来刺激的抵抗力,使之易于患病,并可促进龈炎和牙周炎的发展。自身因素包括有:
(1)内分泌失调:如肾上腺皮质激素、甲状腺素等的分泌量异常。
(2)饮食和营养方面:维生素C的缺乏、维生素D和钙、磷的缺乏或不平衡、营养不良等。
(3)血液病与牙周组织的关系极为密切 白血病患者常出现牙龈肿胀、溃疡、出血等,还有血友病。
(4)某些药物的长期服用:如苯妥英钠可使牙龈发生纤维性增生。
(5)遗传因素:如青少年牙周炎患者往往有家族史。
6.其他
包括食物嵌塞、不良修复体等因素也促使牙周组织的炎症过程。
四、牙周病的发展(牙周病是怎么变化的呢?)
1、牙周病早期:出现牙龈炎、牙龈红肿出血
2、牙周病中期:出现牙周袋,有口臭,化脓现象
3、牙周病中晚期:牙槽骨吸收,患牙松动
4、牙周病晚期:牙槽骨流失,牙齿脱落

五、牙周病的治疗(该如何治疗牙周病呢?)
对牙周病的治疗要从消除病因(对因治疗)和减轻症状(对症治疗)两方面入手。
(一)基础治疗
牙周基础治疗,如龈上洁治(就是俗称的洗牙)、龈下刮治、根面平整等。这些必须由经专科培训、有经验的临床牙周医生进行治疗。这也是为什么许多到口腔科就诊的人,无论是有口臭、牙结石、牙黄,还是牙龈红肿、牙齿松动,医生都强烈建议他们洗牙、牙周刮治的原因。

初步洗牙,去除牙菌斑
(二)手术治疗
经过基础治疗之后,大多数患者的牙周炎症可以得到消除。但是,仍然会有部分患者还会出现牙齿的松动,移位,咀嚼无力及不适等,严重时牙齿可自行脱落或导致牙齿拔除。这时就需要进行牙周手术治疗,如牙龈切除术、牙周植骨术、牙周翻瓣术等,并配合药物治疗(药物不是指降*药火**、补肾药哦)。

这种药不治牙病
(三)修复治疗
牙周炎的修复治疗主要包括种植修复、调牙合、正畸疗法和牙周夹板固定等。
(四)维护治疗
医生看病、治疗都是一时的,最关键是自己平时生活中能不能好好爱惜、注重维护自己的口腔健康。每一位牙周炎患者除每天有效刷牙外(可以用冲牙器、牙线、牙缝刷辅助清洁),还需要定期在医院进行维护治疗以保证疗效,一般为3-6个月。

六、牙周病的预防(如何不让自己得牙周病呢?)
现代医学上主张,早预防,早发现,早治疗。中医上讲究治已病不如治未病。所以我们的重点还是预防牙周病。那么,对于容易发病,后果严重,不易治疗的牙周病,我们自己要怎么预防呢?
1.关键是控制和消除牙菌斑,目前最有效的方法是每天坚持正确刷牙,可以用冲牙器、牙线、牙缝刷进一步辅助清洁口腔。同时,要注意锻炼身体,增强机体免疫力,不可有害细菌可乘之机。
2.除去局部刺激因素,清洁牙齿和刮除牙周的牙石、牙垢(洗牙、牙周治疗),清除不良修复体(不规范的假牙)和食物嵌塞,基本可治愈。
3.补充含有丰富维生素C的食品,有利于牙周炎的康复。值得一提的是,补充维生素,一定是要在去除病因的前提下哦。单纯靠维生素或者别的什么药物是不能治疗牙周病的。
4.牙周病发病后一定要积极治疗,初期疗效尚好,晚期疗效较差,可使丧失牙齿。
引用《淮南子·说林训》中的一句话:“授人以鱼不如授人以渔”,小仙换句话说,替人看病解忧,不如让大家学会自我防范,杜绝病因。希望小仙这篇关于牙周病的小科普,能让大家提高警惕,时刻爱护自身口腔健康!
虽然牙周病容易发病,后果严重,不易治疗,但是牙小仙相信只要我们做到早预防,早发现,早治疗,一定能实现人老牙相伴,实现世界卫生组织制定的8020的目标(到80岁还能有20颗牙)!

图片信息来源:百度百科
想获取更多口腔护理产品及知识,欢迎评论或私信,进行咨询和交流~
原创声明:本文著作权归牙小仙所有,商业转载请联系作者获得授权,转载分享请注明出处,谢谢哦~