年关将至,已经不少人开始准备年货了,瓜子自然是必不可少的选择,但是你知道吗?嗑瓜子最近也成了件危险事儿!
吃瓜子不去皮 孩子出现肠梗阻

2016年1月4日,一名儿童因吃大量没去皮的瓜子导致排便困难,直肠异物嵌塞致使肠梗阻,最后进行手术取出了肛管直肠内约400克葵花子及粪水混合物,才抢救过来。
边嗑瓜子边开车 车毁人亡

9月5日,21年驾龄的刘某驾着一辆载有59人的客车,在高速上行驶,一只手持方向盘,另一只手则一直在拿瓜子嗑。在他弯腰拿起瓜子的一瞬间,客车撞上前方重型货车。刘某当场身亡,19名乘客受伤。
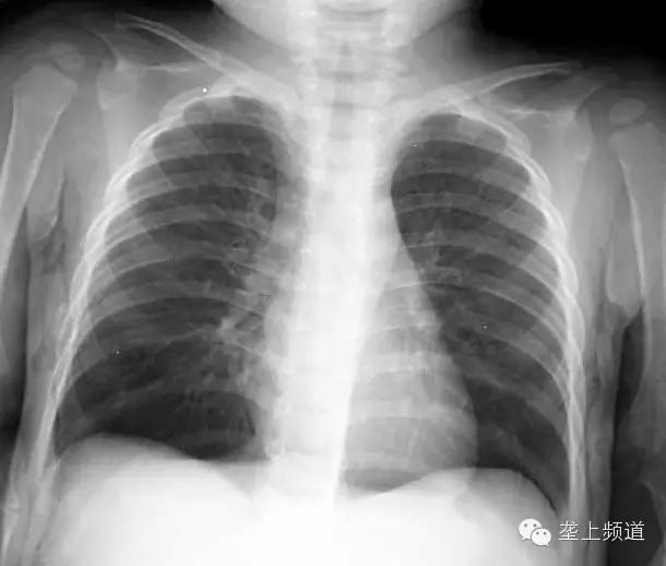
女婴将瓜子吸入支气管 右肺比左肺

6月15日,1岁女婴总是咳嗽喘气,吃药不见好转,扁桃体逐渐肿大。到医院一查,发现右肺含气量比左肺足足大了近3倍,几乎占满右侧胸腔,右支气管内还藏有一颗瓜子。
看完上面3个鲜活的案例,记下了一句话:大人、小孩吃瓜子千万得注意!别因嘴上一时爽,事后再后悔!
近期网上热传的“多味瓜子有毒,吃多了会变笨”
到底是真的吗?

近期有媒体曝出,不同口味的瓜子中均含有色素、明矾等物质,而这些物质对人体健康都会造成危害,还有网传吃多了这样的瓜子会变患上老年痴呆。

为了证实传言,近日,有关部门从市面上抽样检测瓜子,检测结果大都符合国家食品标准,其中所包含糖精钠、甜蜜素、安赛蜜等食品添加剂也都符合标准含量。所以大家不必太过担心。
不过,要是想更健康、放心,还是购买原味的瓜子吧!
怎么挑选安全的瓜子
1
不要买口味重的
现在市面上不但有绿茶、大蒜、奶油瓜子,这些多味瓜子大多与食物本身无关,而是与香精、香料有关。为了口感更好,还会加入具有调味作用的柠檬酸、甜蜜素等。尤其是有些味道非常浓郁,很可能超剂量甚至超范围,不要购买和食用。

2
散装瓜子谨慎买
建议大家首选大品牌的包装瓜子,如果要买散装的,购买时一定要注意。摸着特别滑腻的不要买,瓜子表面本来有自然纹路,每粒都有不同程度的凹陷,如果有异常的滑腻感,可能用滑石粉处理过。
瓜子能多吃吗
1嗑太多易引起胃病

一次性嗑瓜子量太多,空气会不断随着瓜子仁的咀嚼、吞咽进入胃肠,引起打嗝、腹胀、腹痛等不适症状;同时诱人的瓜子香味,不停地刺激胆囊收缩,亦会引发腹痛。
2瓜子嗑太多易损害舌头

如果一次嗑瓜子量太多,持续的时间又长,瓜子与舌头反复摩擦,会引起舌尖部肿痛、红肿、起血泡等现象。
3不利于血糖和血压的控制

每100克瓜子所含热量大于570千卡,比同等重量的米饭、猪肉、羊肉所含热量还要高。无节制地食用花生和瓜子会增加热量和脂肪摄入,使体重增加、血脂升高,不利于血糖和血压的控制。
嗑瓜子这样嗑最好
1 适量即可

每天的食用量,带壳的瓜子控制在一把之内,每次80克左右为宜。大量嗑瓜子会严重耗费唾液,久而久之会影响人的口腔健康,甚至影响消化。
2 要看保质期
瓜子油脂含量比较高,时间越久越容易发生氧化,还可能受到微生物的污染,大大降低其品质,因此不要挑选久存的瓜子,尤其要留意包装袋上的保质期。
3 最好用手剥

因为用牙嗑,容易使舌头、口角糜烂,还会在吐壳时将大量津液吐掉,使味觉迟钝、食欲减少,甚至引起胃痉挛。津液有助于清除口腔食物残渣,减少细菌繁殖和发酵,并能保护口腔黏膜。
4 边嗑边喝茶

瓜子一次不宜吃得太多,以免上火、口舌生疮。在吃瓜子的同时,喝一些绿茶、菊花茶,能缓解上火症状。
5 这些人千万不要嗑
患有肝炎的病人,最好不要嗑葵花子,因为它会损伤肝脏,引起肝硬化。
年关将至,家家户户都会准备很多坚果来招待客人,但是为了您和亲朋好友的健康,请看看这些↓↓↓

◆核桃
作用:每周最好吃两三次核桃,尤其中老年人和绝经期妇女,核桃中所含的精氨酸、油酸、抗氧化物质等对保护心血管,预防冠心病、中风、老年痴呆等是颇有裨益的。
禁忌:有的人喜欢将核桃仁表面的褐色薄皮剥掉,这样会损失一部分营养,所以,不要剥掉这层皮。

◆栗子
作用:由于栗子富含柔软的膳食纤维,糖尿病患者也可适量品尝。
禁忌:生吃难消化,熟食又易滞气,所以,一次不宜多食。

◆开心果
作用:主要含单不饱和脂肪酸,所以开心果不像其他坚果容易酸败,可降低胆固醇含量,减少心脏病。
禁忌:有很高的热量,并且含有较多的脂肪,凡是怕胖的人、血脂高的人应该少吃。

◆杏仁
作用:常食杏仁的冠心病患者,心绞痛发生的几率要比不食者减少50%。还有调节胰岛素与血糖水平的作用,也是糖耐量低减与糖尿病的食疗品之一。
禁忌:杏仁有通便作用,所以消化功能差、常腹泻的人要少吃。

◆榛子
作用:榛子中钙、磷、铁含量高于其他坚果。由于其营养丰富,味道甘美,自古以来人们就把它作为珍果,榛子性平味甘,有补气、健脾、止泻、明目、驱虫等功效。
禁忌:榛子含有丰富的油脂,胆功能严重不良者应慎食。

◆南瓜子
作用 :每天吃50克左右南瓜子,可较有效防止前列腺疾病和前列腺癌。南瓜子含有丰富的泛酸,泛酸可以缓解静止性心绞痛,并具有降压作用。
禁忌:胃热病人宜少食,否则会感到脘腹胀闷。

◆花生
作用:在调整人们,特别是孩子营养平衡方面有很重要的作用。新近科学家发现,花生中含有大量精氨酸及白藜芦醇,前者有潜在抗结核作用,后者能抑制癌细胞浸润与扩散,因此是结核病人及肿瘤患者颇佳的食疗品。
禁忌:花生衣有增加血小板数量、抗纤维蛋白溶解作用,故高黏血症者宜去皮食用。花生消化吸收率较低,过量食用会加重胃肠负担,需引起注意。

◆松子
作用:松子含有蛋白质、脂肪、糖类。所含脂肪大部分为亚油酸、亚麻酸等有益于健康的必需脂肪酸,钙、磷、铁等含量也很丰富,常吃可滋补强身。
禁忌:存放时间长会产生哈喇味,不宜食用。胆功能不良者应慎食。

◆腰果
作用:具有补脑养血,补肾,健脾,下逆气,止久渴等功效。
禁忌:含有多种过敏原,对于过敏体质的人来说,可能会造成一定的过敏反应。含油脂丰富,不适合胆功能严重不良者、肠炎、腹泻患者和痰多患者食用。
爱吃坚果的小伙伴们,健康需谨慎,觉得有用就点个ZAN吧!
垄上频道整理自搜狐母婴、凤凰资讯