牙结石怎么去除干净?牙医提醒,2个方法轻松去除牙结石

随着时代的发展,人们生活水平的提高。现在的人日子过得越来越好了。日常饮食也越来越丰盛,不管是生猛海鲜、牛羊猪肉还是蛋糕甜点、酒水饮料,人们荤素不计,海吃海喝。但是,人们却越来越忽视牙齿的健康!
牙齿人的一生只有两副牙齿,幼儿时期的乳牙和长大后的恒牙。恒牙在6~7岁后渐渐长出,替换掉原来的乳牙。从此恒牙就会跟着我们一辈子!怎么能忽视它的健康呢?!
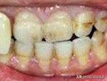
丰富的物质给人们各种口福享受。但是大量的食物残渣堆积在牙缝里滋生出牙菌斑。牙菌斑不能及时清理,就会沁在牙齿上面,形成坚硬的钙盐沉积,我们称之为“牙结石”。牙结石通常呈现出黄色、棕色、或黑色等。
结石是一种异物,它的存在本身就会不断刺激牙周组织并压迫牙龈,影响口腔局部血液循环,造成牙周组织病菌感染,轻则使人牙龈肿痛、出血,严重的时候病菌侵蚀到牙根部,造成牙齿松弛、脱落。令人苦不堪言!
(牙结石 令人痛苦)

厚厚的牙结石即难看又影响口腔健康
一、牙结石怎么去除干净
1、传统手工刮治和超声波洁牙
经过钙化的牙结石难以通过刷牙等传统方式清洁,但口腔洁治可以做到,也就是通常说的洗牙。洗牙有手工挂治和超声洁治两种,目前大部分医院和诊所采用的是超声洁牙。手工刮治通过比较精细的龈下刮治器刮除牙齿附着的牙石和菌斑。而超声洁牙机则通过高频率震荡传导至特制工作尖,将能量集中在工作尖并释放,对顽固坚硬的牙结石产生较大的冲击力,并将其震碎,使其从附着的牙面脱落。同时,超声震荡产生的水雾将环绕在工作尖的周围,将牙结石的碎屑冲洗殆尽。

(超声波洁牙)
两种方法都可以去除牙结石,但相比传统手工洁牙,超声洁牙更加高效、同时更加舒适无痛。特别是针对肉眼不可见的龈下牙结石、牙菌斑等的去除,超声洁牙效率更胜一筹。
2、化学溶解方法
通过溶解方式去除牙结石。牙结石的主要成分是75%的磷酸钙,15%~25%的水、有机物、磷酸锰、矿酸钙及微量的钾、钠、铁所构成。口腔医学家通过人工合成制剂,来跟牙结石产生反应,从而逐渐去除顽固牙结石。
二、日常如何防治牙结石
1. 每天刷牙满足“3分钟”
养成良好的口腔卫生习惯,认真刷牙,正确使用牙线。坚持刷牙,至少每天两次,每次3分钟。经常刷牙可将刚刚开始沉积于牙面的牙垢、牙菌斑及时刷掉,是预防牙结石形成的一种既简便又有效的方法。
2.及早去做牙齿矫正
矫治牙列不齐、牙齿拥挤、错位,消除单侧咀嚼的不良习惯,使所有的牙齿均发挥其咀嚼功能。牙列不齐容易形成口腔死角,刷牙时不易清洁。
3.时常吃些粗粮
控制精细的饮食,精细食物粘稠性大、糖分高、极易沉积于牙面,不仅容易形成牙结石,还会造成龋齿。粗粮和坚果类富含膳食纤维,有益于清理口腔残渣。
三、牙结石放着不管有哪些危害?
1、牙结石附着容易影响美观。牙结石刚开始时是白色的软垢,经过钙化后就会变成淡黄色的硬质污垢。所以当牙结石堆积过多时,就会使牙齿看起来黄黄的,影响美观。

(牙黄图片)
2、牙结石容易引发口臭。当牙结石堆积到一定程度时,就会导致牙龈炎症或者牙周炎症,而牙周疾病的表现症状之一就是口臭。
3、牙龈萎缩:嘴里建筑空间有限,原住民已经住满,牙结石作为外来者,看上了牙齿耐以生存的地盘,想要掠夺,奈何牙齿岿然不动。这期间,一旦牙齿受到伤害或刺激变得软弱。牙结石来势汹涌,步步紧逼,牙肉节节败退,形成牙龈萎缩,而且牙肉萎缩不可逆,这一萎缩, 再也回来了。

(牙周炎图片)
3、牙结石容易引起牙周炎。牙结石堆积过多会对牙龈造成压迫刺激,使牙龈红肿出血发炎,再加上牙龈上吸附的毒素,非常容易造成牙周组织的病菌感染,进而引起牙龈发炎萎缩,形成牙周囊袋。而当牙周囊袋形成后,会使食物残渣、牙菌斑和牙结石等进一步堆积,这种新的堆积又更进一步的破坏更深的牙周膜,如此不断的恶性循环,最终会导致牙周支持组织全部破坏殆尽,从而使牙齿最终脱落。

牙结石严重影响牙龈健康