近日,我院泌尿外科接诊了一位高血压患者
高血压病史20余年
血压最高190/100mmHg
长期服用3种降压药物,血压仍控制不佳
是什么导致患者血压居高不下呢?我院外二科(泌尿外科)专家和大家聊聊
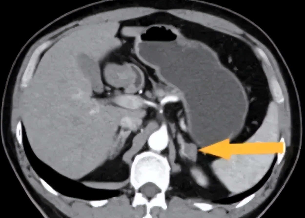
据入院检验检查结果,该患者明确为肾上腺腺瘤导致的原发性醛固酮增多症,引起继发性高血压。为什么肾上腺腺瘤会引发高血压,让我们先了解高血压,

高血压分类
高血压分为原发性高血压、继发性高血压两种。
原发性高血压
主要是遗传因素占主导,父母均有高血压,子女发病概率高达46%,约60%高血压患者有高血压家族史。一般使用降压药物后血压可得到控制。
继发性高血压
指由某些确定的疾病或病因引起的血压升高。特点是高血压居高不下或使用多种降压药物血压仍控制不佳。
导致继发性高血压的主要疾病和病因是
①肾脏疾病:主要是肾小球肾炎、慢性肾盂肾炎、肾动脉狭窄等。
②内分泌疾病:主要是肾上腺病变引起的皮质醇增多症、嗜铬细胞瘤、原发性醛固酮增多症等。
肾上腺调控血压的机制

肾上腺在体内属于内分泌器官,会分泌激素引起心脏兴奋,心脏血液输出量增加,导致血压升高。因此当肾上腺出现病变时,如出现肾上腺腺瘤、肾上腺皮质增生,肾上腺激素分泌紊乱,则会导致血压升高、控制不佳的情况发生,严重者会导致心脑血管意外!
肾上腺病变导致继发性高血压该如何治疗?

外二科副主任医师刘石勇指出,肾上腺腺瘤及肾上腺皮质增生导致的继发性高血压,手术切除是最好的治疗方法。通过手术切除肾上腺病变组织,术后结合降压药物治疗,一般血压可得到较好控制。

因此,患有高血压,血压居高不下,使用降压药物仍难以控制的患者,需注意排查肾上腺方面疾病导致的继发性高血压,只有把导致继发性高血压的病因解决,血压才能得到良好的控制。
科室介绍
泌尿外科(外二科)
泌尿外科(外二科)现有住院病床20张,医疗技术队伍结构合理,有主任医师1名,副主任医师1名,主治医师3名,住院医师1名。科室配备有肾镜、输尿管硬镜/软镜、膀胱镜、等离子前列腺电切镜、钬激光碎石机、气压弹道碎石机、腹腔镜及超声刀等先进医疗设备。常规开展各种泌尿腔镜手术,如:经皮肾镜碎石取石术(PCNL)、经尿道输尿管硬镜/软镜碎石取石术(URS/RIRS)、经尿道前列腺电切(剜除)术、经尿道膀胱肿瘤电切术等。同时开展各种腹腔镜手术,如:腹腔镜精索静脉高位结扎术、腹腔镜肾囊肿去顶术、腹腔镜肾盂成形术、腹腔镜肾上腺肿瘤切除术、腹腔镜肾癌根治术、腹腔镜前列腺癌根治术、腹腔镜膀胱癌根治术等。
【优势病种特色诊疗技术】
针对输尿管结石开展“日间手术”,使部分患者能在24小时内出院,是一种全新的住院手术模式。
大力开展中医外治治疗技术,如:腕踝针、穴位贴敷、耳穴压豆、中药热奄包、艾灸、火罐、埋针等,并联合运用中药辨证施治,促进患者术后康复,疗效确切而显著
专家介绍

刘石勇 副主任医师
擅长:中西医结合诊治泌尿系结石、前列腺疾病、泌尿系肿瘤、男性不育症等疾病,熟练掌握泌尿外科腔内及腹腔镜微创手术,围手术期的中医药调理。
出诊信息
总院:周二、周五上午
总院地址:广州市荔湾区龙溪大道261号
芳村分院:周六上午
芳村分院地址:广州市荔湾区芳信路131号

冯楚辉 医师
擅长:泌尿外科及男科常见病:泌尿系结石、前列腺增生、泌尿系肿瘤、男性不育症等疾病诊治。
出诊信息
芳村分院:周日上午芳村分院:广州市荔湾区芳信路131号
供稿:冯楚辉 | 初审:刘石勇
排版编辑(实习生):林于琳
文字编辑:叶美琪 | 校对编辑:李龙浩
审核:王剑 | 审定发布:范琳燕