不少人看到“骨刺”这两个字时
会认为,骨刺就是一根刺
认为它是扎到肉里
从而引起一系列足部疼痛

真的是这样的吗?
但实际上并不是!
下面就来了解一下
“疼痛”和“跟骨骨刺”之间的关系

# 什么是跟痛症 #
脚跟疼痛,由一系列疾病导致的足跟部疼痛症候群,我们叫“跟痛症”。在中医学中属于“骨痹”范畴,发病原因多与老年肾亏劳损,外伤和感受寒湿有关。

一般分为 跟跖侧疼痛、跟后部疼痛和全跟骨疼痛 三类。
常见的疾病类型有 足底筋膜炎、跟腱滑囊炎、跟骨骨刺 等。

这一期,就主要讲讲
好发于中老年人
足跟部的跟骨骨刺

# 什么是骨刺 #
骨刺,是骨质增生的俗称。足跟骨刺即是足跟骨质增生,足跟骨刺是—种正常的生理退化现象,是人体的—种保护性生理反应,有的人出现得早些,有的出现得较晚些,—般在40岁以后。

骨刺的本质是骨质增生,骨质增生的根本原因是缺钙,为此缺钙也会导致骨刺。
除了人体中钙的摄入减少原因外,骨刺也可因 鞋子、外伤、长期站立、肥胖、肾虚等造成足跟关节磨损、破坏,人体自身会进行自我的修复,硬化与增生 ,形成足跟骨刺。

跟骨骨刺有什么
临床表现吗?
# 跟骨骨刺的临床表现 #
足跟骨刺的症状表现与 骨刺的大小、病发时间的长短、有无炎症 等有关系。
如果有下面这些情况
就要注意了!
认真看看
1.脚后跟脚尖朝上脚后跟向下用力时,里面有针刺感觉,用手摸有麻痹的感觉;
2.长途步行引起劳累后疼痛又会加重,如走路时不慎踩在砖瓦块上 或下楼梯时,足部着地用力过猛,会引起剧烈疼痛;
3.足跟中央有一个压痛点,用手指触压疼痛剧烈;
4.严重者无法踏地行走;
5.足根压痛,脚底疼痛,早晨重,下午轻,起床下地第一步痛不可忍,时轻时重,走路时脚跟不敢用,有石硌、针刺的感觉,活动开后症状减轻。
当然,除了以上症状外
还要辅助以X线和磁共振
来鉴别
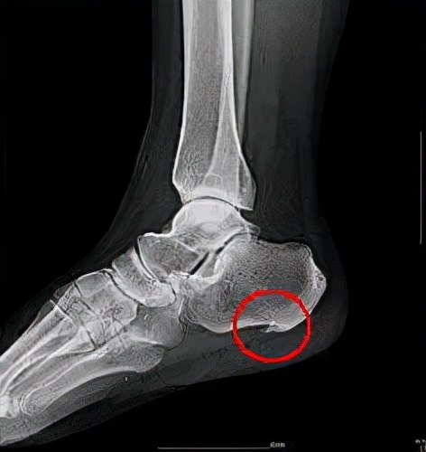
- X线
跟骨侧位或轴位,可观察跟骨局部有无骨刺形成,也可与其它疾病相鉴别。

- 磁共振
检查足踝软组织是否存在增厚、挛缩及炎症改变。

了解完两个概念后
跟骨骨刺和跟痛症
究竟两者有什么关系呢?
其实, 跟骨骨刺不是直接造成跟痛症的原因,但是跟痛症往往伴发骨刺 。

对于有跟骨骨刺的患者,大家也不必过于惊慌,可以进行 保守治疗 ,比如 多休息,选择合适的鞋子 等进行治疗。
但如果 保守治疗的方法无效时,就要找到专科医生,进行手术治疗 。

虽然跟骨骨刺算不上什么大病
但是因为病在脚上
而人每天走路又离不开脚
所以跟痛症对病人的生活
还是会造成很大影响。
# 如何预防跟痛症 #
得了跟痛症
应该注意以下几点
1.尽量少走路,以避免病变部位受到刺激而加重病情。
2.慎用按摩推拿,尤其是使用牛角、木棍等硬物在疼痛部位刺激;或者避免走在坚硬的表面上,这样非但不会使病情好转,还会引起相反的后果。
3.穿鞋时应选择宽大、柔软的鞋子,比如质地较好的旅游鞋,最好不要穿皮鞋。
4.每天睡前热水泡脚20-30分钟会有利于控制病情或恢复。
5.有选择的锻炼,你可以用骑脚踏车或游泳取代走路或慢跑,既达到了锻炼的目的,又不会伤及病脚。但是不能长期剧烈运动,因为长期剧烈运动会使骨骼及周围软组织过。
6.减肥,肥胖是引发骨刺的原因之一,因此减肥也是刻不容缓。
7.膳食补充,首先要健康饮食且不挑食,其次要多补充含钙类、蛋白质类和胶原蛋白多的食物如牛奶、奶制品、黑木耳、鱼虾、牛蹄筋等。