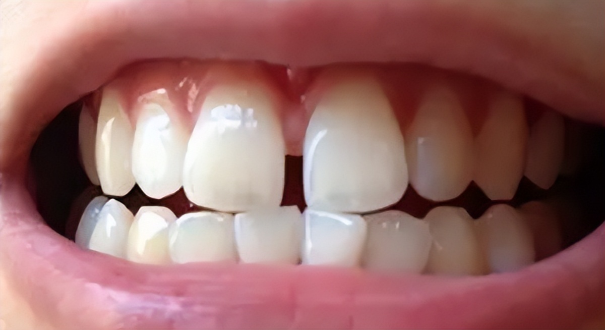
门牙之间的牙缝过大不仅影响颜值,说话时还会漏风,那该怎么修复呢?
门牙中间有缝可能是原发的,小时候就是这样;也可能是继发的,原来牙很齐,但是有了牙周疾病以后,特别是上前牙,就是上面的两个门牙之间就出现了一个缝隙,这是牙齿移位的结果;还有一种情况就是因为上唇的唇系带附着比较低,在它的牵拉下会导致两个门牙之间出现了缝隙。

如果是唇系带附着位置过低的话,我们要进行系带的延长手术来减轻牵拉的力量。

对于原发的缝隙,就是发育的问题呢,正畸治疗是最好的一种方法。
由牙周炎导致的牙齿的移位也可以采用正畸治疗。正畸治疗的前提是要保证牙周组织的健康。在正畸治疗之前,一定要接受牙周的系统的治疗。在控制炎症,恢复牙周组织健康的基础上,才可以完成正畸的治疗,关闭牙齿的间隙。

成人的正畸治疗周期是比较长的,可能有的患者需要三四年的时间。
正畸治疗有没有年龄限制呢?实际上是没有的。你多大年龄都可以开展正畸治疗,但是只是时间比较慢,比青少年正畸这个过程要漫长一点。
正畸治疗是一个首选的治疗,假如说你因为时间的问题,或者其他一些原因,你没法进行正畸治疗的话,还可以采用修复治疗的方式。但是修复治疗就可能会导致这个牙齿变宽了,因为要把这个牙缝关闭掉嘛,可能会出现变宽的情况,有可能会影响美观,但它确实也是一种解决问题的方案。
或者说到牙体牙髓科进行贴面治疗,也是关闭间隙的一种方法。

总结一下,最推荐的方法就是进行正畸治疗;第二,你也可以到牙髓科进行贴面或者树脂充填,来关闭这个间隙;第三,到修复科通过牙冠修复的方式来解决间隙的问题。
