乐莎莎口腔,说说嘴里那点事! 民间流传着一种说法:“牙疼不是病,疼起来真要命”,你是否也是怎么认为的? 牙疼起来究竟有多恐怖,有过牙疼的你一定深有体会吧?当牙齿 持续的、连绵不断的疼起来的时候,那种痛感会不断刺激你的大脑,半边脸感觉都麻木了,连笑都不会了,尤其是夜里会被痛醒,感觉牙齿在嘴里大开杀戒了(哼,让我在外面受苦,实在不够意思)。 大家可以 想象一下,把牙签插在大脚趾的趾甲缝里……然后对着墙用力踹上去……

牙疼到底是不是病呢?
其实,不管是哪一种病变,都会在大家的身体里发出感应的信号。牙疼也是如此,「疼」 就是你牙齿有病的外在反应,而且反应相当明显。引起牙疼的原因可能是蛀牙,有可能是牙齿周围的牙龈被感染,也有可能是牙齿因为外伤出现裂痕而疼痛,有时候仅仅是食物残渣卡在牙缝间也会引起不适,我们要根据病因不同而选择不同的治疗方式。
一般情况下,蛀牙是引起牙疼的主要原因,当蛀牙遇到冷、热、酸、甜等刺激或食物嵌塞入龋洞时而感觉牙疼,如果蛀牙继续发展伤及牙神经引起牙髓炎,就会出现剧烈的疼痛,尤其是在夜间加剧,开腔去髓后疼痛即可缓解,如果这时候你还没有处理,细菌继续向下侵入发展成根尖周炎,表现为持续性跳痛,牙齿有伸长感或浮起感,不能咀嚼食物。

发展过程:浅龋(限于牙釉质层,不疼)——中龋(有时对冷热酸甜刺激较敏感)——深龋(对刺激物有明显疼痛)——牙髓炎(剧烈的疼痛,尤其是夜间)——根尖炎(牙髓感染导致,疼痛面部肿胀)——残冠(牙冠破坏,更加疼痛脸肿)——脱落(牙齿跟你拜拜了)
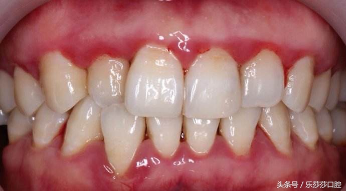
而牙周炎引起的牙疼,表现为持续性钝痛,伴牙龈红肿、出血溢脓,甚至牙齿松动,牙龈萎缩;急慢性根尖周炎引起的牙疼,表现为持续性跳痛,牙齿有伸长感或浮起感,不能咀嚼食物。

牙周炎发展过程:牙菌斑(无色透明附着在牙齿表面)——牙结石(刺激牙龈出血)——牙龈炎——牙周炎——牙齿松动甚至脱落。
牙疼为什么会那么疼?
我们知道,炎症的共同特点就是肿,牙龈发炎也会肿。为什么其他炎症不会让人疼的撞墙,牙疼就会?
因为别的部位的炎症大部分暴露在外界中,有空间容纳肿胀的组织,不会产生压力。而牙髓就在一个小小的坚硬的密封空间里,肿了只会越来越挤。牙疼就像一座喷发前一刻的活火山,或者像高压锅焖猪脚。你说一座活火山在嘴里甚感觉,被高压锅焖啥感觉?你说疼不疼?

说白了,牙疼为什么那么疼,就是密闭空间+高压+有感觉神经。
那么,牙疼该怎么办?吃止疼片管用吗?
吃止疼片只是起到麻痹神经的作用,等药效过了还是一样的疼,要治疗一座高压火山,最好的办法就是:让火山喷发!让所有压力嗖一下跑光!
牙疼是由于压力引起的,所以需要牙医给你释放压力,做根管治疗。牙医会拿高速车针在牙齿上磨削出一个洞,将牙髓腔开放,清除根管内的炎症牙髓和坏死物质,并进行消毒、填充、去除不良刺激并防止病变,最后再戴个牙套做保护!

根管治疗
这下,世界清静了。
所以,牙疼一定要去医院,别买点药就完事了!!!
如果实在没有办法,可救急:
1)西医大夫推荐甲硝唑含片,芬必得,阿司匹林、布洛芬等止痛药。
2)盐水漱口或者含酒(含酒不适用一部分人,只适用于简单的牙髓炎,度数越高含的时间要越少越安全,否则容易灼烧口腔内壁粘膜)
3)含姜或者煮一个茄子吃,冰袋冷敷,能缓解疼痛。
4)中医大夫推荐某些偏方,例如掐虎口。至于疗效如何,得看对自己有多狠啰。
5)若以上均无效,转移注意力,想象自己是亿万富翁等,或者干点别的,比如关注美女牙医(taoqling)。
最后,赶紧看医生!关注美女牙医taoqling,拯救你的牙齿!