过新年的 葉子口腔科普
每到新年,牙科的急症也不会闲着。因为新年期间的用牙不当,总有人迫于无奈要到牙科急症报道。
为了能让你和你的牙齿好好过个年,也为了减轻辛苦的牙医们过年值班的负担,以下这些新年期间的用牙建议,你需要提前知道。
你的牙不是工具,请好好爱惜
新年聚餐吃饭、喝酒是很多人的固定活动,但也有人为了打开酒瓶盖,用牙“咔嘭”一下,瓶盖没打开,牙裂了;吃菜时啃骨头,却无奈骨头太硬,骨头没咬碎,牙齿先折断了……

牙齿不是工具,虽然它足够硬,但请你把它当“瓷器”一样爱护吧。不然,等着你的结果可能是这样:

管好孩子和喝醉的人,慎防意外
新年聚会,难免会喝酒喝到醉醺醺,如果没看清楚前方障碍,“噼啪”摔地上,牙磕掉了;还有不少小朋友一起玩耍追逐,爬高爬低,一不小心就是牙齿外伤……
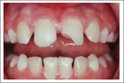
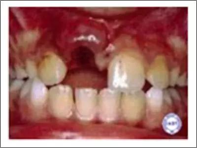
牙齿外伤的“状况”各异:
① 牙齿部分折断

② 牙齿嵌入
如果发生牙外伤后,似乎有牙齿缺失,但又无法找到不见的牙齿,那么有可能是被推到了牙龈里,而且口腔局部出血和肿胀使这颗牙更难被看到。

③ 牙齿脱落:

如果发生这些情况,用这些方法来保住牙齿:

蛀牙疼痛难耐,应急处理
新年期间海吃胡喝时,如果牙齿未及时清洁,未处理的蛀牙可能会疼痛发作。
引起蛀牙疼痛发作的原因可能是食物的冷热或残留刺激到了本已因龋坏而受感染的牙神经。

这时候要避免咀嚼,更要避免极端的温度刺激(过冷过热的食物)。同时,可以尝试用牙刷或牙线,小心地把残留在牙齿蛀洞里的食物去除。
如果口腔出现肿胀,应该冷敷,而不是用热敷或将阿司匹林放在肿痛的牙龈上。一些专用的止痛药会帮助减轻疼痛,但更重要的是马上联系牙医。
智齿冠周炎发作,缓解疼痛
新年期间,喝酒、抽烟、熬夜等不良生活习惯有可能会降低身体的免疫能力,从而让本已是“祸根”的智齿疼痛发作。
那为什么智齿会成为“祸根”?
当智齿只长出一半时,就会导致牙龈组织在牙齿上片状覆盖,像一个“口袋”,食物残渣和碎屑会被卡住,这里就会成为细菌的温床,引起炎症。

如果智齿还在牙龈中完全没有长出来也会引发冠周炎。

当智齿冠周炎发作时,会有这些表现:
✓ 疼痛,被感染的牙齿周围牙龈组织肿胀,咬合时牙齿会触碰肿胀的牙龈,引起不适。
✓ 口腔异味
✓ 牙龈化脓
其他严重症状:
✓ 下颌淋巴结肿大(颌下淋巴结)
✓ 下颌肌肉痉挛
✓ 受感染部位的一侧面部肿胀
这时候可以使用温盐水漱口来缓解疼痛,也可以在医生指导下服用抗生素来缓解。这些症状通常在一周之内就会消失。
但是,症状暂时缓解并不代表以后不会复发。还是需要及时问问医生智齿是否需要拔除。
新年期间,更要好好爱护牙齿
别让高高兴兴过新年的心情
让“坏牙”给破坏了
图片 | 网络
参考资料 | http://www.nypediatricdds.com/PediatricDentistry/InfantCare.aspx/http://www.colgateprofessional.com
编审&排版 | 牙医麻麻Debbie
投稿、合作、加入:yzkqkp@qq.com