
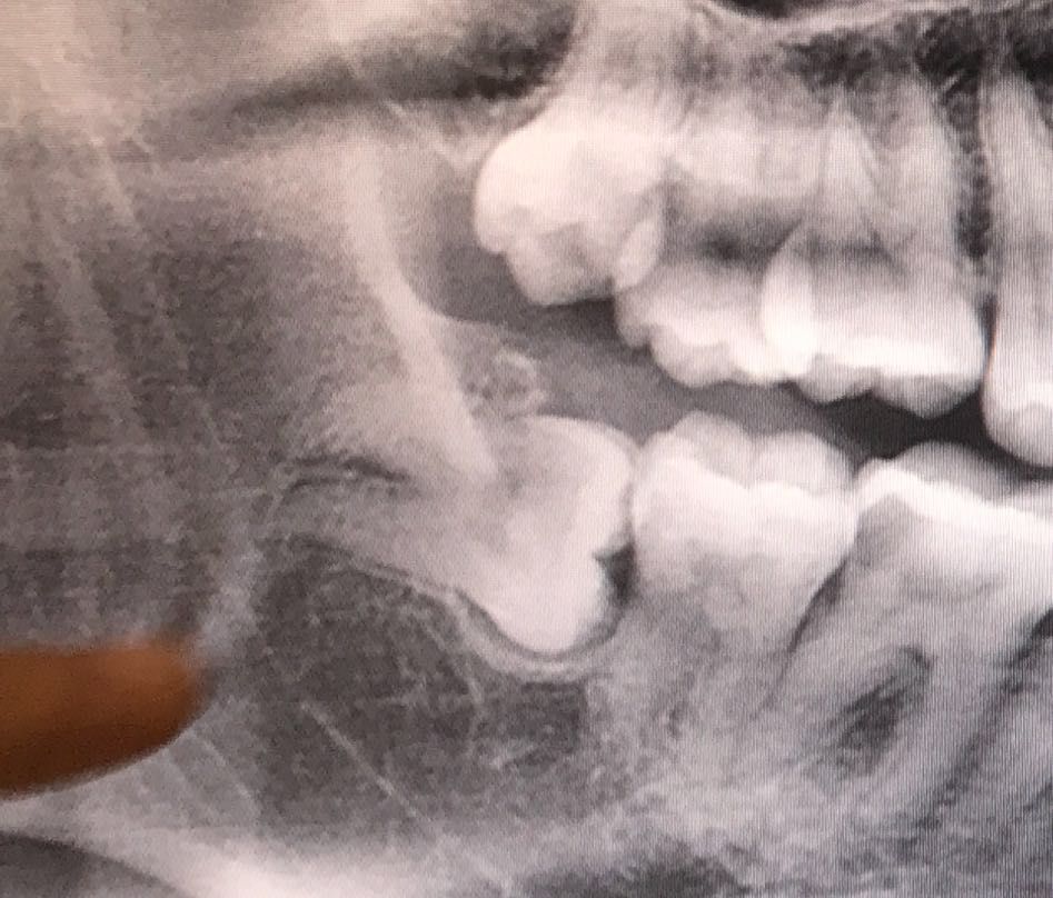
前几天终于鼓起勇气,把右边长得奇形怪状,顶着磨牙,还老塞东西的智齿给拔了。问过深圳这边的公立医院牙科,也问了之前就诊过很多次的私立口腔,都说我这根智齿根骨惊奇,需要费不少功夫,收费怎么也得1000-1500吧。

小别致长得真可爱
等拍了更精准的片子,私立口腔的干脆说,花2000,请我们院长出马给你搞定,保管活好!上面那颗简单点,就600元吧。
听到这个报价,我的钱包瞬间感到一阵肉痛。但是想到智齿神奇的体位,说不定哪天就带着磨牙一起归西,还是咬咬牙,决定把智齿解决掉。

牙科门诊的主任拿着大小不同的钻头和牙铤(对,现在不用锤子砸了!改用长得很像螺丝起子的东西撬)在我嘴里一阵捣鼓。30分钟过去了,下方横着长的智齿碎成了10片渣渣,之后又用了5分钟,把上智齿拽了下来。
一周过后,我对这次拔牙还是很满意的。拔牙全称半个多小时,第二天发了半天烧,别的时候伤口不痛不痒不肿,止痛药(布洛芬)磕了两颗后就不用吃了,好评,下次再来(微笑)


有朋友很惊讶的问我,拔个牙齿现在竟然要这么贵了?你是不是被坑了?你个金牛座的也会被商家坑?
如果是长得很正的智齿拔除,确实不用费什么功夫,几分钟就卸下来。但是横着长的智齿,需要用十八般兵器把牙冠大卸八块,再把牙根取出来,还要避免伤害到牙神经和牙槽骨,自然就费很多功夫,价钱也就不一样了。

智齿姿势越销魂,拔除价格越戳心。我的智齿就是第三种姿势。
其实,拔智齿还算是个简单、便宜、能快速解决问题的牙科小手术。一口健康牙齿,算下来价格可能比宝马车还贵了。

(网图)
其实,我最后付款,只实际付了780!
多亏了一款【齿科保险】(X)
【私立门诊团购券】(√)


私立门诊的报价可能比公立医院牙科贵30%-50%,比如同一时间去公立医院拔牙的朋友,一颗智齿拔了1500。但是,在预约便捷程度、服务环境上面,私立诊所比公立医院要好很多。
如果要去私立门诊拔牙的朋友,倒是可以通过这款产品打个大折扣。
这款保险智齿的诊所 有:正夫口腔(我就去的这家)、马泷齿科、拜博口腔、摩尔齿科、欢乐口腔、爱齿尔口腔、优伢仕口腔等连锁齿科,还有一些各地的独立口腔门诊。齿科诊所目录链接:http://www.qdental.cn/map.html?PDPD_ID=DD000001。
说是齿科保险,本质上是一家叫做“健齿通”的牙科服务中介商的会员服务,找了保险公司套了层壳,服务都是健齿通做的,不需要我们自己找保险公司理赔,是直接付款的。基本算是打折券了,不算真保险,但是也不妨碍我们用他来省台手机钱。
据我调查,现在市场上至少有4家保险公司接了同一款产品,他们的可用诊所有点差异,但是报销项目基本相同的。如下所示。

这款产品不是严格意义上的保险,对于之前就有的牙科疾患一样能得到报销,不存在拒赔的情况。
对于牙科治疗,我给一个价格的参考,比如学龄前(5~7岁)的孩子一年内可以选择进行的治疗项目:
1牙齿清洁1~2次,100-300元/次;
2全口涂氟2次, 300-600元/次;
3窝沟封闭4颗,90-120元/颗;
4龋齿充填1~2颗,300-500元/颗。
前三种都属于保健治疗,后一种为基础治疗。
成年人牙科治疗的项目一般有:
1 洗牙1~2次,100-300元/次;
2 牙龈发炎冲洗:100元/次
3 补牙,300-500元/颗。
4 智齿拔除,800-2000/颗。(与手术难度有关)
5 根管治疗:1500-2500/颗(与材料、难度、牙根数量有关)
6 烤瓷/全瓷牙冠:500-1000/2000 /颗 (做完根管后防劈裂的人工牙冠,后牙可以用烤瓷,前牙要美观一般用全瓷)
7 牙搭桥/种植牙 2万-3万/颗。
洗牙属于保健治疗,一分钱都不用花。
补牙在部分诊所属于简单治疗。
剩下的项目都属于复杂治疗。
如果是准备补牙,或者做根管、烤瓷牙,治疗费用2000-3000元之间,投个这个保险,省个1千元还是比较容易的。治疗费用更高的话,就是洒洒水一样减一点钱了。不过这份保险可以分开买几家公司的,一家一家赔过去

羊毛都给我们薅秃了

除了我这次去拔牙,这一类的齿科保险在我手上还赔过两次。
案例一:朋友A去做根管+另外两个蛀牙的补牙+洗牙,报价2680元根管费用+1160元补牙费。

复杂治疗报销2680*0.7=1876元。
补牙报销1160*0.9=1044元,最高报销保额1000元。
洗牙100%报销,不用花钱。
保险588元。
实际自费了964元+588元=1552元。保险报销了3k+
案例二:朋友B去拔了两个长得很正的智齿,总价1580元,报销了1000元,自费500多,还有另外两边的智齿也可以报销1000元。长得好就是省钱呀。

总结一下,对于日常就会选择私立诊所看牙的朋友,或者近期要拔牙、洁牙的朋友,这款齿科保险很适合使用。
但是,这款保险终究是治疗已经发生的疾病(智齿除外),无论如何都会对牙齿的健康造成伤害。
世界卫生组织对牙齿健康的标准,80岁的老人至少应有20颗功能牙(即能够正常咀嚼食物,不松动的牙)。而年轻人除去智齿,一般有28颗牙齿,很多人到了50多岁,就有7、8颗牙不是被抽了神经,就是被拔了牙。看来坚持到80岁还有20颗好牙,对于我们来说还是一个挺有难度的事儿。
这几年我也就诊过几次牙医,明天的文章,我会根据我的亲身经历,讲讲一些没有看过牙医就不知道的护牙小经验,希望大家都能有一口好牙,笑口常开!