【导读】一位男性患者2年前在某著名省医院完成了“漏斗胸”手术,术后患者认为手术失败,没有任何效果。患者于近日来我院就诊,经检查发现,该患者准确诊断应该是沟状胸而不是漏斗胸。诊断存在严重问题,必然会导致治疗出问题,这是其第一手术失败的根本原因。另外,再加上第一次手术技术应用不当,促成了手术的最终失败。

今天(2018年4月23日)我们对一例沟状胸手术失败患者实施了第二次手术,手术圆满成功。
该患者为男性,19岁,2年前在某著名省医院接受了手术治疗。术前患者抱有很高的期望,医生也宣称可以完全消除畸形,但术后的结果却让患者失望。他说“除了胸口多了4条伤疤和一个脓包外,外观没有任何变化”。患者说话时非常激动,并声称“遇到了一群草包。”
关于患者是不是遇到了草包的问题我不大清楚,而事实表面,至少那不是大师的杰作。如果真如他所言,“外观没有任何变化”的话,他说的一切都应该如实,那该是一段撕心裂肺的经历。此患者很不幸,5岁死了娘,后来父亲又离开人间,此后再遇到这样的倒霉事,他的悲愤与无奈可想而知。
接诊后我给他做了全面的体检。他的前胸壁有明显的凹陷畸形,而此凹陷不同于一般的漏斗胸。凹陷呈横行沟状,累及两侧胸壁(图1,2,3)。右侧胸壁有两条手术疤痕,正中一条疤痕,左侧胸壁有另外一条手术疤痕。左前胸壁有一4X4cm大小的包块,包块表面皮肤色素沉着,按压有明显的波动感,深部达肋间。双肺呼吸音稍低,未闻及心脏杂音,脊柱轻度侧弯。
图1,前胸壁术前形状。凹陷为沟状,可见陈旧性手术疤痕和左前胸壁的脓包。
图2,右侧面观:典型的沟状凹陷,可见两处陈旧性手术疤痕。
图3,左侧面观:典型的沟状凹陷,可见一处陈旧性手术疤痕。
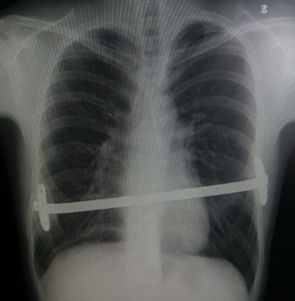
术前行X线检查:正位片提示胸壁内有钢板一条,钢板位置倾斜,脊柱轻度侧弯(图4)。侧位片提示前胸壁下部局部凹陷,钢板位置偏斜(图5)。行CT检查:可见胸壁内钢板影。横截面未见明显凹陷,但不同水平前后径明显不同(图6-10)。三维重建提示钢板影,前胸壁凹陷畸形(图11,12,13)。心电图及腹部超声检查未发现异常。

图4,X线检查:正位片提示钢板斜位,左侧高,右侧低,位置跨越两个肋间,脊柱轻度侧弯。

图5,X线检查:侧位片提示前胸壁下部局部凹陷,钢板位置偏斜。
图6,CT横截面图:可见钢板伪影。
图7,CT横截面图:左侧胸壁钢板固定处。
图8,CT横截面图:右侧胸壁钢板固定处。
图9,CT纵切面图:钢板斜位。
图10,CT纵切面图:胸廓两侧不对称,脊柱轻度侧弯。

图11,骨性结构三维重建图:钢板位置倾斜。

图12,胸壁组织三维重建图:钢板融入胸壁软组织。

图13,胸壁组织三维重建图:钢板倾斜,两端融入软组织。
根据临床资料,术前的诊断明确:胸廓畸形,沟状胸术后畸形复发。患者于2018年4月20日入院,经充分术前准备,今天(2018年4月23日)上午实施手术治疗。
麻醉成功后,患者平卧位,双上肢外展。沿两侧胸壁陈旧性手术疤痕切开皮肤皮下组织,寻找体内的钢板,松解周围组织。术中见右侧钢板连同固定板已经陷入胸腔,固定板一端卡在肋间。去除双侧固定板,对钢板做原位塑形后,将其取出。
从左侧切口内向正中游离,探查左侧前胸壁囊肿,切开后,发现有脓液流出(图14)。将脓肿内组织彻底清除,以双氧水和碘伏消毒后,继续其他操作。于右侧胸壁原钢板处下位两个肋间做新钢板隧道。术中见胸膜严重黏连,于胸膜外做隧道,向正中游离至胸骨后。于正中陈旧性手术疤痕处切开皮肤,显露剑突,将剑突切开并牵引。术中见胸骨后严重黏连,对胸骨黏连充分游离后,对前胸壁凹陷部分做整体预塑形。以正中切口为中转站,置放两条钢板导引管,分别将两条弧度适中的钢板放入隧道(图15),充分调整钢板的位置、形状,待获得最佳塑形效果后,对钢板做固定。关闭各切口,手术结束。术后胸廓恢复正常形状(图16,17)。
图14,术中从脓肿局部抽出的脓液。
图15,术中使用的钢板。
图16,术后胸廓恢复正常形状。
图17,术后畸形完全消失。
讨论 此患者前来就诊时,自称患了“漏斗胸”,且从其之前的病历来看,均被当做漏斗胸诊治。这等于犯了一个原则性的错误。从病理特征来看,该患者的凹陷与漏斗胸有很明显的不同(图18),而这样的不同又直接影响了手术的效果。漏斗胸因为周边有较高的胸壁做支点,因此可以用NUSS手术完成治疗。但是,对于沟状胸来说,由于侧胸壁同样位于凹陷的沟底,没有足够的高度,很男担当支点的重任。对于这样的患者,如果依然用NUSS手术实施治疗的话,注定不会有好结果。将沟状胸当做漏斗胸进行治疗,这是第一次手术失败的最主要原因。

图18,沟状胸的CT特征。没有明显的中间凹陷,但不同水平的截面前后径不同。
其次,由外表和各项检查可以看出,第一次手术钢板的放置位置存在很大问题。患者的凹陷位置低,客观上要求钢板放置于凹陷的最底部,但第一次手术的钢板却放到了沟的上沿,且采用倾斜的方式放置,这样的放置如果说有所作用的话,只能在延期塑形的作用下使凹陷显得更深,而根本不可能起到矫正畸形的作用。
其三,钢板数量的问题。一般来说,对于成人的凹陷畸形手术,一条钢板一般都是不够的,至少要使用两条钢板。这一方面来自成人较大的凹陷面积,另一方面则是因为成人较为坚硬的骨骼。这样的病人如果采用一条钢板,往往没有办法获得满意效果。如果放置的位置再存在问题的话,就必然导致手术失败了。
其四,钢板的包埋问题。钢板作为一种异物,当放置于体内后,首先要关注的是切口的愈合,其次是对皮肤的影响。为了避免不利影响,一般要用胸壁肌肉对钢板做包埋。此患者左前胸壁显然没有肌肉包埋,钢板直接位于皮下,导致反复摩擦后形成脓肿。
在第一次手术中,由于对畸形的诊断做了错误的判断,再加上手术的技术存在问题,致使手术最终失败。这样的教训不可谓不深刻。这个患者手术的失败给大家的启示是:
1,千万不要把前胸壁的凹陷一概当做漏斗胸。前胸壁的凹陷除了涉及漏斗胸之外,尚有沟状胸、鞍状胸、单侧胸壁凹陷等畸形,这些畸形与漏斗胸有本质的区别,如果将它们一概当做漏斗胸处理,则一定不会有好的结果。
2,千万不要认为只要放了钢板就能完成矫形任务。很多医生相当然地以为,只要放置了钢板并将其翻转后,就大功告成。这种观点其实非常不负责任。即便对于单纯的漏斗胸,对手术的细节也有相当高的要求。比如钢板的长度、弧度、数量、放置位置、旋转方向、固定部位、固定方式等,都直接关系到手术的成败,任何一个环节处理不理想,都会酿成恶果。所以即便是最简单的漏斗胸手术,也绝对不是一个毫无技术含量的简单手术。
3,千万不要认为NUSS手术是一个治疗凹陷的万能手术。对于单纯的漏斗胸来说,NUSS手术几乎是万能的,但是,对于其他畸形,由于物理的结构基础已经发生改变,这样的畸形根本不可能使杠杆原理发挥作用,于是就必须彻底摒弃NUSS手术才可能获得理想的效果,否则手术一定会失败。
总之,前胸壁凹陷是一类非常庞杂的畸形,凹陷的位置不同,形状不同,需要有不同的认知,而这些认知直接关系到手术的成败。非常幸运,我们很早就认识到了这样的问题,对沟状胸、鞍状胸、单侧胸壁凹陷等特殊畸形进行了专门的命名,并设计了独特的手术方式。我们的经验表明,只有充分认识到各种畸形的差异,并采取个性化的手术方式,才能获得满意的手术效果,否则,就只能被患者指责为“草包”了。
(王文林,专注于各类复杂胸廓畸形手术的外科医生,医学博士,中山大学博士后,工作微信:wangwenlindaifu ,公众号《胸廓畸形手术专家》:wangwenlinyishi )