乐莎莎口腔,说说嘴里那点事! 一朋友,每次跟他聊天我都觉得好辛苦,那口气真是「一言难尽」,他也知道自己牙齿存在问题,后来得知他是因为有蛀牙,而且蛀洞也是越来越大,还经常牙疼,里面都很臭,感觉整个口腔都是臭的。话说,蛀牙发臭自己都受不了,更别说别人了。
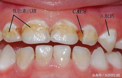
蛀牙为什么会臭?
蛀牙是由「细菌」为主的多种因素导致的,牙洞里面会有很多的细菌不断破坏牙齿,而且,口腔卫生差,吃饭后不及时刷牙导致「食物残渣」残留在蛀洞里,这些残渣在细菌和微生物的作用下,腐化发酵,产生难闻的气味,如同你的口腔里有一个小型的垃圾场一样,你说能不臭么!(除了蛀牙,引起口臭的原因很多,小编在这里就不加以赘述了)
蛀牙如何产生的?
首先大家要明白,蛀牙不是牙齿真正被虫子吃掉的,而是由于长期附着在牙齿表面的「菌斑里的细菌」分解食物残渣中的糖分或淀粉产生「酸性物质」,这些酸可以让牙齿表面的矿物质被腐蚀,最后牙釉质便会被破坏,形成比较脆弱的小蛀斑,若继续恶化则会形成明显的牙洞,即蛀牙。

蛀牙发展步骤
当蛀牙被细菌慢慢「进攻」会产生不同程度的破坏,如果只是牙釉质的破坏,患者本身还没有感觉,早期也很难察觉,如果接近到牙本质,这时候你会对冷热酸甜的刺激感觉到酸痛,但刺激去处后,症状随之消失;如果细菌攻破牙本质到达牙髓,这时候你会对冷热酸甜有痛感,特别是细菌进入牙髓后, 就是痛起来吃不下咽不下睡不着直要人命的牙髓炎了。连牙齿硬组织这块「硬骨头」都能啃动的细菌,进入柔软的牙髓更是如入无人之境,直杀得牙髓痛的死去活来。细菌能通过牙髓直接杀到「牙根尖」,造成更加「痛入骨髓」的牙根炎症。
蛀牙怎么治疗?
既然蛀牙是因为吃了东西,给「细菌」提供了营养才会造成的。那么只要不给细菌营养不就得了嘛,可是又不能不吃东西啊,那就只好吃完赶紧把食物残渣去掉,最简单的方法就是认真刷牙啦~
当然,有了蛀牙及时去看医生才是硬道理,免得以后牙痛和各种口腔疾病啊!
虫牙的治疗要依照龋坏的程度来进行,如果是轻度的则有黑色,将其磨除然后用「材料填充」即可,这也是最轻最省钱的,几百块钱就能搞定,如果已经发展到牙髓炎(即细菌进入牙神经引起其发炎),必要时要做根管治疗,大约得去三次,然后补好就好了,那时候就比较痛,还费钱。( 当牙神经发炎导致剧烈疼痛,但是又不方便就诊可以吃少量的止疼药来缓解疼痛,但是止疼药并不能解决蛀牙的根本问题,还是要及时就医)
治疗好蛀牙并不代表万事大吉了,因为补过和没补过的牙齿都有可能再发生蛀牙,所以口腔卫生很重要,还可以请医生帮你检查一下是否有刷不干净的角落,如最后面的牙,牙缝等,不但要每天早晚刷牙,同时更要保证每个角落都刷到。
而且,每个人的牙齿发育与口腔抵抗力不同,导致有人更易患蛀牙,建议选择含氟并抑菌的牙膏,强化牙釉质并抑制细菌的滋生。
PS:如果有一个地方,可以88元补牙(仅限深圳、沈阳),我相信你一定可以找到的,关注美女牙医taoqling。
请放心来补牙,就是他(她)吻你的时候也不会察觉!!!!