
来来来,老司机带你长见识~
作者|郑智 华中科技大学附属同济医院
来源|医学界心血管频道
急性胸痛的诊断中,主动脉夹层越来越引起大家的重视了,对于主动脉夹层的平扫CT和CTA征象,前段时间也跟大家介绍过。(点击右侧蓝字直接阅读:没有CTA?这三招也能识别主动脉夹层!)
然而,主动脉疾病除了夹层以外,还有两个兄弟哦,即主动脉壁间血肿(或叫壁内血肿)和主动脉穿透性溃疡,它们和主动脉夹层一起合称为急性主动脉综合征。(小编提示:一波经典图片来袭,请做好准备~)
1. 兄弟一号—— 主动脉壁间血肿
主动脉壁间血肿是指主动脉壁内出血或主动脉壁内局限血肿形成,以往教科书介绍其发病机制为主动脉中膜滋养血管破裂出血导致,而临床上,主动脉壁间血肿大部分伴有穿透性溃疡,其实质也是主动脉内膜破裂。属于主动脉夹层的特殊类型,被认为是主动脉夹层发生的前兆。
主动脉壁间血肿的分型与主动脉夹层相似,也是根据累及的范围分Stanford A型和Stanford B型。凡是升主动脉累及的,为Stanford A型;仅降主动脉累及的,为Stanford B型。
① Stanford B型 主动脉壁间血肿的CTA重建(图1),提示胸降主动脉以远的主动脉壁病变(红箭头所示)。

图1
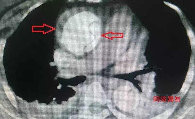
② Stanford A型 主动脉壁间血肿的CTA重建(图2),提示升主动脉和胸降主动脉的主动脉壁均有病变(红箭头所示)。

图2
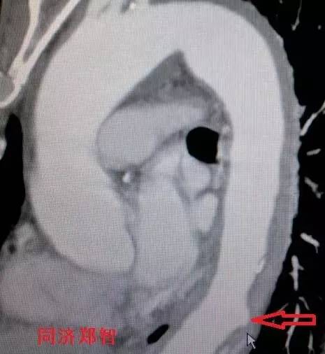
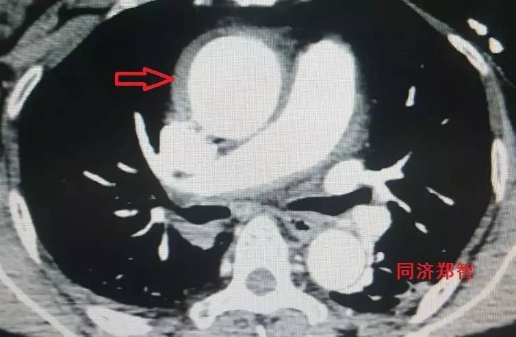
有时候平扫CT也能从血管内密度影的不同来诊断主动脉壁间血肿(图3)。平扫CT提示右肺动脉层面的升主动脉外侧为新月状稍亮的影(红箭头所示)。

图3
CT增强后证实为升主动脉壁间血肿(图4),如红箭头所示。

图4
心脏彩超诊断主动脉壁间血肿的准确性比较低,与彩超分辨率有关,其诊断的征象是主动脉壁内膜增厚(图5)。红线显示增厚的主动脉内膜壁,测量为13.32 mm。

图5
2. 兄弟二号—— 主动脉穿透性溃疡
急性主动脉综合征的另外一种类型为主动脉穿透性溃疡,即主动脉内膜小撕裂口,主动脉内血液突破内膜,但被局限在中膜外膜之间,而且没有再入口(与主动脉夹层区别,后者有入口和出口)。
实际临床工作中,碰到大部分病人是主动脉穿透性溃疡合并壁间血肿,当然也有部分单独存在的穿透性溃疡或壁间血肿。
胸降主动脉穿透性溃疡合并壁间血肿(图6),心底层面红箭头所示。

图6
CTA三维重建,红箭头显示胸降主动脉穿透性溃疡合并壁间血肿(图7)。

图7
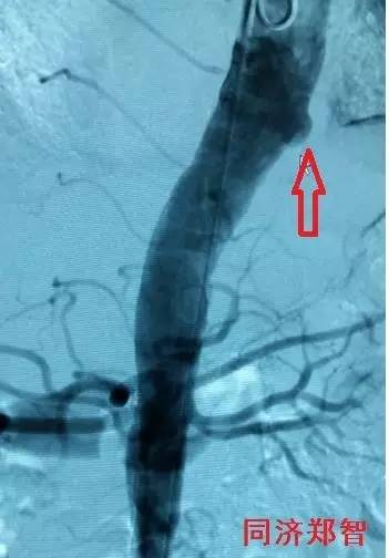
DSA造影显示降主动脉穿透性溃疡(图8)。

图8
主动脉穿透性溃疡有时候很小,不易发现,需要明察秋毫。图9显示CTA三维重建中胸降主动脉起始部位小溃疡形成(红箭头所示)。

图9
DSA造影中显示的小溃疡更加清晰(图10)。

图10
CTA轴位片显示主动脉弓穿透性溃疡(图11)。

图11
三维重建显示主动脉弓穿透性溃疡,与图11为同一病人(图12)。

图12
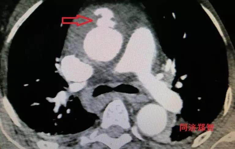
CTA显示升主动脉穿透性溃疡合并壁间血肿(图13)。

图13
CTA显示降主动脉穿透性溃疡合并Stanford A型主动脉壁间血肿(图14)。

图14
3. 注意!这两兄弟都能转变为“大哥”——主动脉夹层
主动脉壁间血肿和穿透性溃疡是可以向主动脉夹层转变的,特别是升主动脉病变。下面一例病人发病时为Stanford A型主动脉壁间血肿(图15),主动脉全程没有发现穿透性溃疡。入院后给予常规镇静止痛控制心率血压等对症处理,但胸痛症状仍无法缓解,最后病情进展Stanford A型主动脉夹层(图16)。

图15

图16
对于这两类特殊类型的急性主动脉综合征,不同医疗中心的治疗策略可能会有所不同。我们的体会是,凡是累及到升主动脉的病变一定要积极处理,因为一旦进展成主动脉夹层(像上面介绍的例子)就很麻烦了。

图17

图18
对于主动脉弓部穿透性溃疡,如果腔内技术合适,也提倡积极处理。图17为上面图12病例(主动脉弓部穿透性溃疡)行腔内修复手术后的CTA三维重建,显示左锁骨下烟囱支架与主体支架血流通畅,并隔绝了原来的穿透性溃疡(图18,对应图11为术前)。
此外,伴有明显胸痛症状的降主动脉壁间血肿,大部分合并穿透性溃疡,如果疼痛症状持续存在,也应该积极性腔内修复手术。