牙齿缺失不及时修复就会导致其他牙齿跟着倾斜、松动、脱落。 但是,缺牙选哪种修复方式比较好呢?今天就来给大家讲解目前临床使用最多的3种缺牙修复方式。

01▕ 活动假牙
活动假牙是由树脂基托以及树脂牙/瓷牙以及金属支架制造而成的。 虽然金属可以较久地保存,但是我们日常咀嚼接触的树脂基托和假牙会出现磨损以及老化。因此,活动假牙5-7年后就会老化,强度也下降,这时就需要及时更换。

02▕ 镶烤瓷牙/全瓷牙
烤瓷牙和全瓷牙是固定义齿的修复方式,这类假牙不可以自己摘戴,我们常说的牙冠也是这种,所以如果原本有牙根,可以直接套单独的牙冠在上面,如果是单颗牙齿缺失,没有牙根的情况,需要做连桥冠的形式。
连桥冠就是将旁边的邻牙磨掉一部分,将三颗(如果缺失的比较多,可以多颗连在一起)连在一起的牙冠安装在上面,由两边的邻牙为中间缺失的牙齿提供支撑。
在修复缺牙的时候,需要使用粘接剂,粘接剂一般使用10年左右,就会存在溶解现象,出现牙冠和基牙不密合,甚至脱落的情况,这时候就需要及时进行更换,否则会引起基牙腐烂。
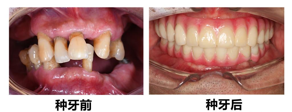
03▕ 种植牙
种植牙主要使用可以植入体内,有良好的生物相容性的钛金属材料,牙冠有烤瓷牙和全瓷牙。植体和牙冠的连接不需要粘接剂,因此整体来说,种植假牙的耐用度更高,达几十年,如果悉心维护的话,可以用一辈子。

相信看完以上三种常见假牙的对比,可以得出,种植牙修复后的外观、实际使用效果以及寿命都是最好的。因此,有条件的人群,缺牙建议首选种植牙。
*本文内容为知识科普,不作为具体的诊疗建议使用,亦不能替代执业医师面诊,仅供参考。