什么是糖尿病?
糖尿病是以高血糖为特征的代谢紊乱疾病,与多种遗传因素有关。主要是由于胰岛素生成不足,功能不足和细胞缺乏胰岛素受体,葡萄糖无法从血管转移到组织,血糖升高,糖从肾脏排泄,造成脂类,蛋白质代谢紊乱。

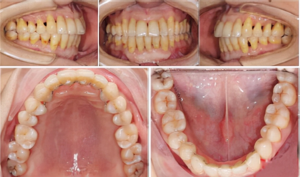
糖尿病的主要口腔表现
研究证明,糖尿病是患牙周病的危险因素之一。40岁-50岁糖尿病患者牙周病牙松动明显,是正常人的15倍。
以牙龈炎症开始,龈缘红肿增生呈息肉样,严重时形成有蒂或者无蒂的牙龈瘤。随着血糖升高,发展为牙周病,牙周脓肿,牙槽骨破坏迅速,牙齿松动。

什么是心脏病?
常见心脏病包括:心力衰竭,心律失常,高血压,冠心病,先天性心脏病,瓣膜性心脏病,心肌病,心包疾病,主动脉疾病,肺血管疾病,风心病,还有各种特殊心脏病。

心脏病的口腔表现?
“牙疼不是病,疼起来要人命。”这真不是一句玩笑话。一部分牙痛是口腔问题导致的,比如龋齿、牙周炎、长智齿等;但有一种牙痛,是心脏发出的预警信号,如果不能及早识别,甚至有致命风险。

临床上,牙痛是心梗的典型症状之一,甚至有些心梗患者会以牙痛为首发表现;出现短时间的牙痛,通常持续3~15分钟,并在1周内反复发作;劳累、激动时常常加剧,或者一累就牙痛、一生气就牙痛,就要怀疑是心脏出了问题,冠状动脉狭窄、冠心病、心梗等均可导致这种牙痛,建议及时到心内科就诊。