今天我继续分享一些骨科影像学片子,希望通过点滴积累,不断增提高阅片能力,看看今天都有哪些病例分享吧。
病例1:外伤后左大腿疼痛2小时。

左股骨滋养管影
阅片可见左股骨斜行透亮线,有些医生可能会将其误认为骨折线,其实这条斜行透亮线为骨滋养管影,为股骨干内斜行走向的透亮线,由皮质延伸至髓腔,边缘硬化、不锐利,可与骨折线向鉴别。
病例2:反复腰痛2年。

骶1隐性脊柱裂
阅片见骶1隐形脊柱裂,腰椎轻度侧弯,椎体增生退变,骶1两侧椎弓未融合,形成纵行透亮线,为发育异常。
病例3:外伤后左膝关节肿痛2小时。

左侧髌骨骨折
阅片可见左侧髌骨骨质结构断裂,髌骨关节面台阶样改变,对于涉及髌骨关节的骨折,关节面台阶大于2mm为手术治疗指征。
病例4:外伤后左肘关节疼痛2小时

肘关节正常X线片
阅片未见明显异常。对于这张片子我们要着重认识一下肘前脂肪垫。在屈肘90°侧位X线片上,可以清晰显示肘关节前方脂肪垫,呈带状或泪滴状透亮区,宽度约为5mm。若肘前脂肪垫移位或出现肘后脂肪垫征,则强烈提示肘关节损伤。
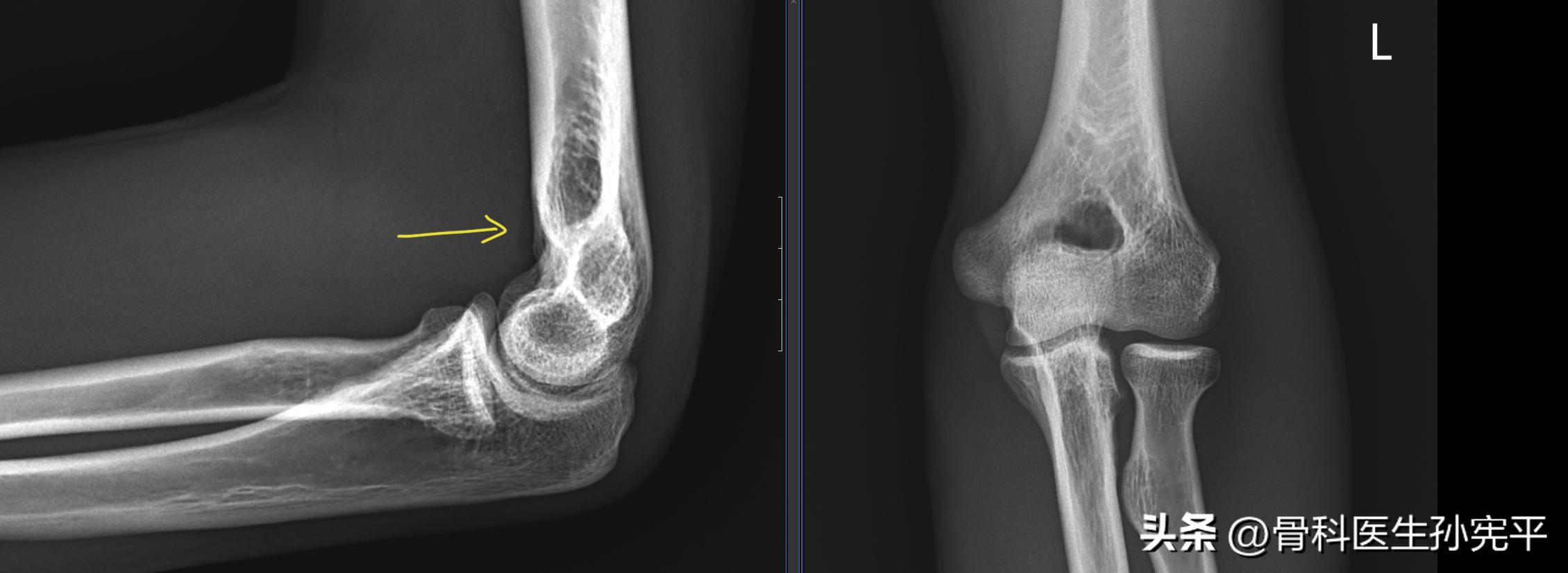
病例5:摔倒后左肘关节疼痛3小时。

肘关节“船帆征”
阅片未见明显骨折征象,但可见左肘关节前侧脂肪垫征“船帆征”改变。进一步查肘关节CT,结果如下:

左桡骨小头骨折
脂肪垫征又称作船帆征或八字征,当肘关节损伤时,关节腔内积液或出血,关节囊肿胀,在X线片上可能会出现肘前/后脂肪垫影。细微的软组织表现对肘部损伤十分重要,不应疏忽,脂肪垫征可见于肱骨髁上骨折、外侧髁骨折、桡骨小头骨折等。虽然脂肪垫征≠骨折,但骨折概率明显增大,对于有外伤史的病人可能X线片未见明显骨折征象,但对于出现船帆征或八字征的病人要定期复诊、复查,必要时行肘关节CT或核磁检查,进一步明确是否合并骨折。
病例6:手部外伤6周

第3掌骨骨折
阅片可见左手第3掌骨骨质结构断裂,对位对线尚可,可见骨痂形成。
病例7:双臀部及大腿疼痛1年余。

双侧股骨头坏死
患者中年男性,1年多前开始出现双臀部、大腿外侧至膝关节疼痛,逐渐出现行走不利,于基层民营医院检查后给予针灸、理疗、敷药、口服药物等多种方式治疗,自述这1年看病人花了两三万,没确诊什么病。现症状逐渐加重,前来就诊,查体可见双下肢均外展受限,“4”字试验阳性。查骨盆片可见双侧股骨头坏死,股骨头失去正常形态,呈扁平、塌陷,密度不均,还是那句话,对于疾病的诊断认真查体是第一步!
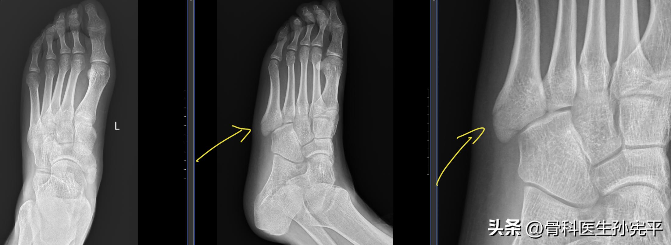
病例8:扭伤后左足疼痛2小时。

左足第5跖骨基底骨折
阅片可见左足第5跖骨基底骨质结构断裂,对位尚可。
今天就分享这几张片子吧,希望认真阅片的小伙伴能有些收获,通过日积月累可丰富我们的临床诊疗经验,以便我们对疾病做出更精准的判断。
