前降支(LAD):是心脏供血血管中最为重要的一支血管,一旦闭塞,随时可能毙命,对于前降支的闭塞临床处理是争分夺秒,因为前降支的供血范围实在是广泛,左前降支除了为左室前壁、基底部、心尖、侧壁供血外,还经常灌注部分下壁。左前降支闭塞引起的急性心肌梗死心电图表现取决于受累动脉节段和坏死心肌部位,越靠近近端,梗死心肌范围越广泛。急性前壁心肌梗死时胸前导联STv2-V3段抬高,其他导联ST段改变取决于不同部位向量的拮抗情况。随着介入技术的兴起,人们对比研究了急性前壁心肌梗死心电图改变和冠状动脉造影的结果,当前临床上已能根据心电图推测罪犯血管,甚至大致推测闭塞部位,术前的有效判断对于术中可能出现的情况有一个前期的预判。急性前壁心肌梗死粗略心电图定位闭塞部位如下。
①左前降支动脉近段第一对角支之前闭塞,即左主干发出LAD至D1之前,引起急性广泛前壁心肌梗死,其心电图改变为V2一V5导联ST段抬高伴I、aVL导联ST段抬高,Ⅲ、aVF导联ST段压低。
②优势左前降支,动脉发育较长,绕过心尖,为1/4以上的左室下壁心肌供血,其中段或远段闭塞,出现前壁和下壁联合梗死心电图改变。
③急性前壁心肌梗死伴右束支阻滞或左前分支阻滞时或侧壁导联原有Q波消失,多见于LAD动脉近端(S1前)闭塞。
④LAD非优势型中段或远段闭塞时,出现急件前壁或前间壁心肌梗死心电图。
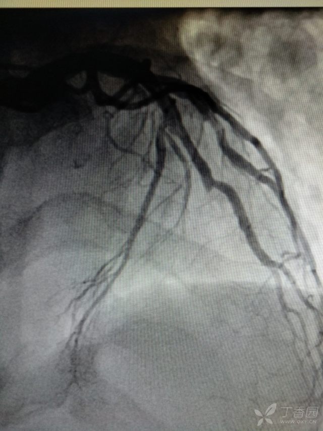
下面这些是急性心肌梗死的患者的心电图和造影的对比图,看见这些心电图要及时作出诊断。









下次给大家发右冠和回旋支的心电图特点和冠脉造影的对比图!收集不易,且学且珍惜,记得点赞哦!!!!