经常会有患者问,
明明牙齿不痛,
但是牙龈上鼓起脓包是什么情况?

有些患者是数月不消,
有些患者是反复发作,
那这到底是不是上火了呢?
不是上火的“锅”。
首先告诉您,
这真不是上火的“锅”。
那么为什么牙龈会鼓起脓包,
又该如何治疗和预防呢?
牙龈上为什么会鼓起脓包?
01
起脓包的原因~
牙龈上的脓包 , 学名“窦道”。
通俗来说就是牙齿有龋齿
或者缺损等病因
导致牙根发炎后根尖周组织化脓,
脓液穿通骨壁和软组织流到牙龈表面,
形成脓包。

一般呈粟米大小的乳头形状。
更有甚者,
脓液会穿通到皮肤表面 形成肉芽肿结节,
影响颜面部美观。

大多数情况下
窦道口都位于病灶牙相应的牙龈表面,
但是也偶尔会有
开口位于远离病灶牙的情况,
这就需要医生的火眼金睛来精准定位啦,
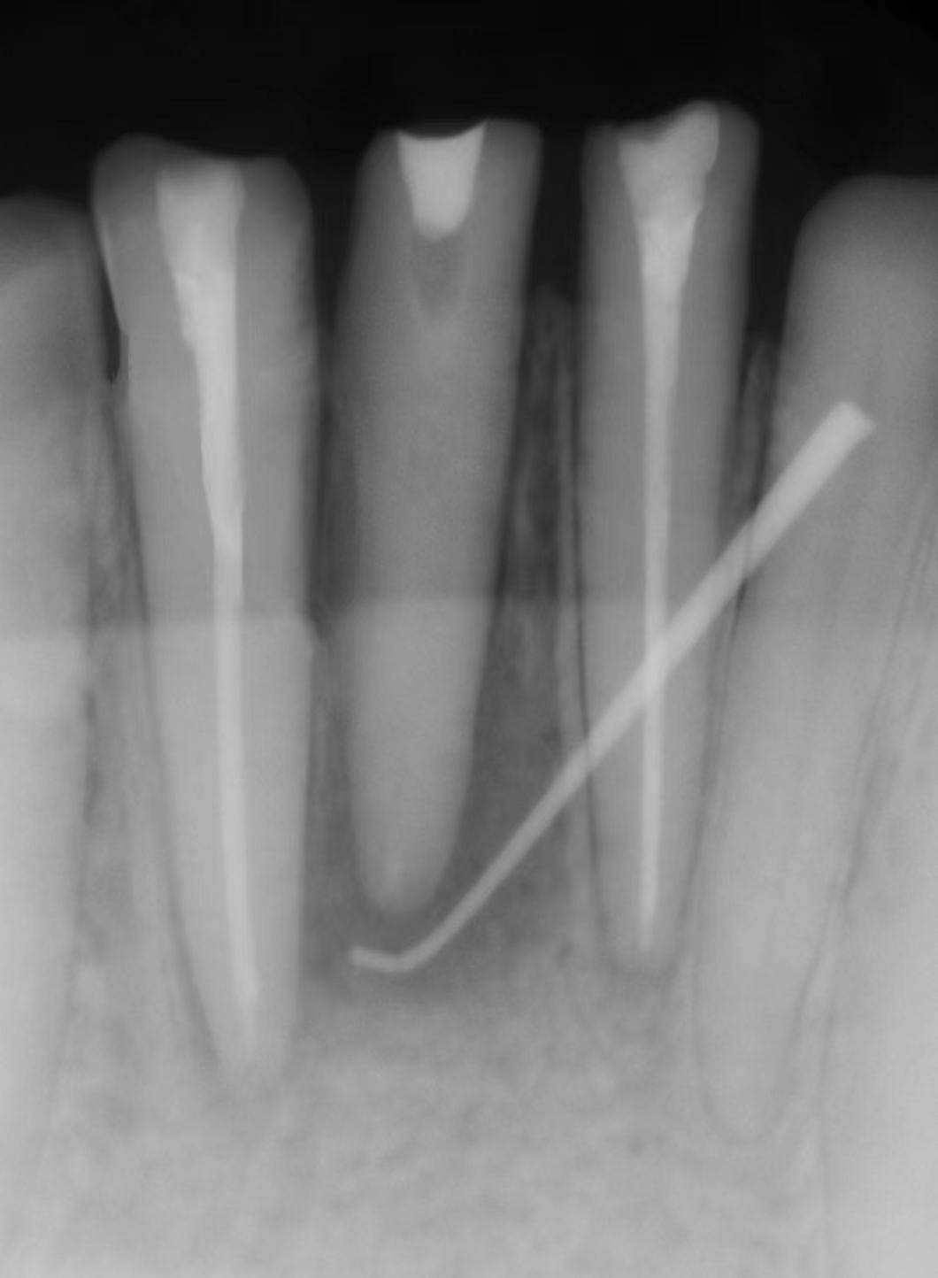
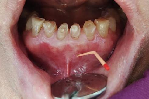
必要时可自窦道口插入诊断丝
拍摄X线示踪片以确定窦道的来源。


牙龈起脓包要如何治疗?
02
吃消炎药,治标不治本!
很多患者牙龈长脓包后,
首先想到的是吃消炎药,
但这是治标不治本的方法。
即使通过服用抗生素使得脓包愈合,
它也会在宿主身体抵抗力下降时再次发作。

脓包的根源是牙齿发炎,
只要控制了病灶牙的炎症,
窦道自然就会愈合。
而要清除病灶牙的炎症则需要做根管治疗
(如患牙无保留价值也可拔除)。
根管治疗了解下~
什么是根管治疗呢?
根管治疗术是目前治疗根尖周病的
最有效、最常用的常用的方法。
它采用专用的器械和方法
对根管进行清理、成形,
用有效药物对根管进行消毒灭菌,
最后严密填塞根管,
使得感染得以控制,
促进根尖周病变的愈合。
一般来说成功率为90%左右。
通过完善的根管治疗,
脓包一般都可愈合,
如果失败,也可考虑行根尖手术。


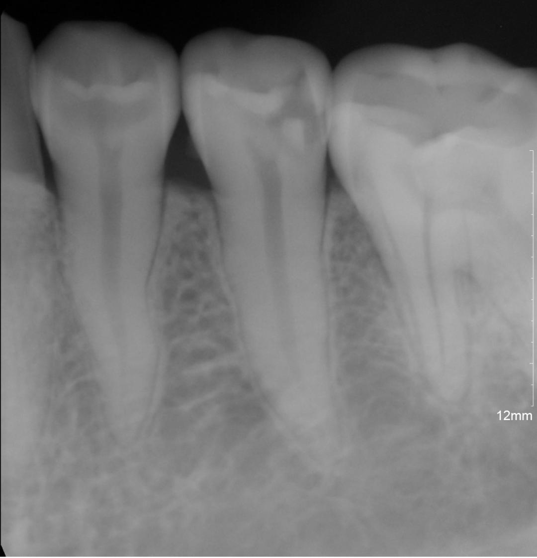
( 根管治疗前后对比图)
如何预防牙龈起脓包?
首先要做好日常 牙齿清洁,
半年至一年做一次口腔检查,
发现问题应及时治疗,
如有龋齿就要早期尽快补牙,
把病变扼杀在摇篮里,
避免炎症扩散,
如延误最佳治疗时机,
患牙可能需要拔除。
