孩子们期盼已久的
暑假即将到来啦
除了游乐园、补习班爆火外
中小学生 矫正牙齿 也迎来了 小高峰

不少家长都想趁着暑假
带孩子去矫牙

到底哪些牙齿需要矫正?
什么时候矫正比较好?
......
今天我们就来一起聊聊
关于口腔正畸的那些事儿
↓↓↓
据央视新闻报道,我国有近70%的儿童青少年患有错颌畸形,需要进行牙齿矫正。牙齿长得不好,不仅影响孩子的颜值,更关键的是会 影响口腔功能~

这些牙齿问题,需重视!
但如果孩子出现以下4种情况,需引起家长的重视,建议尽早到医院进行检查及矫正治疗。
01 地包天
前牙反合是指上下颌前牙相互接触时,下牙比上牙突出,俗称“地包天”。
观察脸的侧面,会发现脸型是凹陷的 “月牙型”,会影响容貌和前牙的咬合关系 ,需尽早治疗!否则上颌骨会被下牙限制住生长,下颌不断地往前生长,严重的可能脸呈现凹陷状态,影响容貌颜值。

02 深覆合
如果前牙垂直向下,盖住下牙太多太深,我们就叫深覆合。
时间一长容易导致下前牙的异常磨耗,越磨越薄,太严重的会直接咬到上颚,导致粘膜的损伤,还有下颌后缩可能对呼吸也有影响,若不及时矫正会 影响咀嚼功能、导致牙齿磨损、颞下颌关节问题以及面部外观不协调。

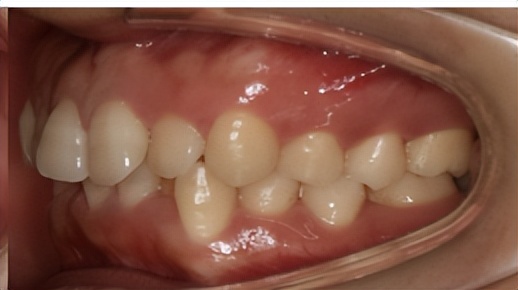
03 牙不齐
牙不齐是指牙齿在口腔中位置不当,相互之间没有足够的空间。
原因可能包括口腔发育异常、下颌骨发育不足或者智齿生长导致的牙齿拥挤。拥挤牙齿会导致 不良咀嚼、口腔清洁困难以及面部外观不美观。

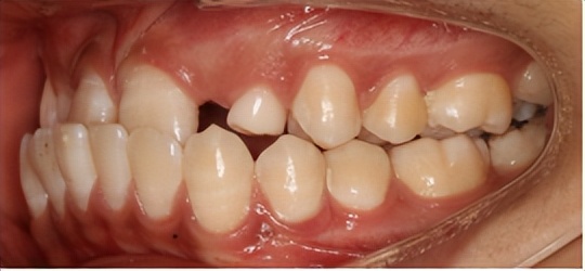
04 开颌
开颌是指上前牙和下前牙之间有空隙,咬不上。开颌可能是由于遗传因素、吸吮乳瓶或吸指头等习惯*行为性**引起的。开颌会 影响面部外观、发音和咀嚼功能。

这些问题不仅影响牙齿和口腔的健康,还可能对个人的外观和自信心产生负面影响。
上述四种情形可以通过矫正治疗(如金属牙套、隐形矫正器等)来 调整牙齿的位置和咬合关系 ,从而 改善口腔功能和外观。 具体的矫正方案应由牙医或正畸专家根据个体情况进行评估和制定。

抓住暑期矫牙黄金期
11-16岁的青少年是正畸的黄金年龄,其原因是由于这时期的青少年的 学业负担小,有更多的空闲时间,可灵活安排复诊时间。 虽说全年龄段矫正需求的宝子都适合做正畸,但由于成年人生长发育已经停止,骨代谢及牙槽骨改建比较缓慢,牙齿移动速度相对缓慢,所需要的矫治时间会相对较长,难度也会上升。
此外,进行正畸治疗后,通常需要一段时间来适应。在暑假期间,孩子可以 有更多时间适应牙套的使用, 减少不适感和口腔溃疡的发生。另外,较为轻松的暑假环境也有助于孩子更好地应对治疗过程中的不适和调整。
