首先,别说打石膏了,在床上躺个三个月骨折就能自动长上了(伤筋动骨一百天嘛!)!医生真TM黑心,躺着就能好,还给我打个石膏!医生真TM没良心,打石膏就算了,还给我用几万块的钢板固定,医生肯定从中拿了不少黑心钱,谁知道是不是装了块废铁进去!(医生尽一切方法希望病人能恢复良好,这么不知好歹,你良心真的不痛吗?)
今天刚刚给一个股骨骨折的病人做完手术,手术就是左侧股骨切开复位内固定术!

首先,躺着真的能够恢复吗?有什么后遗症?
古人云,伤筋动骨一百天,现代解释可以理解为骨折后愈合起码需要3个月的时间,你可以选择一直躺着不动,对于没有明显骨折碎片的骨折,也就能自然而然长上了,年轻人愈合可能快一点,老年人恢复慢一点,这一点都很好理解。可事实是,对于大部分的骨折患者基本都是老年骨质疏松,后面被家里小孩撞倒或者是地滑摔了一跤进来医院就诊的,见过太多太多!别说是老人家了,就算是年轻人,在床上躺个3个月,不能说百分之百,起码八九十会出现卧床常见并发症(深静脉血栓,坠积性肺炎,褥疮等),骨折不会一般不会死人,出现并发症可是会要你的命的,下面分别啰嗦几句。
深静脉血栓

深静脉血栓
正常人下肢的血液靠小腿的肌肉行走时不断挤压,就跟个水泵一样将下肢静脉的血液泵向心脏完成循环,在床上躺久了,下肢的肌肉尤其是小腿的肌肉不收缩了,这个泵自然而然的就停止了运行!把血管比作水管,把血液比作自来水的话,就是自来水在水管里面不动了,那久而久之水管里面就要长脏东西,从而堵塞水管,这就是我们所说的深静脉血栓!!!单纯的血栓形成对于人体来说危害还不是特别大,临床上最怕的是这个血栓脱落,随着血液流到哪里堵到哪里,堵住心脏的血管心脏不跳了,堵住肺的血管肺不呼吸了,人也就没了,这也是新闻黑心记者经常夸大的,出院前一天,病人好好的下地,怎么就人没了的原因。
坠积性肺炎

肺炎
患者长期卧床,多伴随心功能减弱,痰液多积于肺的底部,导致肺底部的充血、淤血、水肿,要知道细菌可是非常喜欢这些淤血的,所以长期卧床引起的肺炎就来了,由于长期卧床引起的肺炎临床上称为坠积性肺炎,老人家发生肺炎可能出现全身的菌血症,甚至全身波散,影响患者的生命安全。
褥疮

褥疮护理
说白了就是长期躺太久了,骨头于皮肤突出的位置容易被压烂,更何况这种病人多半有营养不良,压烂的地方非常容易形成感染灶波及全身,引起严重不良反应
骨折畸形愈合

骨折畸形愈合
没有复位骨折,骨折及时长上了也可能残留畸形,对线对位差!
但也还是有优点的,据研究表明骨折后出血,如果骨膜完整,骨膜包着的这一包血是非常好的营养基,利于骨折愈合,而内固定手术可能就把这些营养基给破坏了!
看完这个你还敢在床上躺三个月吗?是不是迫不及待想过来打个石膏了?下面主要讲一下石膏固定!
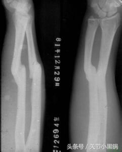
石膏固定

石膏固定
简单理解:石膏固定就是对于一些相对比较小型的骨折或者非负重区域的骨折采用石膏固定或者用于矫形,避免骨折进一步移位的技术或者达到矫形的目的,当然,像上图那样石膏固定了之后也是不能下地行走的!!
石膏固定主要针对的是一些微小的骨折,比如说上肢的骨折等,存在以下缺点:
1、骨折不能绝对固定,可能存在骨折再次移位的可能,甚至因为骨折再次移位损伤周围血管及神经造成严重并发症;
2、石膏固定后,固定的地方会发生肿胀,如果石膏过松可能起不到固定的作用,石膏过紧的话,肢体肿胀明显有可能引起血液循环障碍,小腿及手臂石膏固定引起的最严重的不良反应临床称为骨筋膜室综合征,严重时可能导致截肢;
3、石膏固定过紧或者与皮肤接触部位不平的话可能导致局部压迫缺血,把皮肤压烂造成感染,小孩子或者老年人抵抗力较低的可能感染波及全身,甚至影响生命;
4、石膏固定用于矫形者,比如说小孩子先天性马蹄内翻足的治疗,需要定时更换;
5、石膏固定必须先行手法复位,因为不是直视下复位,因此骨折不能达到解剖复位,有可能存在对线对位的异常,可能存在畸形愈合,影响患者预后;
6、影响生活质量,睡觉的时候也要带着!!!
.....................................
因此,微小的骨折或者非负重区域的骨折可以考虑石膏固定,但也必须同患者及其家属告知相关替代方案及可能出现的并发症,由患者来选择!
钢板内固定

钢板内固定
前面两种都可以全是保守治疗,是不用开刀的,而钢板内固定是要开刀的!
简单说手术过程就是:在骨折部位开刀切进去,暴露骨折断端,在直视下复位骨折,然后装上钢板,拧上螺钉固定。
优点:1、术中基本可以达到解剖复位,基本不会畸形愈合,除非是有些粉碎性骨折,骨折碎片太多了,没办法拼起来;
2、坚强的内固定或者说比较牢固的内固定,术后几天就可以下地走路,基本生活自理,大大减少了上述所说的长期卧床来的并发症,早期就可以行功能锻炼;
3、钢板在人体体内,不影响生活,大大提高了生活质量(你想下石膏固定睡觉时候也要带着,自己体会!);
.......................
缺点:1、年轻人的内固定还是建议骨折愈合后取出的,因此可能要做第二次手术取出内固定;
2、破坏了骨折处血肿的营养基,对于一些老年人不利于骨折恢复,但总体上还是比不做手术强;
3、钢板内固定价格昂贵!
........................