本文转载自公众号:肿瘤资讯
病例分享:福建省肿瘤医院 李梅芳
专家点评:福建省肿瘤医院 何志勇

何志勇福建省肿瘤医院胸部肿瘤内科 行政主任 主任医师
美国希望之城(city of hope )国家癌症中心高级访问学者
中国医药教育协会肿瘤转移专业委员会副主任委员
CSCO肿瘤免疫治疗专家委员会常务委员
CSCO非小细胞肺癌专家委员会委员
中国医疗保健国际交流促进会肿瘤内科分会委员
福建省基层卫生协会基层肿瘤防治分会主任委员
福建省海峡肿瘤临床协作分会会长
福建省医学会疼痛学分会常委,癌痛学组组长
福建省抗癌协会肺癌专业委员会常委
福建省抗癌协会肿瘤内科学分会常委
福建省化疗质控中心委员

李梅芳 医师
福建省肿瘤医院胸部肿瘤内科25区主治医师于安徽医科大学肿瘤学专业 医学硕士主要从事胸部肿瘤,尤其是肺癌的化疗、靶向治疗、免疫治疗等为基础的综合治疗
病例一
诊疗经过一:
患者女性,48岁,2015年10月因“体检发现右下肺占位”就诊我院,查PET-CT示右肺下叶背段占位,高代谢,考虑肺癌。完善相关检查,2015年10月22日在全麻下行“胸腔镜右下肺楔形切除术”,术后病理(15-15655):右下肺楔形切除标本:(右肺下叶)周围型浸润性腺癌(肿物大小2*2cm,腺泡型为主),侵犯肺膜,“胸膜结节”示纤维组织中见腺癌浸润。IHC:TTF-1(+),CK7(+),WT1(-),CR(-),D2-40(-),CK5/6(-),CEA(-)。分子病理(ARMS-PCR)EGFR(B15-00411):检测到EGFR基因19del突变,ALK(L15-00094):未检测到EML4-ALK融合基因突变。
临床诊断:右肺下叶腺癌胸膜种植转移T2N0M1a ⅣA期(EGFR 19del突变,ALK阴性)姑息术后。
2015年11月开始口服“厄洛替尼150mg qd”靶向治疗至2019年4月1日,定期复查肿瘤稳定,PFS约41月。
诊疗经过二:
2019年4月1日我院复查胸部CT示:1、右肺癌术后靶向治疗后,右侧胸膜异常增厚伴右侧大量胸腔积液较前加重,倾向转移;2、右肺炎症伴部分压力性肺不张,建议治疗后复查以除外合并肿瘤。(图1)

图1 2019.4.1胸部CT影像资料
2019年4月2日予右胸腔穿刺置管引流胸水,并予“重组人血管内皮抑制素30mg”(2次)胸腔灌注治疗提高胸水控制率。2019年4月17日分子病理(胸水,ARMS-PCR):EGFR(B19-00081)检测到EGFR基因19del和T790M突变。2019年4月18日开始口服“奥希替尼80mg qd”靶向治疗。2019年5月16日因“胸闷、气促”复查胸部CT示:右侧胸膜增厚,右侧胸腔积液较前增多。疗效评价PD。(图2)

图2 患者奥希替尼治疗前后影像资料
诊疗经过三:
2019年5月17日再次予右胸腔穿刺置管引流胸水,并予“顺铂40mg”(2次)胸腔灌注治疗提高胸水控制率。经讨论后,患者继续口服“奥希替尼80mg qd”靶向治疗至今,2019年5月18日开始联合“重组人血管内皮抑制素30mg d1-7 q21d”抗血管靶向治疗及“长春瑞滨40mg d1,3,5(口服3周停药1周)”节拍化疗,未见明显毒副反应,疗效评价PR,PFS超过10个月。(图3)

图3 患者“奥希替尼+重组人血管内皮抑制素+长春瑞滨”治疗前后影像资料
病例二
诊疗经过一:
患者女,58岁,2018年4月初因“反复咳嗽、气促”就诊当地医院查胸部CT示:左肺门恶性占位伴纵隔及肺门淋巴结肿大。转诊我院,查PET-CT示:考虑左下肺癌累及左肺门并双肺门、纵隔多发淋巴结转移,肝、右肾上腺、骨转移。胸部CT示:1.左肺下叶占位,肺癌可能2.右肺上叶磨玻璃影,炎症可能,建议随访除外恶性。腹部CT示:肝内低密度灶,转移瘤可能。CTA示:考虑左肺下叶肿块累及左肺下叶动脉并双肺动脉分支多发瘤栓形成可能。气管镜病理(18-06749):(左B6)非小细胞癌,倾向腺癌。IHC:CK5/6(-),P40(-),TTF-1(+),NapsinA(+),CK(+)。分子病理(ARMS-PCR):EGFR(B18-00070)检测到EGFR基因L858R突变。ALK阴性。
临床诊断:左肺腺癌累及左肺中下叶动脉并双肺动脉分支多发瘤栓双肺门纵隔淋巴结转移肝右肾上腺骨转移T4N3M1c ⅣB期
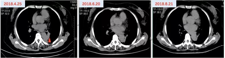
2018年4月20日开始口服“吉非替尼250mg qd”靶向治疗至2019年2月27日,疗效评价SD,PFS约10月。(图4、5)

图4 吉非替尼治疗前CTA

图5 吉非替尼治疗期间CT影像
诊疗经过二:
2019年2月26日因“活动后气促”于福建省东山县医院查胸部CTA示:左肺癌及化疗后改变,双肺下叶少许炎性灶,纵隔内及双肺门淋巴结肿大,肝内低密度灶,考虑转移灶?左右肺动脉局部及其部分分支充盈缺损,考虑癌栓形成。分子病理(ctDNA,ddPCR)EGFR T790M 0.89%。2019年2月28日开始口服“奥希替尼80mg qd”靶向治疗,并予低分子肝素抗凝治疗。2019年3月26日复查提示肺动脉瘤栓较前好转,左肺病灶较前略增大。(图6)
因考虑左肺病灶较前略增大,患者继续口服“奥希替尼80mg qd”靶向治疗,并于2019年3月26日开始联合“长春瑞滨40mg d1,3,5(口服3周停1周)”节拍化疗,定期复查疗效评价SD,PFS接近12个月。(图7)

图6 奥希替尼治疗前后影像资料

图7 “奥希替尼+长春瑞滨”治疗前后影像资料
专家点评
1、病例亮点:
以上分享的2例病例,均为EGFR突变阳性晚期NSCLC,一代EGFR-TKI治疗后发现耐药突变EGFR T790M,二线接受三代EGFR-TKI“奥希替尼”靶向治疗,但肿瘤对“奥希替尼”均不敏感。病例一中,患者“奥希替尼”治疗1月后右侧胸腔积液再发,右侧胸膜增厚,联合“长春瑞滨”节拍化疗及“重组人血管内皮抑制素”抗血管靶向治疗后,胸腔积液控制好,肿瘤明显退缩,目前PFS已超过10个月;病例二中,患者“奥希替尼”治疗1月后左肺原发灶增大,且后续治疗中动脉栓塞较前明显,联合“口服长春瑞滨”节拍化疗后,患者左肺病灶及动脉栓塞控制尚可,目前PFS已接近12个月。
2、第三代EGFR-TKI耐药后的目前临床策略:
第三代EGFR-TKI通常在治疗10个月左右出现耐药,根据再次基因检测的结果决定后续的治疗方案:1)发现可治疗的耐药突变或组织学转化:采用相应靶点的靶向治疗或相应组织学类型的化疗药物;2)未发现可治疗的耐药突变或组织学转化:不保留奥希替尼,可选择以化疗为基础的联合治疗;继续口服奥希替尼,联合其他的抗肿瘤治疗药物如常规化疗、节拍化疗、抗血管靶向治疗、小分子多靶点药物治疗等。
3、节拍化疗(metronomic chemotherapy)机制及可能的逆转机制
节拍化疗有别于常规化疗,是通过持续的高频率、低剂量给予化疗药物的一种治疗模式,这样能使肿瘤细胞更长时间、更稳定地暴露于细胞毒*药性**物中,不仅能延长药物作用时间,又能减轻药物不良反应[1]。节拍化疗的主要机制是抗血管形成,同时也存在免疫调节作用[2]。节拍化疗以肿瘤血管内皮细胞和基质细胞为靶点,既可以上调血管生成抑制因子的表达,又对促血管生成因子具有抑制作用,从而诱导肿瘤细胞凋亡或抑制其增殖[3]。节拍化疗在免疫调节方面,可以通过减少调节性T细胞数量及抑制其功能来增强抗肿瘤作用[4]。长春瑞滨属于长春花生物碱类,是NSCLC化疗方案中重要的组成药物之一。长春瑞滨静脉给药对外周血管的刺激性较强,易导致静脉炎,而口服长春瑞滨(软胶囊)的生物利用度可达33%~43%[5],细胞毒活性与静脉制剂相似[6],安全性好,口服给药方便,是节拍化疗最佳的可选药物之一,常用的节拍化疗剂量为:口服长春瑞滨30~50mg,每周3次。目前临床中长春瑞滨节拍化疗常用的模式包括:老年且PS评分低患者姑息治疗、节拍化疗联合抗PD-1/PD-L1治疗、节拍化疗联合抗血管靶向治疗、节拍化疗联合小分子靶向药物、节拍化疗联合常规化疗药物等。
本次分享的病例一中,口服长春瑞滨节拍化疗与抗血管靶向药物相结合,发挥了有效的抗肿瘤治疗疗效,逆转了肿瘤对奥希替尼靶向治疗的耐药;病例二中,奥希替尼耐药后,联合口服长春瑞滨节拍化疗,不仅控制了肺部病灶,对动脉栓塞灶也有很好的控制作用,有效的逆转了肿瘤对奥希替尼靶向治疗的耐药。
我们推断节拍化疗可能通过抗血管、细胞毒作用及调制肿瘤微环境等多方面与奥希替尼联合,从而逆转肿瘤对奥希替尼靶向治疗耐药,这对我们临床实践中奥希替尼耐药的患者提供了新的治疗思路。因此,节拍化疗的治疗模式值得我们在临床实践中进一步探索,探索更有效的联合治疗模式以及更有效的治疗人群。
参考文献
1 André, Nicolas, Carré, Manon, Pasquier E . Metronomics: towards personalized chemotherapy?[J]. Nature Reviews Clinical Oncology, 2014, 11(7):413-431.
2 肖文华. 恶性肿瘤的节拍化疗[J]. 临床肿瘤学杂志, 2008, 12:1139-1142.
3 Kareva I , Waxman D J , Klement G L . Metronomic chemotherapy: An attractive alternative to maximum tolerated dose therapy that can activate anti-tumor immunity and minimize therapeutic resistance[J]. Cancer Letters, 2014, 358(2):100-106.
4 Zhao, J, Cao, Y, Lei, Z, et al. Selective Depletion of CD4+CD25+Foxp3+ Regulatory T Cells by Low-Dose Cyclophosphamide Is Explained by Reduced Intracellular ATP Levels[J]. Cancer Research, 2010, 70(12):4850-4858.
5 Richard M. Lush, Jeannine S. McCune, Leticia Tetteh. The absolute bioavailability of oral vinorelbine in patients with solid tumors[J]. Cancer Chemotherapy & Pharmacology, 2005, 56(6):578-584.
6 Tan, E. H, Rolski, J, Grodzki, T. Global Lung Oncology Branch trial 3 (GLOB3): final results of a randomised multinational phase III study alternating oral and i.v. vinorelbine plus cisplatin versus docetaxel plus cisplatin as first-line treatment of advanced non-small-cell lung cancer[J]. Annals of Oncology Official Journal of the European Society for Medical Oncology, 2009,20(7):1249-1256.