儿童鼻窦炎是儿童临床常见多发疾病,常继发于上呼吸道感染,虽与上呼吸道感染一样普遍,但未得到应用重视。儿童鼻窦炎不仅可引发鼻塞、流涕和继发听力损害,而且可以导致儿童认知能力和学习能力的下降,同时也可能继发下呼吸道反复感染及小儿鼾症等,严重影响患儿及其家庭的生活质量。其病因及发病机制尚未清楚,已有文献和临床实践证明,儿童鼻窦炎常由急性呼吸道感染迁延所致,并且与儿童期天然免疫发育尚不完善有关。遗传因素,如天然免疫异常、先天性呼吸道纤毛结构异常等,一些获得性免疫功能障碍,腺样体或扁桃体肥大等在儿童鼻窦炎发病中也起一定作用。现在已经认识到感染不是鼻窦炎的主要因素,临床随访发现,儿童鼻窦炎有自愈倾向。儿童鼻窦炎不是一个孤立的疾病,诊断要树立全局观念。
儿童鼻窦炎的诊断包括5个方面:
1.确定是否存在鼻窦炎;
2.确定急性、慢性;
3.确定病因;
4.确定病程分级;
5.其他疾病的确诊:如糖尿病、支气管扩张、肿瘤等。
儿童鼻窦炎常伴有腺样体肥大、变应性疾病、慢性中耳炎和哮喘等。l临床医师还应结合儿童鼻窦的发育特点以及某些少见因素:过敏、免疫缺陷、囊性纤维化、原发性纤毛不动综合征(PCD),胃食管返流(GER)、阿司匹林耐受不良和HIV等,最终做出诊断。
急性和慢性鼻窦炎
根据症状持续时间划分:
1.急性:症状持续时间小于12周,症状可以完全缓解。
2.慢性:鼻部症状持续超过12周,症状未完全缓解,甚至加重。
急性鼻-鼻窦炎常被当成感冒,临床上有三种表现常提示存在鼻窦炎:
(1)感冒持续10天以上;
(2)感冒比以前严重;
(3)感冒好转几天再次加重。
症状
主要症状: 鼻塞,黏性、脓性鼻涕。
次要症状: 头面部胀痛,嗅觉减退或丧失。
诊断以上述两种或以上为依据,主症必须具备其一。很多小儿无法准确叙述自己的感受,应重视家长的介绍,70%-100%的患儿变现为鼻塞和张口呼吸,71%-80%的患儿表现为流涕,50%-80%的患儿表现为咳嗽,约40%-68%有耳部问题,如反复发作的慢性化脓性中耳炎。
1、鼻塞:患儿不会主诉鼻腔通气不好时,家长会发现患儿张口呼吸,或气粗,或夜内睡眠打鼾。
2、流涕:可为脓涕,或粘稠白色分泌物。如分泌物积聚在鼻腔,或在鼻腔结痂,可表现为鼻塞。
3、咳嗽:主要是分泌物倒流,刺激下呼吸道引起,或因伴粘膜变态反应引起。
4、听力下降:因鼻腔粘膜炎症累及咽鼓管咽口,或腺样体肥大,阻塞咽鼓管口,导致中耳负压,鼓膜内陷,或引起分泌性中耳炎,导致听力下降。
5、行为改变:包括注意力下降,学习成绩下降,易烦躁,较小儿可表现为易激惹等。病史中,有时儿童可能仅表现为行为上的表现,易被忽视。
体征
专科检查: 包括前鼻镜检查、鼻内镜检查或采用纤维鼻咽喉镜检查。检查过程中需考虑儿童耐受性及依从性,避免不配合引发器械导致的鼻腔损伤。检查内容主要关注点为5点:
1.鼻腔粘膜状态:充血、肿胀或水肿,或粘膜干燥、出血等。
2.鼻腔分泌物定位:分泌物的性状、位置和量,有助于判断鼻窦炎的严重程度或性质。
3.鼻腔新生物:鼻腔是否有息肉或其他新生物,鼻腔后部是否伴有腺样体肥大;
4.咽部检查:扁桃体是否增生肥大,或伴有感染,以及咽后壁是否伴增生淋巴组织或有分泌物自鼻咽部倒流至口咽等;
5.耳部检查:鼓膜是否完整或内陷,或有穿孔等,伴发分泌性中耳炎鼓膜可呈内陷、橘黄色,有积液征。
辅助检查
1、鼻内镜检查可以直接观察到炎症波及的鼻窦,还可以获得鼻窦内样本(可能被鼻黏膜菌群污染)。
2、鼻通气功能检查:通过检测鼻气道阻塞程度、具体狭窄部位来判断病情轻重,常用鼻测压计和鼻声反射计。
3、鼻腔自洁功能检查:检测鼻粘膜纤毛传输功能,排除纤毛功能障碍,常用糖精试验。
4、嗅觉功能检查:包括嗅瓶实验、嗅域检查及嗅觉诱发电位。
5、皮肤过敏原皮试和血清特异性IgE检测:用于了解患者是否有过敏体质,明确病因是否与过敏有关。
6、听力学检查:查听力水平及声阻抗。判断是否累及中耳。
7、免疫功能检测:血清IgA,IgM,IgG,及IgG亚群,即IgG1-4亚型水平较低可能导致儿童难治性鼻窦炎。
8、细菌学检查:一般不需要进行微生物学评估,该检查需要用于:1)感染较严重;2)急性感染药物治疗48-72小时后未见好转;3)免疫功能缺陷;4)出现眶内、颅内并发症。
影像学检查
鼻窦炎发病2周内,在影像学检查上表现不明显,因此急性鼻-鼻窦炎发病2周内如无怀疑其他疾病,可直接治疗,观察病情发展,不需影像学检查。
X线片检查不能准确定位鼻腔和鼻窦内病变的部位,尤其是比较重要而且精细的结构,如鼻道窦口复合体等部位,而且图像不够清晰,容易造成误诊,因此,临床已少用。
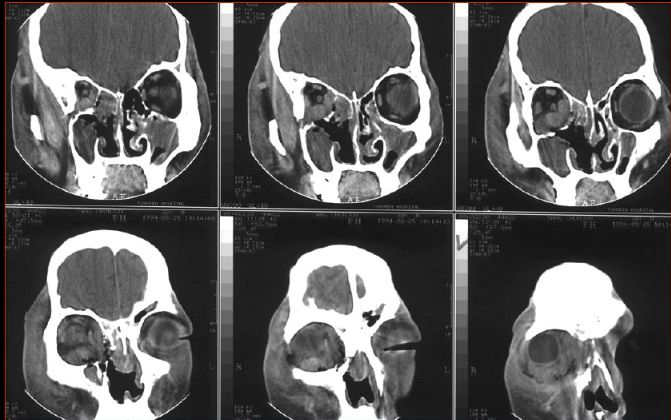
目前多使用鼻窦CT来了解鼻腔及鼻窦的病变,明确是否存在粘膜炎症或骨结构异常等。使用CT对鼻窦炎病情严重程度进行分型(Lund-Mackey分级)在临床上已经作为一种基本的评估方法进行使用,主要用于了解具有临床症状的慢性鼻窦炎患者的病情。
但临床上经CT检查发现约60%的正常儿童存在鼻腔或鼻窦粘膜水肿的表现,因此,CT不能用作诊断慢性鼻窦炎的金标准,应结合病史、临床表现、专科查体和必要的辅助检查共同确定诊断。

急性鼻窦炎

急性鼻窦炎
鉴别诊断
1、先天性疾病: (1)后鼻孔狭窄或单侧后鼻孔闭锁:约2/3为单侧,右侧常见,90%为骨性闭锁,临床表现为双侧或单侧鼻腔脓涕、鼻塞,多在婴幼儿期就诊经纤维内镜检查发现。(2)鼻腔脑膨出:多为单侧,阻塞鼻腔引起鼻塞、脓涕,影像学检查对发现和鉴别该病非常重要。(3)不动纤毛综合征:由呼吸道粘膜上皮的纤毛动力蛋白臂缺失导致的功能异常。可以是家族性,临床表现为鼻窦炎、内脏反位和支气管扩张,可伴不育。确诊需组织活检检查纤毛活动度和超微结构。
2、创伤: (1)鼻骨骨折:可出现鼻窦炎症状,通过询问病史和专科检查加以明确。(2)鼻腔异物:多表现为单侧带有恶臭的脓涕,易误诊为鼻窦炎,需进行纤维内镜详细检查加以鉴别。
3、炎症: (1)腺样体肥大:临床表现为双侧鼻塞、粘脓鼻涕、睡眠张口呼吸和打鼾,或伴有听力下降、硬腭高拱及鸟嘴征等腺样体面容等,鼻内镜及纤维内镜检查可确诊。(2)上颌窦或蝶窦后鼻孔息肉:多单侧出现,表现为脓涕、鼻塞、咳嗽和头疼等,通过鼻内镜或CT检查检查加以鉴别。以上两者常伴发鼻窦炎,或为鼻窦炎之病因。
4、肿瘤: (1)鼻咽纤维血管瘤:多单侧,鼻塞、脓涕,鼻出血症状,鼻内镜或CT检查可见鼻腔内红色、表面光滑、质韧或较硬新生物,多源于翼腭窝,增强CT可见新生物血供非常丰富,周围骨质,尤其是翼突根内侧受压变形或吸收。(2)鼻咽畸胎瘤、横纹肌肉瘤和淋巴瘤等:可有鼻塞、脓涕,经鼻内镜或CT检查可发现新生物,或粘膜局部坏死性肉芽肿,可鉴别。
治疗
儿童鼻窦炎的治疗策略是以药物治疗为主。治疗急性鼻窦炎,主要是迅速消灭鼻-鼻窦中的细菌,预防迁延成慢性鼻窦炎及并发症发生。慢性鼻窦炎药物治疗目标是控制感染,改善通气和恢复鼻-鼻窦生理功能,抗感染,抗水肿为治疗儿童鼻窦炎的关键环节,还包括抗过敏、促进粘膜纤毛传输以及改变机体免疫缺陷等方面。儿童鼻腔和鼻窦粘膜对炎症的反应程度比成人明显,对适当的药物治疗反应迅速,常可收到良好的效果。抗生素和局部类固醇激素可同时抗感染和变态反应,为目前治疗的首选药物。小剂量、长疗程大环内酯类抗生素由于其抗感染作用在慢性鼻窦炎治疗中值得推荐。其他如鼻内用糖皮质激素、粘液促排剂、鼻腔冲洗、抗胃食管返流和中药治疗等目前也为大多数医生接受和推荐。
药物治疗
1、抗生素: 肺炎链球菌、流感嗜血杆菌、金黄色葡萄球菌、凝固酶阴性葡萄球菌、厌氧菌、卡他莫拉菌是儿童急、慢性鼻窦炎的主要致病菌。阿莫西林克拉维酸钾、头孢二代、三代临床应用广泛。慢性鼻窦炎应注意选择对β-内酰胺酶稳定的药物,必要时可应用抗厌氧菌药物。急性鼻窦炎和复发性急性鼻窦炎一般使用2周,或是在脓性引流消退后继续用药1周。对于一些曾经多次用抗生素治疗仍持续有症状的慢性鼻窦炎患儿,最好在停用抗生素1周后借助鼻内镜取样做细菌培养和药敏试验,有助于抗生素的选用。
2、大环内酯类: 长期、低剂量大环内酯类抗生素在手术治疗效果不理想或不能以糖皮质激素治愈的慢性鼻窦炎有较好的疗效,在不同研究中其有效率为60%-80%。其作用机制目前普遍认为多与抗菌作用关系不大而与其抗感染作用有关,包括两方面:直接作用于重要的炎性细胞因子和炎性物质,减少一系列炎症细胞因子和炎性物质的释放、活化和表达,由此抑制炎性病变的发生和发展;破坏和抑制细菌生物膜的生成。持续性脓性分泌物而细菌培养阴性、无变态反应和局部类固醇激素疗效差的患者通常对大环内酯类的治疗反应较好。用量为常规抗菌剂量的1/2,疗程需持续12周以上。注意可能造成消化道菌群失调,需配合使用调节消化道菌群的制剂。
3.糖皮质激素:
(1)鼻用糖皮质激素:为治疗的一线用药,联合抗生素同时使用,可缩短病程和延长第二次发作周期。多项研究证明标准治疗剂量的鼻用激素对儿童骨密度无明显影响,长期应用是安全的。应采用能有效控制症状的最小剂量,以晨起用药为宜。急性鼻窦炎治疗时间为4-8周,对慢性鼻窦炎的治疗至少应维持3-6个月以上。临床上应用后效果差的原因多为依从性差、使用不当、药物不能充分到达病变部位(鼻甲肥大、息肉、感染、结痂),对此类患者应给予具体的咨询和指导。注意定期检查鼻腔,给患者示范正确的喷雾技巧减少鼻中隔穿孔等并发症。
(2)雾化吸入糖皮质激素:适用于鼻腔鼻窦粘膜急性炎症或较重水肿的患者,吸入后能迅速为粘膜吸收,减轻鼻腔粘膜水肿、渗出,有利于鼻腔通气和引流。
(3)全身用糖皮质激素:对于严重、复发性鼻息肉,合并严重哮喘、变应性鼻炎或阿司匹林不耐受者可短期口服糖皮质激素。
4.粘液促排剂: 鼻粘液纤毛消除功能对保证鼻窦引流和排除鼻腔异物有明显作用,在鼻炎、鼻窦炎发病中有重要意义,慢性鼻窦炎一个最重要的病理改变是纤毛运动功能的损害。该类药物罕见胃部不适或过敏反应,使用安全,一般用药4周以上。
5.其他药物治疗:
(1)减充血剂:因可引起药物性鼻炎,不推荐使用。急性期鼻塞严重者可短时间(7天以内)低浓度使用,以利于通气和引流,以0.5%麻黄碱或盐酸羟甲唑啉为主,禁用萘甲唑啉。
(2)抗组胺药:是治疗变应性鼻炎的一线用药。鼻用剂型的疗效一般略好于口服剂型。
(3)白三烯受体拮抗剂:适于慢性鼻窦炎合并哮喘及变应性鼻炎者,可改善鼻腔通气状况,且有抗炎作用。
(4)抗胃食管返流药物:对于伴随有胃食管返流的患儿采用抗反流治疗有助于儿童慢性鼻窦炎的治疗,主要是抑酸剂和促动力剂,首选奥美拉唑和多潘立酮。
(5)中药治疗。
6.鼻腔冲洗: 鼻腔冲洗具有机械的清除作用,去除鼻腔粘膜表面的病原微生物以及产生的各类化学物质,从疾病的起源上阻断疾病发生和发展。此外鼻腔冲洗还可降低胶体层的粘液,稀化粘液,增加纤毛的摆动频率,加快粘液层向鼻咽部的移动,提高粘膜纤毛摆动功能,减轻粘膜水肿。目前临床上有鼻腔灌洗、鼻腔喷洗和鼻腔雾化式冲洗器三种,其中雾化式鼻腔冲洗器儿童易于接受,依从性好,鼻腔盐水冲洗液以高渗盐水冲洗效果好些。
小结:
药物治疗是否有效,需进行系统的评估,近期疗效评估时间为3个月,远期疗效评估时间为1年。评估方法采用主观评估和客观评估,包括症状评分、鼻内镜检查和鼻窦CT扫描;还可进行生活质量评估,考虑到儿童的理解和表达能力,需综合考虑患儿和家长的意见进行评估。经充分药物治疗后,症状无改善或改善不满意时,考虑药物治疗无效,方可采用辅助性手术的方法。
手术治疗
由于儿童鼻腔、鼻窦尚处在发育阶段,鼻腔手术后黏膜炎性反应较重,鼻腔狭窄,术后护理困难,容易发生鼻腔粘连。同时,儿童慢性鼻窦炎在成年后有自然痊愈倾向,一般来说,儿童鼻窦炎在药物治疗或腺样体切除无效后可进行手术治疗。手术的基本原则是精细和微创。
腺样体是细菌隐藏的聚集场所,也是引起鼻塞、分泌物滞留、纤毛运动减弱的主要原因。对规范治疗后效果不理想、伴有腺样体肥大阻塞后鼻孔2/3以上的患儿,行腺样体切除后,50%以上将不需要进一步手术治疗。因此,腺样体切除可作为儿童慢性鼻窦炎药物治疗无效后的首选治疗手段。
除腺样体手术以外,当出现鼻息肉阻塞通气和(或)堵塞窦口鼻道复合体引流;鼻窦炎症引起颅内、眶内或眶周等并发症;在经规范及充分药物治疗后效果不佳时可考虑鼻内镜手术。总体来说,儿童慢性鼻窦炎手术以微创、小范围精准为原则, 一般只切除钩突和开放前组鼻窦。伴有影响手术操作的严重鼻中隔偏曲时可行尽量小范围的局部矫正术。后避免频繁鼻内镜检查及术腔过度干预。
手术适应症: 1、充分药物治疗(通常3个月)后效果不佳,症状持续存在;2、多发鼻息肉造成广泛的鼻腔、鼻窦通气引流障碍;3、急性鼻窦炎引起了眶内、眼周并发症;4、存在严重鼻腔、鼻窦解剖异常;5、同时伴有哮喘或高耐药群。
手术后随访和术腔处理: 术后定期复查是提高儿童ESS疗效的关键。鼻腔填塞物应于术后48h内取出。术后清理可在2~3周后,清洗术腔,去除坏死组织、血痂和干痂,分离粘连。术后的鼻腔盥(guan)洗和局部类固醇激素的使用应持续3个月以上。近期随访至2年,建议至少随访5年。
总结
儿童鼻窦炎与其他气道病变如变应性鼻炎、腺样体肥大、分泌性中耳炎及扁桃体炎、支气管哮喘等之间存在密切的联系,容易出现眶内及颅内并发症。临床上儿童鼻窦炎的诊断主要依靠鼻部症状和辅助检查,治疗上,口服抗生素和鼻用激素是治疗儿童鼻窦炎的首选药物。临床上依据细菌培养选择敏感性抗生素是治疗的关键。口服抗过敏药、鼻用减充血剂及鼻腔盐水冲洗等药物也有一定的治疗价值;出现严重并发症的急性鼻窦炎,或者通过系统药物治疗之后无效的慢性鼻窦炎,可以考虑选择手术治疗。
出现严重并发症的急性鼻窦炎应在使用有效抗生素的前提下,尽早进行鼻内镜手术干预,开放受累的鼻窦和脓肿腔,引流脓性分泌物,迅速控制扩散的炎症。对药物治疗无效的慢性鼻窦炎手术首选腺样体切除术,其次才考虑经鼻内镜鼻窦手术切除鼻息肉,开放上颌窦口和受累的鼻窦,重建窦口鼻道区域的通气引流。通过药物和手术的综合治疗,可以让慢性鼻窦炎症状得到满意的控制。