磁共振扩散张量成像技术
(临床应用)
1
1、大脑发育中的应用
我们知道,出生后大脑仍继续发育、髓鞘化 ,2岁左右基本完成,遵循从下到上,从后到前,从中央到周围的规律进行髓鞘化。利用DTI技术,可以定量分析不同部位脑组织的各向异性程度,显示大脑的发育过程。
在新生儿和婴幼儿的大脑白质ADC值比成人大而空间各向异性比成人小,随着大脑发育成熟,由于整体水份的减少和髓鞘化的进程,许多区域的ADC值降低、而FA值增加,并且一些区域的改变要明显早于传统MRI的T1WI和T2WI的信号改变,被认为是前髓鞘化的表现 。

DTI显示不同年龄儿童胼胝体的纤维束发育情况
许多发育迟缓的儿童,尽管MRI平扫未见明显异常,但在DTI图像上存在多处白质纤维通路FA值下降而平均ADC增加的区域,为这一类疾病的诊断提供了影像学依据。
1
脑肿瘤应用
DTI可以定量分析肿瘤组织特点以鉴别肿瘤的级别,鉴别正常的白质纤维、水肿及肿瘤区域;显示神经纤维束与脑肿瘤的关系,使临床外科医生可以在术前、术中更清楚掌握肿瘤和白质纤维的情况,使手术方案更加可靠安全,并评估预后,这是DTI技术最有临床价值和应用的前景。
有学者利用FA图和彩色张量图将肿瘤和白质纤维的关系分为4种模式。
模式I:患侧纤维的FA值相对于对侧正常或轻微降低(降低<25%)同时纤维的位置或/和方向发生改变。

模式I,为肿瘤挤压周围纤维移位,提示肿瘤为良性或侵袭性不强的恶性肿瘤
模式II:患侧纤维FA值相对于对侧明显降低(>25%),同时纤维位置和方向正常。

模式II提示瘤周发生水肿,但不排除有肿瘤侵入。
模式III:患侧纤维FA值相对于对侧明显减低,同时纤维的走向发生改变。

模式III提示瘤周纤维被肿瘤侵入
模式IV:患侧纤维显示各向同性或近似同性,无法看出走行方向。

模式IV,提示肿瘤破坏瘤周纤维,仅限于恶性肿瘤,但可以是高级别或低级别肿瘤
这四种模式对应不同的手术方案。模式I和模式IV建议肿瘤全切,模式II和模式III建议部分切除,加强辅助治疗,提高生存质量。

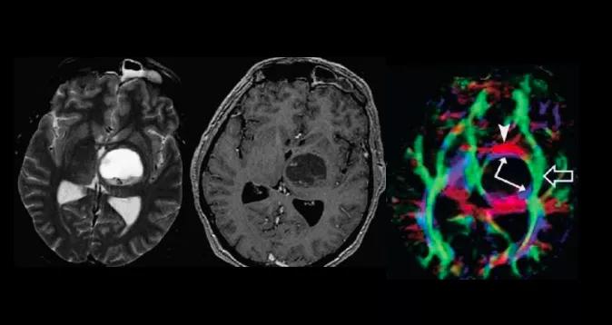
左侧颞部脑膜瘤DTI示左侧神经纤维束受压移位,但连续性完整,符合模式I

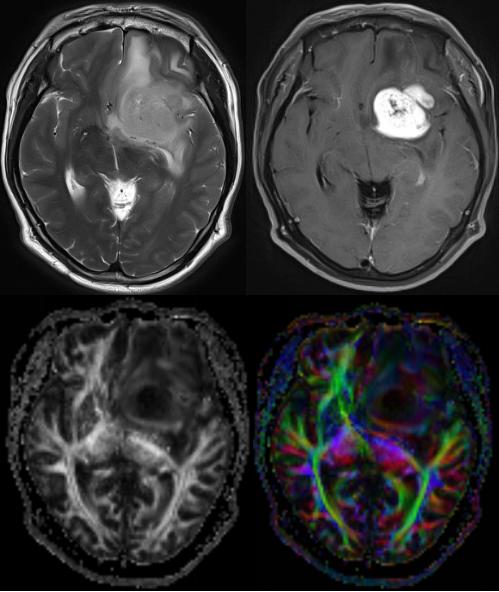
左侧额叶低级别胶质瘤,低灌注,左侧额叶白质纤维破坏,无法看出走行,符合模式IV
1
脑血管病应用
我们知道,DWI有助于超早期、早期脑梗死的及时诊断,而DTI在检测脑梗死后神经纤维束的损伤方面有着显著优势。
不同时期脑梗死的ADC和FA值均会有不同的变化:在超急性期病变区ADC值降低,FA值轻度增高;在急性期病变区ADC值、FA值均比对侧相应部位降低;亚急性期FA较健侧有明显下降,ADC 值变化不一致;慢性期病变侧较健侧FA值持续降低而ADC值高于健侧。FA值的变化与缺血损伤的严重程度有关,A值的水平还可以反映细胞肿胀、胞膜降解的程度,即缺血性损伤的严重程度。
DTI也可显示血肿、梗死区与纤维束的关系,如接近、穿行、中断等,有助于判断白质纤维束损害程度与身体相应部位的功能障碍的关系,有助于判断临床治疗效果、判断病人恢复、预后。

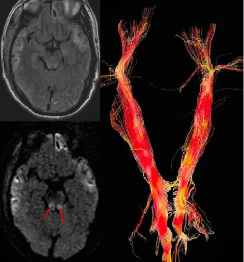
右侧基底区急性期梗死FA值下降,纤维束局部中断
此外,有学者研究发现,与梗死区相联系的同侧内囊、大脑脚和桥脑处的皮质脊髓束FA较对侧显著降低,提示脑梗死后远端的皮质脊髓束可能存在进行性的Wallerian变性,通过对梗死远端皮质脊髓束FA计算判断其变性程度,可以预测患者的运动功能转归。
1
脑白质病变的应用
(1)多发性硬化
DTI 可以充分显示神经纤维脱髓鞘后扩散各向异性的异常,为临床诊断提供更加充足的影像学信息。DTI将有助于MS的诊断,同时还可对MS进行更准确的临床分期,对病情进展及转归进行预测及随访。
MS急性期,ADC和FA均下降;慢性期,ADC增加,FA值虽下降但比急性期高。
(2)肌萎缩侧索硬化
肌萎缩侧索硬化(Amyotrophic Lateral Sclerosis,ALS):ALS是一类进行性肌肉无力,伴有球麻痹症状的疾病,通常在发病后6年内死亡,T2WI可在内囊后肢、大脑脚等皮质脊髓束走行区发现异常高信号。DTI则对皮质脊髓束变性的范围和严重程度有很大帮助,并利于早期发现病变,在T2WI信号变化之前即可获得ADC的升高和FA的降低,这些微小的变化反映了继发轴索脱失后细胞外容积的扩大。
(3)阿尔茨海默病
阿尔茨海默病(Alzheimer Disease ,AD):AD是大脑最常见的变性病,是成人痴呆的一个主要原因,传统MR表现为颞叶前部和海马区的萎缩和异常高信号,但其对早期发现AD病的敏感性和特异性不高。在轻度或早期AD,颞叶脑白质的FA值就可以有明显降低,并与临床的严重程度密切相关。颞叶脑白质早期的轴索膜或髓鞘破坏和脱失造成纤维密度降低,被认为是FA降低的可能原因。阿尔茨海默病锥体束的完整性无明显受损,这一发现与该症的临床表现一致,突出症状是认知功能下降而不是运动功能障碍 。
(4)精神分裂症
DTI可以显示白质纤维束通路上连通的异常,表现为病变部位的FA值的降低。
(5)慢性酒精中毒
在胼胝体膝部、压部及半卵园中心FA值均有降低,且FA值与使用酒精的时间长短有一定的相关性。
1
脑外伤的应用
弥漫性轴索损伤的患者中,绝大多数都会表现出弥散各向异性程度的改变。外伤后弥漫性轴索损伤最初的24小时里,在普通MR上表现正常的白质可能会出现弥散各向异性指数轻度的下降。而外伤几周后这种下降会很明显。

外伤患者DWI显示脑干损伤,DTT图示白质纤维束扭曲变形及移位
此外,对于一些脑挫裂伤的患者,DTI也可显示挫伤区与纤维束的关系,同样有助于判断白质纤维束损害程度与身体相应部位的功能障碍的关系,有助于判断临床治疗效果、判断病人恢复、预后。
1
脊髓病变应用
脊髓损伤的发病率为20~40/100万,早期准确反映脊髓损伤及其程度,了解轴突损伤再生及再髓鞘化过程,对于脊髓损伤治疗及预后具有重要意义。常规MRI检查低估了脊髓损伤的程度,不能用于评估脊髓的功能状态,有关脊髓评价和治疗效果验证目前主要依靠临床的主管评价,缺乏客观的功能影像学标准。
DTI技术能敏感地反映脊髓中水分子扩散各项异性的改变,从而提供活体脊髓的细微病理生理结构变化信息,理论上认为DTI测量所得的ADC值和FA值能反映脊髓损伤和修复期轴突再髓鞘化过程,因而正应用于脊髓损伤动物模型和临床研究中。

脊髓损伤患者,显示纤维束明显扭曲、变形、部分断裂
1
其它系统疾病的应用
(1)DTI 在心脏的应用
精确地了解心肌纤维结构对深入理解和解释心脏电生理机能和机械功能十分必要。DTI可以作为一种无创的方法定量地描述和分析心肌纤维走向。受心脏搏动和呼吸运动的影响,多方向获取数据在时间上受到一定限制,随着数学方法和扫描序列的不断更新,这些问题都将迎刃而解。DTI不仅应用于心肌机械性能(即描绘纤维束的位置和方向) ,还可应用于心肌的电传导性能,心脏的解剖结构也可获得精确测量。
(2)DTI 在肾脏的临床应用
水的运输是肾脏功能的一个主要现象,所以测量肾脏的弥散特性将为各种不同肾脏疾病提供重要信息,如慢性肾衰、肾动脉狭窄、输尿管梗阻等。肾积水的ADC值增加,肾动脉狭窄或输尿管梗阻时ADC值则下降。在急性或慢性肾衰时,皮、髓质的ADC值则显著下降,皮质的ADC与血清肌酐水平密切相关。此外,肾皮质的各向异性较弱,髓质则有很高的各向异性。
(3)DTI 在骨骼肌的临床应用
骨骼肌有显著的各向异性,测量各向异性参数可推断出骨骼肌纤维显微结构的排列,也可判断其病理状态。压力和张力的分布在很大程度上依赖于纤维的方向,DTI则是目前判断肌纤维方向的唯一方法。
1
DTI局限性和展望
DTI是目前惟一能无创绘制活体纤维通路的方法, 它能够从若干特征性参数的变化反映各个系统正常或异常改变, 尤其是中枢神经系统。
但DTI也有其局限及不足之处,主要表现为以下方面:
-
弥散梯度引起涡流,对纤维束方向的确定有所影响;②磁场不均匀性使图像扭曲变形,影响DTI定量分析;
-
较小纤维束显示不佳或不能显示;
-
受水肿等因素影响,受压与破坏不确切;
-
结果具有操作者因素,例如兴趣区的大小、位置、FA阈值、采用的算法以及对神经解剖学知识的熟悉程度均影响示踪成像结果的准确性。
不过这些并不影响DTI的发展和应用,随着技术方法的提高和后处理分析的不断优化,DTI必将在科研和临床中展示更多特殊的应用,其前景十分广阔,尤其是将DTI技术与Bold-fMRI联合应用于神经科学领域更是近年来的研究热门。
【版权声明】本平台属公益学习平台,转载系出于传递更多学习信息之目的,且已标明作者和出处,如不希望被传播的老师可与我们联系删除