肠镜检查前,如何进行高质量的肠道准备?
胃肠疾病常见又高发,体检年年做,那不如给自己的“胃肠道”也做个“体检”吧。
不少人一听到胃肠镜就望而却步,尤其是结肠镜,觉得既尴尬又痛苦,但它却是消化科医生眼中的“金标准”,是筛查和诊断肠道疾病的重要手段。
结肠镜是最为准确且直观的检查结肠病变的手段,而受检者是否做好肠道准备是决定其能否达成良好检查效果的基础和前提,若患者肠道准备不良,易遗漏病灶或发生并发症。因此,在行结肠镜检查前做好肠道准备是十分必要的。
那我们该如何进行一个高质量的肠道准备呢?
Q1
饮食准备
肠镜检查前1天进食少渣半流质饮食,便秘患者可提前2-3天进食少渣半流质饮食,检查当日晨禁食。
宜:白米稀饭、清汤面条、馒头、面包、蛋羹、清汤等。
忌:蔬菜、豆类、肉类、水果(带籽的水果请提前2-3天禁食用)。
Q2
药物准备
组合一: 复方聚乙二醇电解质散(Ⅱ)(和爽)3包+1盒二甲硅油散


1.检查前一晚20点: 将一包和爽加入750ml(500ml矿泉水1.5瓶)25-40℃温水中,1小时内喝完,并来回走动促进排泄。
2.检查前5-6小时,服用第二次药物。如下午14点行结肠镜检查,则上午8点将2包和爽加入1500ml(500ml矿泉水3瓶)25-40℃温水中,1小时之内喝完,并来回走动促进排泄。
3.第二次泻药服用完毕半小时后,将二甲硅油散与20ml水融合,服用。
组合二: 复方聚乙二醇电解质散(IV)(舒泰清)4盒+1盒二甲硅油散

1.检查前一日晚20点将两盒舒泰清加入1500ml(500ml矿泉水3瓶)25-40℃温水中,1小时之内喝完,并来回走动促进排泄。
2.检查前5-6小时,服用第二次药物。如下午14点行结肠镜检查,则上午8点将2盒舒泰清和加入1500ml(500ml矿泉水3瓶)25-40℃温水中,1小时之内喝完,并来回走动促进排泄。
3.第二次泻药服用完毕半小时后,将二甲硅油散与20ml水融合,服用。
Q3
肠道清洁程度判断
示意图:

浑浊水样便
肠道清洁不合格

清水样便
肠道清洁合格
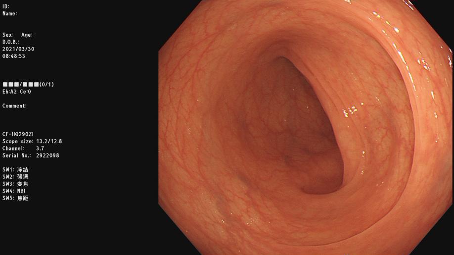
镜下肠道示意图:

肠道准备不佳
镜下无法观察

肠道准备合格
镜下观察良好
Q4
检查或手术后的注意事项
1.一般肠镜检查: 无特殊。
2.无痛肠镜检查: 禁食2小时后进食清淡易消化饮食;建议24小时禁止驾车、签署机密文件、操作机器及高空作业。
3.肠镜下取活检或息肉切除术: 遵医嘱恢复饮食。
供稿:内镜中心 刘聪
编辑:陈圆
审核:宣传科