
前几天,笔者去看了点映场的《我不是药神》,差点在电影院里就落泪了……回家路上,我就在想,这一切的发生,究竟是怎么一回事?究竟是谁的错?究竟该如何去解决?
所以,我想借这篇文章,普及些电影故事的背景和相关知识的干货,请放心,还没看过电影的不用怕剧透,也能在看之前先了解到足够的知识点。
另外,我认为看完影片再仔细看完这篇文章的人,可能会获得多一些层面和角度的思考。
1
这 种病,有多可怕?电影里所描写的这种病症,就是背景真实事件中的,叫做慢性粒细胞性白血病(Chronic Granulocytic Leukemia, CGL)。
所谓粒细胞,是一种细胞质中包含颗粒体的白细胞,正常状态下,它会由补体调节蛋白调控,并由骨髓中的造血干细胞分化而成。但是,某些人体内的费城染色体(Philadelphia chromosome)会发现染色体易位现象:也就是九号染色体中长链的ABL基因,会与二十二号染色体上長链的BCR基因发生并列性易位,而产生一种新的融合基因(fusion gene)。

费城染色体易位产生的融合基因
发生费城染色体易位之后,就会导致人体骨髓中的主要粒细胞从此不受控制地增长,并在血液中不断地积累,无限增生。这种粒细胞恶性增殖的疾病,也就是慢性粒细胞性白血病。

粒细胞恶性增殖
每年所有的白血病新患者中,约有15%为慢性粒细胞白血病患者。这种病症的发病演变分为慢性期,加速期与急变期。
在慢性期阶段中,患者通常没有什么明显的病症,或是仅有一些乏力、左侧疼痛、关节疼痛或者腹胀的不适感。只有在验血时,才会发现白细胞总量有偶然性的增多。慢性期的长度一般各有不同,取决于疾病何时被诊断以及治疗的介入时间。如果没有进行治疗的话,疾病就会进入加速期。
在加速期阶段,患者的症状与表现与急性骨髓性白血病患者很相似。而且加速期非常重要,因为此时已经暗示疾病在持续恶化,并将向急变期转化。在加速期阶段中,药物治疗通常已经效果甚微了。从慢性期到加速期,一般患者可以渡过3到5年。

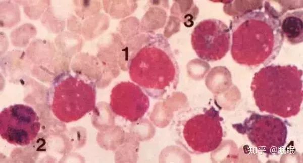
正常血细胞对比患者血细胞
一旦病症进入急变期,患者的状况就会急转直下,患者很快就会死亡,目前也没有什么有效治疗手段。在影片中医生说某角色已经进入急变期,就是这个阶段了,再多的就不剧透了,看过的自然知道……哎……
慢性粒细胞性白血病的具体症状包括:左侧、上腹肿痛脾脏肿大、肝脾及淋巴结(颈、腋下、腹股沟)肿大、萎靡不振、晚间睡觉时大量出汗、关节疼痛、发热或低烧、喉咙痛,口腔发炎等、而且经常有牙龈出血,此外伤口难以止血。另外还有贫血、消瘦、有青紫皮试症的血小板减少症等症状。

虽然这种病症看起来挺恐怖的,但是也不用过分担心,因为它虽然发生于全部年龄的人群,但发病率随年龄的增长而提高,绝大多数患者通常都为中年或老年。而且每年疾病发生率,在10万人中仅有1到2例,还是比较罕见的。此病目前已知的最大诱因,是电离辐射(高频短波长的高能电磁波)。二战时广岛和长崎遭遇核打击后,当地慢性粒细胞性白血病的患病比率出现了大幅上升。
2 格列卫,到底值什么价?
整个电影的核心矛盾,就围绕着这种叫做“格列卫”的药的价格。在讨论它具体值多少钱之前,眠眠先说下慢性粒细胞性白血病的发病原理,前面也说了,当9号和22号染色体交互易位之后,会产生费城染色体及BCL-ABL融合基因。
而致病的根源就在于,这种融合基因可以编码出BCL-ABL融合蛋白,它具有很强的酪氨酸激酶活性,可以激活多条信号转导途径,同时还能对细胞周期进行调控,导致细胞恶性增生,具体表现为细胞的正常凋亡出现障碍,降低骨髓基质细胞之间的粘附性,介导粒系细胞增殖与转化等等,最终导致慢性粒细胞性白血病的发生。

中期细胞荧光原位杂交里呈现的费城染色体
关于这种病的治疗,在90年代或以前,只能使用化疗干扰素,羟基尿及骨髓移植等等治疗手段。也就是影片中那些病人如果得不到药,只能接受的治疗方式。
1990年时,瑞士一家医药公司开发出了一种专门针对此病的药伊马替尼(Imatinib),这家公司在1996年兼并了另外一家公司,组成了后来的瑞士制药巨头诺华制药(Novartis),也就是电影中的那家(名字都没改)。而伊马替尼在商品化之后,有了一个新的商用名字——格列卫(Glivec)。是的,影片中的所有爱恨情仇,都是有它而起。
格列卫,或者说伊马替尼治疗慢性粒细胞性白血病的机制,就在于它可以通过结合ATP上接近BCR-ABL这个结合位点而工作,锁死它以关闭或自抑制结构,因此抑制了酪氨酸激酶的活性。

格列卫的治病机制
更重要的一点在于(对癌症治疗有兴趣的请关注这里),由于BCR-ABL酪氨酸激酶只存在于肿瘤细胞中,而不存在于正常细胞中,所以伊马替尼的工作原理,可以被视为一种标靶向的治疗,针对一个靶子攻击而不误伤,结果就是只有癌细胞通过伊马替尼药物而死亡,不会损伤到正常细胞。
而且,伊马替尼的这种治疗方式,是在癌症治疗中第一个真正意义上的靶向治疗,也为后来治疗其他癌症起到了重要的参考性作用。
可以说,格列卫的诞生,是众多医疗专家的科研结晶:大量研究者通过筛选药物库,来寻找那种有机物才是那一发指向标靶的*弹子**,可以高效抑制蛋白质。随着不断地筛选,他们终于发现了2-苯基氨基嘧啶这个化合物。再通过进行了大量的测试之后,又确定了引入甲基和苯甲酰胺基的修饰,来帮助它增强结合性能,从而产生了伊马替尼。伊马替尼的开发者布莱恩·德鲁克尔、尼古拉斯·莱登,也获得了2009年美国拉斯克奖和2012年日本国际奖。
用通俗一点来说,某种意义讲研发这种新药品的过程,基本上就和《阴阳师》里抽SSR是一样的撞大运概念。而格列卫更是一张神级SSR。
生命无价,但是人类科技的结晶,是有价的。所以,关于格列卫的定价高昂,你可以说它不合理,但也可以说,它在当时确实值那个价。换一个角度想想,如果没有巨大商业价值潜力的驱动,没用暴利的诱惑,会有那么多专家组成的团队出于完完全全的人道主义,花费巨额经费和人力进行高效开发吗?(不多扯了,多说又会扯到经济自由化的利与弊了)

各大医疗公司的研发经费,下方为诺华公司
还有一个需要知道的点:诺华公司开发药物,并不是只有格列卫,它投入了八百多亿资金研发,最终能保证研发成功的只有21种,能够大卖的更是只有格列卫等几款。暴利面前,医药企业也终究是商人。所以,风险和利益并存,也是促使格列卫“天价”的一个原因。
3 为什么,印度仿制药便宜?
和很多人想象中并不一样的是,印度仿制药并不是什么见不得光的事业,相反,证明了某些印度相关领导在这方面具有相当的前瞻性,毕竟说白了,只不过是规则的合理利用罢了。在具体聊到这个话题之前,眠眠先简单科普下所谓专利药和仿制药。
专利药,是指申请专利的新化合物单体药,在专利期内,只有拥有该药品专利或者取得专利授权的公司,才能够生产。而仿制药(Generic drugs),是指专利药品的化合物专利到期后,其他厂家所生产的和专利药化合物成分一模一样的药物(具体的生产工艺和配料比例可能会不同)。

其实针对仿制药,也有简单的申请步骤(ANDA),通过这个流程需要证明仿制药和专利药的化合物一模一样,并具有相同的生物等效应和有效性。而差别在于,仿制药一般不需要进行临床试验,其申请时间和花费的经费,都远较专利药为少。
其实仿制药最早的始作俑者并不是印度,而是美国。1984年,美国有150种药品专利期到了,药厂觉得无利可图,于是不愿意将继续开发其后续版本。按当时法规,如果有其他厂家希望继续生产这些药品,必须要重新走一遍新药开发的流程,还要申请新的专利。

仿制药(黄)和专利药(蓝)的价格对比
正是在这样的大环境下,美国出台了著名的“哈茨·沃克曼法案”,同意新厂只需证明自己的药和原药化合物相同,药效一样,就可以生产,从此,就出现了所谓的“仿制药”。
可以说,印度恰恰是“哈茨·沃克曼法案”的最大受益者。
在上世纪70年代之前,印度国内的医药市场被跨国制药企业所垄断,因此沿用的是仍然是过去殖民地时期的专利法,对医药产品给予较强的保护。直到1970年时,印度颁布了《专利法》,取消了医药产品的专利,使印度本土制药企业可以合法地仿制那些跨国制药企业的专利药品。

在此之后,印度还颁布了一系列的法规和政策,目的就在于压低国内的药价,同时鼓励本土制药企业大举开发仿制药。在这样的保护机制之下,原来占据主导地位的外国药企遭遇到了灭顶之灾,它们再也无法阻挡本土的疯狂仿制,也降低了印度在引入或者开发先进药品的积极性。此外,印度法律对外资股权的严格限制,使原有外资医药企业大量流出。
伴随着这个仿制药的大风口,印度制药企业彻底腾飞了。他们不但加速仿制药ANDA的申请,还利用贸易知识产权协定(TRIPS)关于WTO新成员国过渡期的规定,进行国际扩张,把市场扩大到全球范围。在本世纪初,印度制药企业已经牛逼到满世界收购其他制药公司的地步……不少美国、德国、日本的制药企业都被印度本土公司所兼并。

自1991年以来,印度制药业的年增长幅度保持在10%以上,远远高于印度国内的GDP增幅。而印度政府税收中更是有15%直接来源于制药产业。印度生产的超过2/3的仿制药,通过出口到其他的发展中国家,因此印度已发展成为世界第四大药品生产国,产量占全球药品产量份额的8%。
可以说,印度本土制药企业充分利用了规则,加上自身劳动力廉价、成本低廉的巨大优势, 向欧美出口大宗原料药、中间体、成品制剂和生物制剂,成为了欧美医药巨头的货源。更重要的是,印度本土药企也在仿制药的生产过程中,积累了大量的经验、学习到了先进的技术,为他们本国开发自己的专利药打下了深厚的基础。

4 印度格列卫,到底是个啥?
影片中很直接地展现给我们,印度的仿制药企业的的确确在光明正大地生产格列卫的仿制药。并且,这种仿制药在效果上与原版的格列卫区别不大,由于省却了巨大的研发成本,且无须支付专利费,因此仿制药的价格只有原专利药的十分之一。
这样的事情,当然诺华公司是看不下去的,凭啥老子栽树你乘凉?
所以,瑞士诺华公司后来迅速研发出了一个新版本的格列卫,并在1998年7月时,向印度钦奈(Chennai)专利委员会申请授予“甲磺酸伊马替尼β结晶体形式”的专利,要求对伊马替尼的新版本格列卫(Glivec)进行专利保护。

瑞士格列卫
请先记住这个“β结晶体形式”,这种晶型相比之前的老版本格列卫的“α晶型”更具流动性、稳定性,具有更强的吸收性,这些特性使得患者对药品的吸收至少可以提高30%。在影片中其实也涉及到这两种版本,但是没有仔细地去说,眠眠在下面会继续再讲相关的事情。
不出意外,诺华公司的专利申请被印度当局驳回,在此之后他们开始和印度方面进行了长达7年的官司诉讼。诺华的理由很简单:你印度不是1995年就加入WTO了吗?那就得按照我们的规矩来办啊。而且你们哭穷,那我也送了你们免费药嘛:当年诺华的捐赠项目曾为超过6600名印度患者提供了免费的格列卫。

印度民众抗议诺华公司的高价药
而印度最高法院却吃透了WTO对成员国过渡期的政策,利用TRIPS的协定的规则进行合理斗争,终于达成的妥协,是等到10年之后印度过渡期满,再颁布新的《专利法》,废除了不允许食品、药品等产品获得专利权的禁止条款。
这个新《专利法》,看似结束了印度仿制药的时代,但事实上印度当局仍然一直驳回瑞士诺华关于新版格列卫的专利申请。因为印度法律禁止向“更新但是与原有药物形式上没有根本不同的药物”授予专利。一次次的诉讼中,印度最高法院始终认定,新格列卫这种改进型药品“不符合创新和独创两项标准”。

印度街头的药店
事实上,印度法律从来都不允许跨国制药企业轻微修改配方,从而申请延长药品专利保护期的做法。眠眠认为,这其实和印度政府高度重视本国的医疗体系有着极其重大的关系:印度上亿的底层民众,如果连基本的看病都得不到保障,那么国家就一定会出现不可估量的动荡。毕竟,生存是马斯洛需求体系的最底层。
再举一个例子,印度宪法中就规定了全民的免费医疗,事实上不仅仅是印度国民,哪怕其他国家的外国人,只要你人在印度,到公立医院看病除了医药费之外,所有的挂号费、检查费、就诊费甚至包括营养餐,都是免费的。只不过公立医院大量排队、脏乱差这些都是无法避免的了,所以有钱人还是会选择私立医院。

印度拥挤的公立医院
说回来,电影中一开始所出现的“印度格列卫”,是印度Natco制药公司所生产的,当地的商品名称叫做Veenat。这种药在中国并没有得到药监局批准,所以在中国属于一种非法药品。影片里程勇之所以要偷偷摸摸见不得人,就是因为这个原因。
至于VEENAT的药效,一般认为它和瑞士诺华公司的老版格列卫相比,的确没有太大区别。为什么要强调这一点,请大家继续往下看。

印度版格列卫:Veenat
5 “药神“的原型,究竟是怎样的人?
许多人大概也知道了,《我不是药神》里程勇的原型,的确是确有其人的,他曾经也是个轰动中国一时的风云人物,那个被奉为“药侠”,“抗癌药代购第一人”的陆勇。

陆勇
关于陆勇,媒体是这么介绍的:
生于1968年的陆勇,是江苏无锡一家针织品出口企业的老板。2002年,陆勇被检查出患有慢粒白血病,当时医生推荐他服用瑞士诺华公司生产的名为“格列卫”的抗癌药。
服用这种药品,可以稳定病情、正常生活,但需不间断服用。这种药品的售价是23500元一盒,一名慢粒白血病患者每个月需要服用一盒,药费加治疗费用几乎掏空了他的家底。
2004年6月,陆勇偶然了解到印度生产的仿制“格列卫”抗癌药,药效几乎相同,但一盒仅售4000元。印度和瑞士两种“格列卫”对比检测结果显示,药性相似度99.9%。陆勇开始服用仿制“格列卫”,并于当年8月在病友群里分享了这一消息。
随后,很多病友让其帮忙购买此药,人数达数千人。 2006年,陆勇作为中国红十字基金会志愿者,与另一位北京志愿者,在韩国慢粒性白血病协会律师的陪同下,曾前往印度这家制药公司考察,以确认公司是否真的存在,这些药物在印度是不是“真药”。
2014年9月,“团购价”降到了每盒200元左右。为方便给印度汇款,陆勇从网上买了3张信用卡,并将其中一张卡交给印度公司作为收款账户,另外两张因无法激活,被他丢弃。
2013年8月下旬,湖南省沅江市公安局在查办一网络银行卡贩卖团伙时,将曾购买信用卡的陆勇抓获。
2014年3月19日,陆勇被取保候审。7月21日,沅江市检察院以妨害信用卡管理罪和销售假药罪对陆勇提起公诉。
根据湖南沅江市检察院的起诉书所载明,2012年至2013年8月期间,陆勇通过网络购买了3张银行卡。印度制药公司与陆勇采用网上发邮件、QQ群联系客户等方式,在中国销售印度生产的抗癌药。
按照中国法律,这些抗癌药哪怕的确有疗效、且的确是真药,但由于并未取得中国进口药品的销售许可,均会被认定为“假药”。
湖南沅江市法院原定于2014年11月28日开庭,他因身体不适、需住院检查,向法院提请延期。
2015年1月10日晚6点30分,陆勇和朋友一行3人从无锡飞抵北京,准备接受媒体的采访。“我们俩走着走着,发现陆勇没有跟上来,再一看他被警方带走了。”
1月13日晚,和陆勇同行的其中一名朋友告诉记者,机场警方带走陆勇的原因是“陆勇已被网上追逃”。
陆勇的律师张宇鹏告诉记者,他从北京警方了解到,发出逮捕令的是湖南省沅江市公安局,北京警方是协助抓获飞抵北京的陆勇。目前陆勇被临时羁押在朝阳看守所,等待沅江警方将其押解回湖南。截至目前,陆勇家属并未收到来自沅江警方的相关通知。
得知陆勇被捕之后,有300多名白血病病友联名写信,请求司法机关对他免予刑事处罚。
2015年1月27日,沅江市检察院向法院请求撤回起诉,法院当天就对“撤回起诉”做出准许裁定。
2015年1月29日下午,陆勇获释。陆勇的代理律师张青松认为,陆勇购买信用卡的行为,有一定的违法性,但不构成犯罪,不应该承担刑事责任。此外,他认为陆勇的“代购”行为未构成销售假药罪,而应属于购买假药的行为。
按照法律规定,购买假药不属于犯罪行为。根据中国刑诉法的规定,对于提起公诉的案件,发现不存在犯罪事实、情节显著轻微、证据不足等情形的,检察院可以撤回起诉。 回家之后的陆勇,还在考察新的项目。
全国各地很多病友纷纷来找陆勇,有的单纯问候,更多的则是寻求他的帮助,咨询购买便宜药,他不得不每天用大量时间去应付这些电话。
陆勇透露,最近,印度方面传来消息,美国已授权印度药企生产一种对丙肝有奇效的新型药,今年6月将在印度上市。通过一个疗程84天的治疗,80%-90%的患者可彻底治愈。在印度当地一个疗程售价仅为900美金,价格几乎是美国的百分之一。
得知这个消息后,陆勇立刻和印度取得了联系,但对方却表示,由于药物是授权性质,只能在印度生产、销售、使用,不能使用邮购等方式寄来中国。
经过多次协商,陆勇最终想出了一个可行的办法。“可以通过医疗签证的方法,在印度呆上84天。”虽然在印度需要花费一定的费用,但是在大部分家庭可以承受的范围内。
3月中旬,陆勇就将前往印度,考察这个方法的可行性。“希望能够帮助到这些患者。”陆勇说。
按照这样的版本,陆勇当之无愧是一个侠义心肠的人,甚至是个小说中的那种,救民于水火的英雄。但是,在很多相关人士口中,陆勇却有着不为人所知的另一面。特别是2017年GQ杂志的一篇人物稿——《令人生疑的“中国药神”》中,更是透露出了一些媒体忽略的细节。
在此,笔者就不详细展开去说了,简单地说,就是陆勇其实先后代购过两种药。一开始代购的是上面提到的Natco公司的Veenat,通过向对方汇款来代购。然而七年之后,他将原来的药换成了另一家印度公司Cyno公司生产的Imacy,而且自称这种药更新更好,他自己也亲自去吃过证明了。

Cyno公司的Imacy
但根据许多人的说法,后来换了的药,也就是Cyno公司生产的Imacy,一来价格远低于Natco公司的Veenat老药,二来本身在印度的生产就是不合法的。这种Imacy不但在印度本土药店里买不到,印度药监局也查不到,而且没有合格的生产许可证,甚至连印度当地的专家也不知道有这种药。至于其药效如何,比之原来的版本是否有差异,众说纷纭。
不过,至少有一点是可以肯定的:陆勇后来代购的药Imacy,甚至连仿制药都谈不上。
在电影里,关于这两种药的变化,剧本有了自己的解释,眠眠认为,作为电影本身而言,是无可厚非的,但是真实的故事究竟是怎样,可能期待媒体能够挖出更多的真相了。而陆勇究竟是“药侠”,还是一个逐利的商人,又或者只是一个根据环境变化,自身也在不断变化的普通人,也只能留待大家自己去判断。

=THE END=
本文作者:眠眠,旅加华人,
《男人装》杂志专栏作者,
网易新闻·网易号“各有态度”签约作者,
知乎历史科技类达人,《人类学+》作者。
更多精彩内容,可关注本文作者新书《人类学+:历史的B面》,当当京东淘宝有售。