过了五一,本以为天气越来越暖和了,没成想,这两天突然降温!
120的声音络绎不绝,很多心肺疾病的患者病情加重,不得不住院治疗。
谁也没想到36岁的程先生,壮小伙会发生心肌梗死。平时也没有个头疼脑热的,一发病就是心脏血管堵塞。
送到的第一家医院,没有能力进行支架手术。
这下可把程先生的家属为难坏了,这可怎么办?

转院有风险,因为毕竟是急性心肌梗死,而且还是急性前壁心肌梗死,是危险程度最大的一种心肌梗死。不住院吧,眼巴巴地看着也不行呀。
医生给患者家属解释:急性心肌梗死有两种打通血管的方法,一种是大家比价熟悉的支架。另一种是溶栓,也就是说输液也能开通血管。
随后家属签字,立即进行输液溶栓开通血管。


溶栓2小时后,患者的胸痛症状逐渐减轻,复查心电图可以明显的看到,第一份心电图胸导联T波高尖,复查的心电图T波已经回落,ST段也回落,Q波形成。复查心肌酶,已经高出了1十几倍,肌钙蛋白高出了几十倍。这些证据都初步判断溶栓成功,血管开通了。
随后医生建议:现在可以拨打120转院了,去做支架了。
家属很疑惑:不是血管都通了吗?为啥还要转院做支架呢?

这是因为:
1、急性心肌梗死的患者,如果抵达了不能支架的医院,那么确实要选择溶栓治疗,因为开通血管是第一要求。
2、如果抵达了能做支架的医院,还是建议首选支架开通血管。因为支架相比较溶栓,效果更加明显。
3、理论上在急性心肌梗死后3小时以内,溶栓开通血管的比例和支架开通血管的比例相当。但一方面大部分心肌梗死的患者抵达医院的时候超过了3小时,超过3小时后,溶栓效果会大大降低。
4、另一方面即使溶栓成功,那只是把血栓溶通了,血管血流恢复了,但血管的斑块和狭窄依然存在,患者还有心绞痛风险和心肌梗死的风险。
所以大部分溶栓成功的患者,最终还是得支架治疗。
当时不建议转院是因为当时血管闭塞,如果转院心肌持续坏死,路上也有心脏骤停的风险。所以综合考虑当时决定先溶栓。
现在经过综合分析,血管打通的可能性非常大,所以相对风险降低了,心肌不再持续坏死了,可以考溶栓了。

那么程先生的血管到底有没有溶通呢?
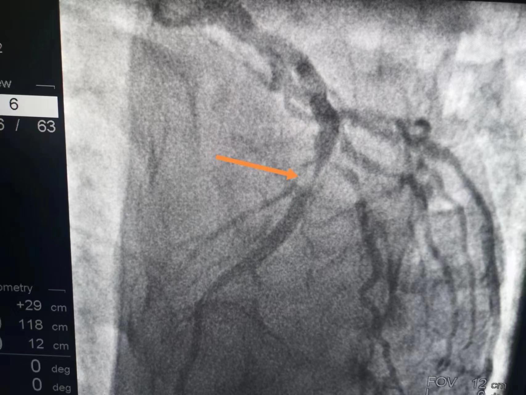
程先生被转至我们医院,造影发现,大家可以看到,心脏左侧的大血管中段有一个严重的狭窄,但血流是通畅的。这就说明溶栓成功了,所以非常感谢溶栓的医院。
要不这么年轻的大小伙子,这么大面积的心肌梗死,如果没有早早开通血管,那么就算能救下了,以后也会心衰。可是经过及时溶栓,血流通了,心肌没有大量坏死,那么就挽救了更多的濒死的心肌,降低了心衰的风险。

大家也可以直观地看到,溶栓成功后的血管,即使血流恢复,但固定狭窄还是非常严重的,这种狭窄心肌缺血心绞痛的风险很大,而且心肌梗死风险也很大,所以还是植入了一枚支架,做完支架大家再看这血管,管腔完全恢复了,那么以后保养好,就不会心绞痛,心肌梗死的风险也会大大降低。

随后送患者回监护室。
总之,对于急性心肌梗死的抢救,就是要尽早开通血管。开通血管的方法两个:一个是溶栓,一个是支架。
如果能支架先选支架,如果不能支架尽快溶栓。
还有就是要补充,夏天好像已经来了,但天气突然降温,即使年轻人,身体倍棒,也得注意保暖!
#谣零零计划#