在临床上如果有某一位患者因为颈椎或者是膝盖疼痛到门诊看病的话,一般会这么问:“大夫,我不是长骨刺了吧,您快给看看!”,给人感觉好像是出现了这种情况就已经是天大的问题一样,很多人谈骨刺色变,真的有必要给大家好好科普一下关于骨刺的问题!

首先大家要明白骨刺形成的原因,基本是由于软骨的退变,也就是老化,没一种办法或者是一种药物,可以停止骨刺的生长,或者是将骨刺消除掉,所以别被骗!这很重要!

骨刺形成的原因
随着年龄的增长以及对于身体的使用,骨刺的形成几乎是必然的,既是一些从事重体力的劳动、体重较大的朋友,更容易导致骨刺形成。
医学上我们通常称之为骨赘,也就是大家所说的骨刺或者是骨质增生。一般对于骨赘形成的原因有以下两种说法,一种是认为由于关节软骨的磨损【1】,关节的骨与骨之间由于软骨磨损以后承受了过度的应力,那么身体默认为需要有帮手来帮忙,最好的帮手应该是重新生长的软骨,但是我们的身体无法再生软骨,于是只能通过其他的帮手来帮忙,那么就是这些骨赘了。

另外一种说法是认为肌腱、关节腔软骨以及周边肌肉等结构出现了无菌性的炎症,炎症导致了钙的沉积,出现了骨刺【2】。(体重以及一些内科疾病也是诱发骨刺形成的因素,遗传因素也占有一部分原因【3】)
无论哪种说法,骨刺其实都是一种身体退变的反应,如果骨刺不会对周边的肌肉软组织或者是其他结构产生刺激的时候,骨刺并不会有任何的症状,这一点请大家一定要了解。在临床上我们很多患者因为体检到医院来进行脊柱或者是关节的x线检查的时候,会发现有骨刺形成,通常报告单会报腰椎颈椎的退变或者是关节的退变,很多患者会非常惊讶。正这些患者通常在平时并没有任何的症状,所以说才会觉得有一些惊讶,这都是很正常的。
骨刺通常好发的位置
只要是我们身体承重或者是过度使用的位置上,几乎都可以看到骨赘形成。比如颈椎、腰椎通常是骨刺的重灾区,身体的较大的承重关节也很多年,有一些比较小的关节,比如手指关节,通常也会有明显的骨质增生存在。

骨刺必须治疗吗?
前面已经说到了骨刺不诱发症状,我们就不需要管它。
骨刺会导致什么症状?
第一,当骨刺形成的过大,或者是形成的范围过广,就会影响到患者关节活动的屈伸范围,并导致疼痛。尤其是在一些比较大的关节,比如膝关节。在临床上因为膝关节骨质增生,进行手术或者保守治疗的患者是往往是最多的。

第二,如果骨刺形成在脊柱范围内,有一些骨刺形成的过大,会导致神经出口的狭窄,导致患者出现神经卡压的症状。比如患者会出现上肢或者是下肢的麻木、无力、疼痛。

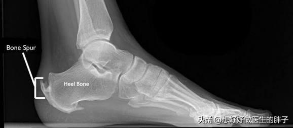
第三,还有一些骨刺,虽然不会影响患者的活动范围,也不会造成神经的卡压,但是会造成患者活动性的疼痛,就是说只要一活动就会疼痛。比如跟骨骨刺,虽然不是占全部的因素,只占30%左右,但是确实有着一部分患者是因为骨刺导致的活动性疼痛。#清风计划# #青云计划#

骨刺具体治疗方案有哪儿些呢?
骨刺的治疗首选还是要以保守治疗为主,有很多患者说,那医生您不能将这些骨刺手术切除吗?答案是:可以切,但要看切除后会否解决患者的问题,比如严重的膝关节骨质增生,那么医生完全可以通过关节置换的办法将骨刺切除掉,将导致问题的软骨面儿也切除掉,换上金属的表面,这样就会彻底解决患者的问题。但是有一些患者达不到做这么大手术的程度,而且即使将一些小的骨刺切除掉,很有可能在1~2年之后会重新长出新的骨刺,那么相当于做无用功。而且有一些骨刺周边出现的症状是由于骨刺刺激到了周边的软组织产生了炎症,医生通常可以控制住这些炎症,症状也就会随之减轻,那么就完全没有必要将骨刺切除掉。

常规的保守治疗:
第一,休息,减重,这两种措施是最基本的治疗办法。前面已经说到骨刺形成的原因,跟我们过度使用身体是有直接关系的,那么如果我们发现身体存在了大量的骨刺,并且会诱发疼痛等症状,那么休息减少对于身体的使用往往是最关键的一环。另外体重对于已经有骨刺形成的朋友们是比较大的刺激【4】,我们的体重每增加一斤,对于关节和脊柱承受的压力就会增加1~3倍。所以适当的减轻体重,维持住正常的体重,对于保护关节,对于减少骨刺的形成很有意义。如果有一些体重超标的朋友想要减重的话,建议运动方式要采取游泳或者是骑固定式自行车【5】。


第二,口服或者外用非甾体镇痛药。当有一些小的骨刺刺激到关节,或者是身体周边的肌肉与软组织的时候,就会诱发轻度的疼痛,那么适当的口服以及外用非甾体镇痛药可以帮助患者减轻症状。常见的比如布洛芬,芬必得等都是比较好的这一类药物。建议有胃病或者是胃溃疡的患者要慎重使用这一类的药物,最好是在医生的咨询下才能使用此类药物。
第三,物理治疗以及针灸治疗。尤其是对于脊柱以及腰椎的骨刺形成的患者,很多患者因为骨刺形成刺激到了周边的肌肉会在活动的过程当中出现明显的疼痛,有严重的患者甚至会出现轻度的下肢麻木以及放射痛,那么进行一些物理治疗,确实能很好的帮助患者缓解症状,比如热疗、蜡疗或者是微波、超声波等治疗。经皮神经电刺激也是针对骨赘诱发症状缓解非常好的辅助治疗办法之一,得到了美国风湿病协会的推荐【6】。

compex
另外现在冲击波治疗对于缓解骨刺诱发的炎症疼痛有明显的效果,这种技术应用于骨科的治疗,大概在10年左右的时间,最近变得越来越受到关注。尤其是对于髌腱、跟腱等部位出现骨刺诱发患者出现的疼痛,有非常好的治疗效果。

针灸治疗对于缓解这一类脊柱骨刺问题诱发的疼痛,效果是比较好的。

第四,关节内注射玻璃酸钠注射液。髋关节、肩关节以及膝关节这些比较大的滑膜关节,出现的骨质增生诱发的疼痛,可以进行关节腔注射玻璃酸钠。因为这一类关节的骨质增生,通常情况下是由于关节腔内的软骨出现了明显的磨损,进行关节内注射玻璃酸钠可以增加关节腔内剩余软骨的弹性,减轻关节腔内无菌性炎症、从而增加关节腔的润滑,减轻患者的症状。

现在还有一种相对来讲比较新的技术叫做富血小板血浆因子关节腔内注射治疗,也就是PRP关节内注射治疗。由于富血小板血浆因子具有比较好的促进组织修复的作用,现在开始用于关节腔内的治疗,但是价格略贵、技术开展的时间略短仍然需要进一步的观察。
第五,祖国医学治疗。艾灸、针灸、外用药等很多治疗都可以帮助患者缓解症状,由于谢医生是西医,就不在这里班门弄斧了,给大家介绍一下有这样的治疗方式供大家选择。关于祖国医学的治疗,谢医生有一点建议就是一定要到正规的医院去选择正规的医生治疗。

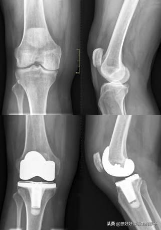
第六,手术治疗。手术治疗是医生和患者都不愿意进行的最后一步。但是有一些患者的病情确实达到了需要关节置换才能解决这些骨刺导致问题的程度。那前面已经说到了,例如肩关节、髋关节以及膝关节,如果是严重的骨质增生、严重的软骨磨损,患者会出现明显的关节活动受限,同时会伴有夜间痛以及休息痛,有的患者被折磨的痛不欲生,那么面对这种情况,可能手术治疗是最佳的治疗办法【7】。以往的手术就是比较单纯的关节置换手术,但是现在也重视到保膝手术治疗的发展,现在也有很多医生会根据患者的病情进行部分关节置换或者是截骨矫形等保膝手术治疗来尽量保留患者关节良好的部分,只处理有问题的部分。

总结
请阅读此文章的诸位对于骨质增生千万不要谈虎色变,如果没有症状的骨质增生,我们完全可以不在乎它,需要我们做到的是注意休息、减轻体重,尽量不要过度的使用我们的脊柱或者是关节。
如果确定是由于骨质增生导致的疼痛、活动受限等问题,也可以先采取保守治疗的办法,观察能否帮助患者解决或者说缓解症状。如果不能解决问题,那么还可以采取手术治疗的办法。
如果您还有其他的疑惑,可以在下方留言,大家共同探讨。
参考文献
【1】Buckwalter JA, Mankin HJ. Articular cartilage. Part 1: tissue design and chondrocyte-matrix interactions. J Bone Joint Surg. 1997;79:600–11.
【2】Moskowitz RW, Goldberg VM. Studies of osteophyte pathogenesis in experimentally induced osteoarthritis. J Rheumatol. 1987;14(2):311–320.
【3】Hernborg J, Nilsson BE. The relationship between osteophytes in the knee joint, osteoarthritis and aging. Acta Orthop Scand. 1973;44(1):69–74.
【4】Oliveria SA, Felson DT, Cirillo PA, Reed JI, Walker AM. Body weight, body mass index, and incident symptomatic osteoarthritis of the hand, hip, and knee. Epidemiology. 1999 Mar;10(2):161–6.
【5】Fransen M, McConnell S, Hernandez-Molina G, Reichenbach S. Exercise for osteoarthritis of the hip. Cochrane Database Syst Rev. 2014 Apr 22;(4):CD007912.
【6】Hochberg MC, Altman RD, April KT, et al. American College of Rheumatology. American College of Rheumatology 2012 recommendations for the use of nonpharmacologic and pharmacologic therapies in osteoarthritis of the hand, hip, and knee. Arthritis Care Res (Hoboken) 2012 Apr;64(4):465–74.
【7】Daigle ME, Weinstein AM, Katz JN, Losina E. The cost-effectiveness of total joint arthroplasty: A systematic review of published literature. Best Pract Res Clin Rheumatol. 2012 Oct;26(5):649–58.
我是坚持用简单语言解释复杂疾病知识的谢新辉,码字不易,如果您赞同我的观点,请帮忙点个关注或点个赞吧,如果您或者是您的朋友、家人正在经历着骨刺的困扰,也请把这篇文章转发给需要的他们吧,谢谢了!
