做为一名牙周科医生,被这个话题快把耳朵听出了茧子。
今天也通俗地把这事儿说清楚。
【何谓“洗牙”?】
“洗牙”是临床治疗项目,医生称做“洁治”。
它是用于预防牙周病和其它口腔疾病的最基本而重要的手段!它更是牙周炎患者系统治疗过程中的第一步!
洗牙绝不是家庭美容!
打个岔(有些人是在外面美容院躺着去角质、贴面膜的时候顺带洗牙,我只能表示听了很惊悚!)
洗牙是医生用专用的治疗器械,把牙面上长期形成的坚硬的“脏东西”去掉。 这些东西的危害主要是引起牙周病和龋病等 。这些脏东西包括:牙石、色素、菌斑。
洗牙用的器械不是钻头! 绝不是靠“磨”把这些脏东西磨掉。而是最前方的工作尖能产生微小的震动,这种震动你肉眼看不到。同时器械前端还能“喷水”冲洗。
这些脏东西不是牙齿本身固有的结构,所以工作尖与牙石轻轻接触后,它们就能从牙面上主动脱落下来!
(说起来简单,真正做好可不容易)

这个大黑点就是清洗下来的牙结石
大块牙石和色素被清除下来后,长期形成了这么多脏东西的牙面是很粗糙的,或者还有少许的色素残存 。医生需要做下“牙面光洁”类的治疗 ,比如抛光,恢复我们牙齿最原本的表面状况。
其实这时候应该称作:看见了牙齿的真面目!!
做完这些,患者经常告诉我: “韩大夫,牙面变得光溜溜的了,很舒服!”
医生不是神,根本无力通过洗牙就“改变”牙齿发育形成的本来的颜色!
【为什么往往觉得洗牙后牙齿变白了?】
那其实是你本身牙齿就白白的挺好看的, 只不过长年形成的好多脏东西堆积覆盖在牙面上“显得”不够白而已! 所以洗牙后还原了本来小白牙的面貌。
拿清洗地毯举例,你能说是地毯颜色变了?只能说表面脏东西太多,清洗后看起来变白了而已,也只是暴露出了地毯原本的颜色。


换句话说,如果你越是洗牙后觉得牙变白了,恰恰说明你的牙面上的脏东西太多了尼!

洗完牙即刻拍的照片,患者自己觉得牙白了。

这位患者也觉得牙变白了,其实仅仅是脏东西没了
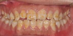
【釉质发育不良的牙齿能否洗白?】
比如氟斑牙、四环素牙等疾患,会引起釉质发育不良。牙面往往不是光滑、洁白的外观,不仅有些“横道”样的粗细不一的缺损,还有条状、斑片状以及整个牙冠内部的着色。

这样的外形和着色都是先天发育形成,决然不是后期沉积在表面的“脏东西”。
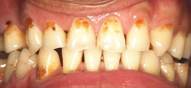
甚至于有些颈部龋齿患者,也“妄想”通过洗牙变白。

多发性颈部龋
我们洗牙后,只能去除牙石这些“脏东西”,露出你原本就存在的“不好看”的牙齿表面!
不可能把你的牙“变”白!!
【颜色偏黄的牙齿能否洗白?】
咱们牙齿正常的颜色是略微有点点偏黄的色调 ,真心不是A4纸的白色!!真要白成那样会吓死人的。
而且不同的人之间自然存在个体差异 ,所以相互一比较,牙色都有点不完全一样 。尤其是牙齿颜色也是和面部肤色相协调的。
因此,确实经常有人觉得自己“牙不够白”!
看下图,差不多的曝光条件下,可以看出这3位的牙冠颜色是略有不同的。但都是正常范围。

大家嘴里的现实版牙齿颜色
我也很羡慕那种漂亮的像泛着“珠光白”一样的漂亮的牙色啊,比如下面图里。

人人梦想版的皓齿,但是这颜色肯定美颜过!!
很多人非要纠结:明明是正常范围内的牙齿发育和颜色,非要想弄成电视里明星那种感觉的“白”牙。想通过洗牙把自己的牙“洗”白或者“变”白。
【黄牙怎么变白?】
你的这种永久“变白”要求,只能通过其它治疗手段达到。主要以下几类:
- “美白”类的治疗项目(详细以后再谈)。但是这类手段往往不能持久永远地“改变”牙齿外观,只能维持一段时间。
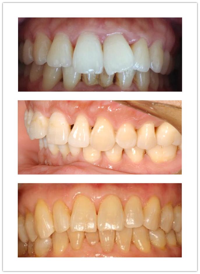
- “前牙美容性修复”类的治疗,这是通过制作一些修复体覆盖在原本你认为不好看的牙面上,达到你改善外观的目的! 比如很多人熟知的用于前牙美容的瓷贴面、瓷冠等等 。比如下面这位图中的患者,也是制做了瓷修复体,才得以彻底改变前牙难看的牙色的。

修复治疗前

通过修复治疗改善前牙的牙冠颜色和形态
对美的追求确实是无止境的
在临床上经常见到,牙齿颜色很好看、自然的美女 ,非要做成大明星“***”、“**”那么白的牙!
三思哪!
曝光灯下的白也许搁到生活中就不好看、不自然呢!
所以如果真心想做,还要和修复科医生仔细沟通,慎重的选择最适合你的牙齿的微创美容修复体。
绝不能“看谁谁做了挺白的,我也想做”。