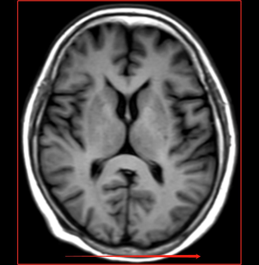
在磁共振扫描中,我们的相位编码通常设置在人体的短轴方向,为什么设置在短轴方向,因为相位编码在短轴方向上可以减少扫描时间,即使用部分FOV技术;

【图中左右方向为相位编码方向且使用矩形FOV】


【使用矩形FOV的目的是为了减少扫描时间,减少相位方向的矩阵也是为了减少扫描时间】
相位编码在短轴方向上还可以减少卷褶伪影,因为卷褶伪影最简单的理解就是选择的FOV没有把组织保全,如果选择在长轴就容易出现卷褶伪影;


【红框表示频率编码方向为前后,此选项可以甄别频率或者相位编码方向的选择是否正确】
所以说磁共振扫描时,我们把短轴方向设置为相位编码方向时好处多多,那我们是不是在脊柱矢状位扫描过程中也可以这样设置呢?大家感兴趣可以自己试一下。
在这里大家也可以在自己的设备上扫脊柱时做个测试,相位编码设置前后方向,频率编码方向设置上下方向,然后再扫描相位编码设置上下方向,频率编码方向设置前后方向。
因为脑脊液是流动的,在上下方向,需要加流动补偿技术,可以继续测试不同相位编码方向加流动补偿的图像效果。在前面看了北医三院赵强老师的视频之后,有老师留言说流动补偿技术还是不太理解,下面为流动补偿技术内容,内容来源于杨老师的磁共振成像技术指南。
什么是流动补偿技术
流动补偿(flow compensation ,FC)也叫梯度力矩消除(GMN),是利用特殊设计的梯度场组合来减少或消除流动伪影的技术,在层面或频率方向上施加一个对称的双极梯度,即FC梯度,使匀速运动导致的失去相位重聚,以此用来消除慢速流动的血液及脑脊液引起的流动伪影。注意:只对慢速流动的物质起作用。
流动补偿技术的作用:使匀速运动而发生失相位的质子相位重聚,由此消除CSF和慢速流动的血流引起的运动伪影。不适用于加速和快速流动引起的运动伪影,如心脏、腹部成像中大血管的影响。
流动伪影的产生:以SE为例,90度脉冲激发后,到TE时刻,180度聚焦脉冲前后的读出梯度场也是对称的,作用面积正好相互抵消,对于静止组织来说没有积累起来的相位偏移。但是对于沿着读出梯度场方向移动的组织(如流动的血液、脑脊液)等,情况则不同。由于在180度聚焦脉冲前后流动的质子所处的位置发生了变化,积累起来的相位偏移在TE时刻不能完全纠正,因此出现相位错误,这样在傅里叶转换时就会把这种相位偏移错误的当成相位编码方向上的位置信息,流体的信号就会出现在相位编码方向的错误位置上,成为流动伪影。
流动补偿的原理:流动带来的相位错误可以通过梯度场的特殊设计得以纠正。FC技术的梯度组合模式有很多种。常见的有“+1~—1”、“+1~—2~+1”、“+1~—3~+3~—1” 通过多次不同面积的正、反向梯度场的变换,各种速度流体的相位偏移最终都能接近于零,从而消除流动伪影。


流动补偿的临床应用:FC技术能够减少或消除的主要是沿着施加了FC梯度场方向上的流动液体造成伪影。在SE和GRE中,选择FC后,FC梯度场施加于层面选择、频率编码、相位编码三个方向上;而在FSE序列中,FC一般仅能在层面选择和频率编码这两个方向中选择一个方向施加。临床上,应该把FC方向设置为流体流动的方向,流动补偿才会起作用。另外,FC对于消除层面内流体引起的流动伪影效果较好,而消除垂直于层面的流体造成的流动伪影效果不甚理想。(1)在肝脏成像时, 在T1图像上可以鉴别病灶(较暗)和血栓(亮);(2)减少流动失相位造成的信号丢失,提高MRA的质量;(3)减少脑脊液流动伪影,在颅脑,脊柱成像时提高T2上脑脊液的信号;(4)减少血管流动伪影,特别是增强扫描时作用更为明显,例如在肝脏成像中减小血管搏动伪影。需要指出的是在施加了FC技术后,如SE序列和GRE所能采用的最短TE会不同程度延长,扫描层数也会减少,从而影响采集速度。因此在超快速的梯度回波序列中如Balance-SSFP、CE-MRA中一般不采用FC技术。当在脊柱成像中,频率编码方向和流动补偿方向均设置在前后方向上时,会在上下方向上图像的两端产生模糊,缺失伪影(产生Maxwell伪影);多回波扫描时,使用FC后只能进行双回波成像。
设置方法:
GE:参数调整界面“imaging options ”中选择FC技术

西门子:在“Sequence” 卡中选择FC技术,可选择设置的方向

飞利浦:在“Motion”卡中 选择FC项选择“Yes”

在脊柱磁共振扫描中,相位编码应该设置在上下方向,频率编码在前后方向,流动补偿技术施加在层面选择方向。

【当相位编码为上下方向时会产生化学位移伪影,压脂时此伪影消失】
来源:影像技术张春红
【版权声明】本平台属公益学习平台,转载系出于传递更多学习信息之目的,且已标明作者和出处,如不希望被传播的老师可与我们联系删除