长蛀牙后只能通过补牙,才能阻止继续龋坏。如果没有及时修复,牙齿会烂得越来越严重,后期还会牙疼的吃不下睡不着,直至牙齿只剩残根,或者掉牙。
补牙,有的人几十块就能补好,有的人却要1,2百,还有的更是高达1,2千甚至更高。一个小小的牙洞,却要几百上千的费用,不禁让人感叹:补牙也太贵了!

过来人表示:长蛀牙后,补牙也是有省钱门道的。如果不了解,要是有好几颗蛀牙,补完牙口袋得掏空。
当你有蛀牙时,在排除城市,医疗机构这两个大因素后,如果去补牙,这2个省钱门道要早知道,不要因为无知多花钱!
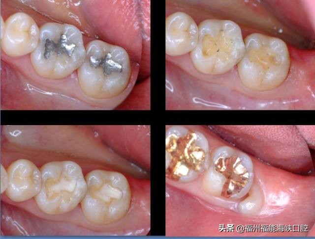
第一笔,补牙按颗算也按材料算,但价格差最大的在于龋坏程度!
长蛀牙(龋齿)时,材料费用虽然有差别,但用的材料一般性价比高且耐用,价格差能接受。价格差来源最大的地方在于龋坏程度不同,治疗修复方式不同。

龋齿的发展过程大致为:浅龋→中龋→深龋→牙髓炎、根尖周炎→牙髓坏死。

浅龋、中龋、深龋(未穿髓)一般用树脂补牙,当龋坏面积较大时,需选用嵌体修复。嵌体修复虽然贵一些,但更牢固耐用,价格差别也不算太大。

当龋坏到了深龋(穿髓)及更严重时,就要先做根管治疗,解决牙髓被细菌感染的问题。根管治疗后,再补牙,补完牙后还要戴牙冠,这一系列操作下来,从普通的几十、1,2百的补牙直接就上升到了1,2千甚至更高。

因此,第一个省钱的门道就是:一旦蛀牙马上去补牙,越拖就越贵。
第二笔,根管治疗补完牙后,需要戴牙冠,牙冠材料费用价格差比较大!
牙齿戴的牙冠有烤瓷牙和全瓷牙。烤瓷牙外层为瓷内层为金属,全瓷牙内外都是瓷。
很多人会被推荐用全瓷牙,全瓷牙具有不影响核磁共振,透明度高,不变色的优点,但整体上比烤瓷牙贵不少,而且烤瓷牙也有纯钛不影响核磁共振,不会导致牙龈边缘变色的。

烤瓷冠和全瓷冠都能很好地修复牙齿,延长牙齿的使用时间,完全可以根据自己的喜好和经济能力做选择,没有必要非得用全瓷牙。
对于不是前牙修复,且对美观要求没有那么高的人而言,烤瓷牙也很好。烤瓷牙在上个世纪就已经开始使用,其技术发展比较成熟,对大多数患者都是适合的。
因此,第二个省钱的门道就是:可以选择烤瓷牙进行修复牙冠,保护牙体。

福州福能海峡提醒: 蛀牙不可逆,要早发现早治疗!平时应该多了解一些口腔知识,免得多花钱还遭罪!