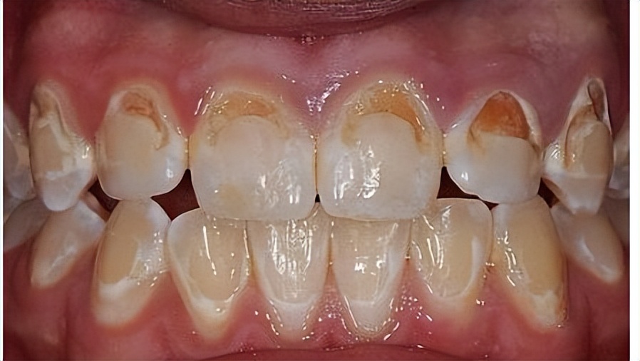
本来想着做完牙齿矫正后就是美美哒,但是当牙套拆下来的时候却发现牙齿黄黄的,部分人群甚至还出现了口臭,真的是欲哭无泪!

为什么矫正后牙齿会变黄,还会有口臭?
佩戴牙齿矫治器的时候进行口腔清洁是比较困难的,部分没有牙那么细心的人群在清洁口腔的过程中没有清洁干净,于是造成牙垢堆积,而一般矫正过程需要一年及以上,于是时间的牙垢堆积就容易造成牙齿发黄。

牙垢本身是有食物残渣以及组织细胞等物质组成,当堆积过多的时候就容易出现口臭的问题,同时,部分人清洁不到位,还可能因龋齿的问题而出现口臭。

别怕!矫正后牙齿变黄还有口臭,解决办法很简单!
牙齿矫正期间如果牙垢比较多,可以定期每年一次或者半年一次进行超声波洁牙,将沉积的牙垢清理干净,预防牙龈发炎。
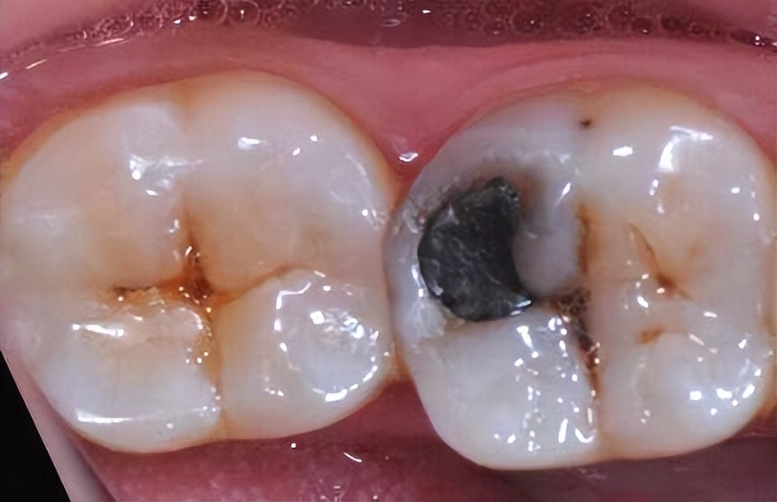
如果已经出现龋齿等问题,只需要进行补牙即可。
