很多人都羡慕明星有一口整齐洁白的牙齿,牙齿洁白整齐不但可以提升自信,还能让人看起来很年轻,拥有一口白白的牙齿才能更好的展现个人魅力。

图片来自网络
当你的牙齿暗黄难看的时候肯定是不爱笑的,爱笑的人运气也不会差,那么怎么才能拥有一口洁白的牙齿呢,我们大部分人根据不同原因的牙黄可以尝试一下这几种方法。
冷光美白
对于牙齿表面没有缺损龋坏,只是单纯的暗黄,比如随着年龄增长的牙齿变黄,或者自觉牙齿不够白想更白一点的人
进入口腔的外来色素或口腔中细菌产生的色素沉积在牙面称为牙齿外源性着色,对于外源性牙齿着色的牙齿最好办法就是 牙齿冷光美白 。
冷光美白的原理是通过美白凝胶与牙体发生氧化还原反应置换出牙体内沉积的色素,从而使牙齿变白,可分为家庭套装以及医院诊室套装。
家庭套装市面是太多太多,大家根据情况购买。不放心的可以去医院做诊室套装,效果更好。

美白前

美白后
优缺点:
优:不损伤牙齿,价格适中,不算太贵
缺:不同年龄不同牙体特质效果不一样,美白后效果不是永久,大约保持一年半到两年之间。
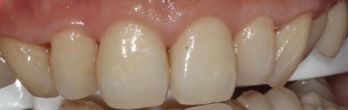
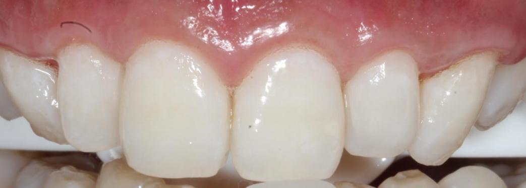
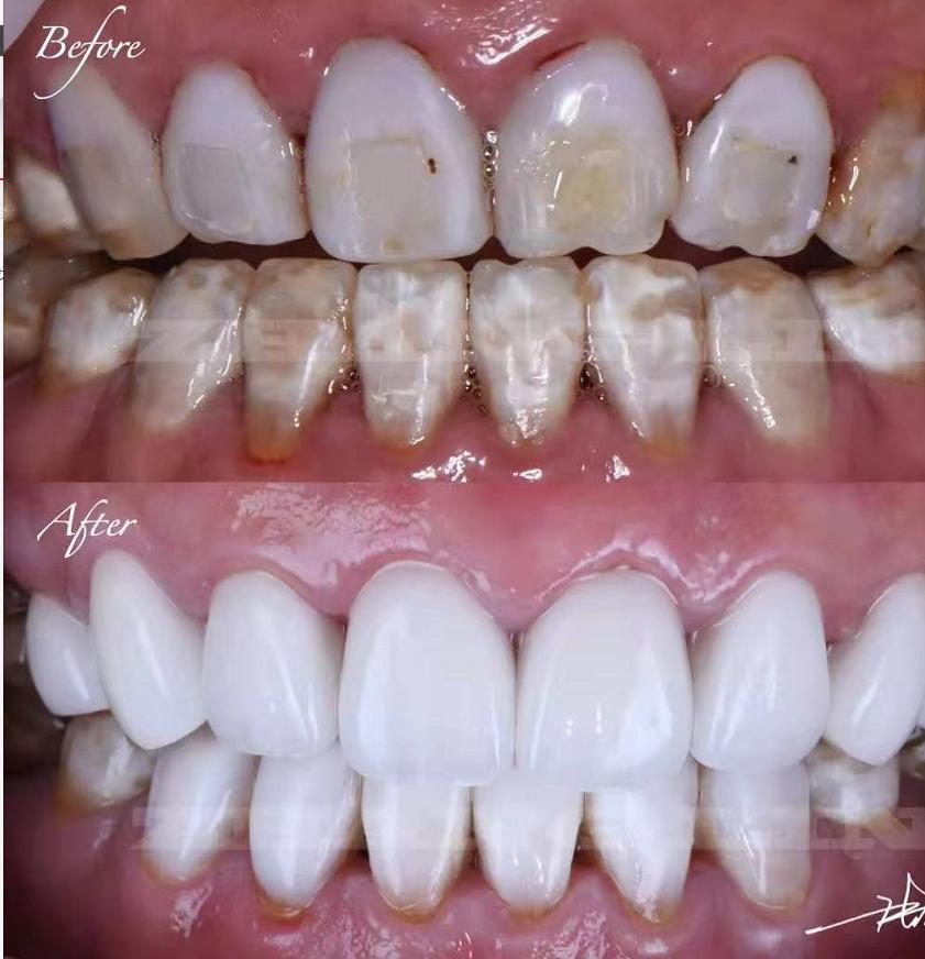
贴面or全瓷牙冠
对于有氟斑牙或者四环素牙的朋友,冷光美白已经解决不了问题了。还想要牙齿变白的话,只能做贴面或者牙冠了。我们看到的明星大部分都是做的这个。
贴面可选择瓷贴面或者树脂贴面,树脂贴面的美学性能会差一点

病例来自遵义张林老师
优缺点:
优:美白效果好,效果永久,可根据自身选择牙齿白的程度
缺:需要磨除部分牙体,价格偏贵
洗牙
最后,如果你是单纯的口腔卫生保持的不好,导致大量的色素沉积在牙面才让牙齿看起来很难看,简单的洗牙就能解决问题。
洗牙好不好?可以看一看置顶文章。