病史摘要
男性 55岁
主诉: 全身皮肤黄染伴上腹部不适一月余,无发热、腹泻等症状,体重减轻。
CT平扫: 胰头部肿大,占位?胰腺炎?
肿瘤指标: Ca199 766(0~35);CEA、AFP、Ca125均正常。
血液生化: 肝吸虫IgG抗体(+),大便虫卵(-);IgG、A、M等抗体、C3、4补体正常;IgG3、IgG4、胰腺淀粉酶未查。
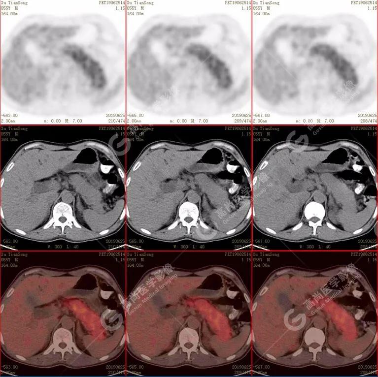
PET/CT全身图


胰腺肿胀、密度均匀,代谢弥漫性不均匀增高,SUV最大值5.2 平均值4.0

(点击图片可查看大图)
【PET/CT表现】
(1)胰腺轻度肿胀,胰腺体尾部胰管狭窄,未见明显占位性病变,代谢弥漫性增高。
(2)胰周(胰胃间隙)稍大淋巴结,代谢增高。
(3)全身其它部位未见明显高代谢恶性肿瘤征象。
PET/CT诊断
自身免疫性胰腺炎,伴胰周淋巴结炎性增生。
临床诊断
临床实验室检查及术后确诊自身免疫性胰腺炎。
自身免疫性胰腺炎(AIP)
自身免疫性胰腺炎(AIP)是一种由自身免疫机制介导的、以胰腺肿大和胰管不规则狭窄为特征的一种特殊类型的慢性胰腺炎,约占慢性胰腺炎的5%~6%。又称为淋巴浆细胞硬化性胰腺炎、非酒精性胰管破坏性慢性胰腺炎或慢性硬化性胰腺炎。常合并其他自身免疫性疾病。
临床表现
•多见于50~70岁男性。
•临床上多无明显或仅有 轻微 症状,可有 轻微腹痛,周身不适 、 乏力,恶心 等非特异症状。 阻塞性黄疸 是其常见表现(40%),大多是因为胰腺头部炎症导致远端胆管狭窄所致。体检 多无阳性体征。
•一般通过 激素治疗一个月后 胰腺形态都可恢复正常。
AIP病理
胰腺内有 大量淋巴细胞、浆细胞浸润及纤维组织增生 ,基本 沿 主胰管及较大/中等大小的小叶间 导管分布 。进而造成胰管不规则 狭窄 。
病变区管径较大的小静脉可出现与胰腺导管相似的病理改变,并可导致静脉管 腔 闭塞。累及胰头部的病例胆总管胰腺段可出现管壁增厚和管腔不同程度狭窄,但 黏膜面较光整 。
诊断标准
(1)影像学检查提示 主胰管弥漫性不规则狭窄 (长度>1/3主胰管)以及胰腺 弥漫性肿大 。
(2)实验室检查提示血清γ球蛋白和/或IgG升高,或自身抗体阳性
(3)组织学检查发现胰腺淋巴细胞、浆细胞浸润及纤维化。
(4)激素治疗有效。
诊断标准: (1) +(2)/(3)/(4) 任意一条
AIP影像学表现
•ERCP/MRCP显示主胰管多发不规则狭窄;胆总管胰内段狭窄,但较光滑,近端胆管不同程度扩张。
• PET/CT:多呈弥漫性代谢增高,少数呈局灶性结节状高代谢灶。
•CT:胰腺体积 不同程度弥漫性肿大 ,密度减低或正常,增强扫描动脉早期强化低于正常胰腺,延迟期 均匀一致强化。胰周脂肪间隙多数清晰 ,少数可见少量条状异常密度或信号(轻度炎性反应)。
•常合并其他自身免疫性疾病(腹膜后纤维化),全身或局部淋巴结肿大、浆膜腔积液等。
•经类固醇激素治疗后,胰腺形态和实质的强化有明显改善,多数可恢复正常。
鉴别诊断
鉴别诊断:AIP主要与急性胰腺炎和胰腺癌鉴别 。
(一)AIP与急性胰腺炎鉴别
(1)相同点:
AIP和急性胰腺炎均可表现为腹痛及胰腺弥漫性肿大,代谢增高。
(2)不同点:
AIP腹痛等临床症状轻微或无症状,消瘦,IgG4升高,可合并糖尿病和其他脏器自身免疫性炎症。
急性胰腺炎则有暴饮、暴食病史,起病急,腹痛等临床症状较重,体重正常,可伴发热、白细胞及胰腺淀粉酶升高,胰腺密度多减低且伴胰周渗出明显。
(二)AIP与胰腺癌鉴别
(1)相同点:两者非常相似,在腹痛、体重下降、黄疸、CEA或Ca199增高水平方面无统计学差异。均可表现为胰腺弥漫性肿大。
(2)不同点:
胰腺癌:多轮廓不整、密度不均,可见多发或局灶性低密度占位,增强扫描为不规则单发或多发低密度乏血供肿块,肿瘤远端胰腺萎缩、胰管扩张及周围血管受累,常伴灶周/远处淋巴结转移。
AIP:胰腺轮廓规则,体积多均匀肿大,无明显低密度占位,无远处转移,增强扫描均匀一致强化,若为局灶性AIP则增强早期强化低于周围正常胰腺组织,延迟期均匀一致强化。
(3)鉴别困难时,可结合类固醇激素实验性治疗,必要时结合血清IgG4水平做出分析。
治疗
治疗原则: 标准治疗方法是 激素治疗 ,可 辅以内镜及手术治疗 。
药物治疗 :局灶性AIP较弥漫性AIP复发更多,复发时可再次激素治疗,也可用对激素治疗无影响的免疫抑制药物。急性期要给予进食,高热量静脉输液,抗胰酶制剂治疗。缓解期药物可静脉和口服交替使用,胰腺进行性萎缩时胰腺的外分泌功能低下,可给消化酶治疗。
内镜治疗: 急性期由于胰腺炎症末端胆管变细,胆汁流出不畅,在内镜下进行内造瘘术和外造瘘术,以改善肿大的胰腺。
外科手术治疗: 多于胰腺结石和难治性疼痛及合并假性囊肿时进行,此外与胰腺癌鉴别困难或肿瘤形成性胰腺炎也应手术探查。
作者简介

王鹏龙 DR.WANG
主治医师
广州市医师协会核医学与分子影像医师分会委员
曾就职于湖北宜城市人民医院、广州中医药大学金沙洲医院,2018年至今就职于高尚医学影像中心,从事CT及PET/CT等影像诊断工作十年余,主要负责核医学科PET/CT报告诊断、科室管理及教学工作。曾多次在中华医学核医学会议发表文章。经验丰富,有较强处理疑难问题能力。
擅长项目: 擅长各种常见病及肿瘤的影像(CT及PET/CT)诊断,对于胸腹部实体肿瘤的诊断也有个人的独到见解。
武汉高尚医学影像是高尚医学影像集团旗下独立第三方医学影像诊断中心。按照三甲医院级别打造,建筑面积7000多平米。中心以专业的影像技术和进口的医学影像设备为支撑,拥有一支来自三甲医院的主任、教授组成的素质过硬的专业人才队伍,并聘请了多名盛名医学影像诊断主任作为长期技术指导。
中心设有核医学科(PET/CT-MR)、放射科、超声科等,开展肿瘤和心脑血管疾病以及神经、呼吸、消化和骨关节肌肉系统等疾病的早期诊断和疑难病会诊。在毫米级影像诊断的保障下,定制个性化的疾病早期深度筛查,是华中地区的专业医学影像诊断机构。中心始终秉承“医疗质量为本,品质呵护健康”的服务理念,以精准医学为标准,倾力打造医学影像诊断品牌。