冠状动脉循环
心肌由左冠状动脉及右冠状动脉供血。前者供应大部分左心室;后者供应右心室,通常也供应左心室下壁。尽管存在变异,但大多数情况下,符合这种解剖学特征。其分支血管变异较多。通过冠状动脉CT成像观察冠状动脉的分布情况尤为重要,对于随后进行心肌灌注显像或有创性冠状动脉造影(ICA)检查具有指导意义。
(一)解剖学术语的注释
对心脏及其相关结构是根据“Valentine”位置来进行描述的,即从心尖观察。这种描述常常并不能反映该组织结构在人体内的真实位置;例如,左心室实际位于右心室的后面,因此更恰当的名称应该是“后心室”。
目前已有约定俗成的命名原则,虽然这看起来可能并不重要,但规范的命名却与先天性心脏病(CHD)的诊治密切相关,因为先天性心脏病患者的冠状动脉与心脏之间往往缺乏正常的对应关系。
(二)冠状动脉优势型
心脏的下壁由冠状动脉后降支(PDA)供血。PDA在85%~90%的个体中由右冠状动脉(RCA)发出,在10%~15%的个体中由左旋支发出。发出PDA的动脉称为“优势动脉”。在约1%的个体中,右冠状动脉及回旋支均发出PDA,此时称为“均衡型”冠状动脉。
评价心功能及灌注结果时,冠状动脉优势型是很重要的信息。下壁缺血可能反映左旋支或RCA梗阻性病变。此外,如果非优势性的RCA存在梗阻性病变,且其对左心室心肌供血范围很小,可采取保守治疗。在所有的报告中均应明确冠状动脉优势型。
冠状动脉开口及左冠状动脉
(一)冠状动脉开口
2个冠状动脉开口均应位于窦管(ST)交界10mm以内的范围,该范围之内的变异属正常变异。如冠状动脉开口位于ST 交界上方或下方>10mm,则分别为开口过高与开口过低。
冠状动脉起源于最靠近肺动脉的主动脉窦。可从位于远离肺动脉主干的主动脉窦,面向肺动脉的方向观察,从而定义左、右冠状动脉。此时,位于观察者左手方向的冠状动脉是左冠状动脉,另一支血管则为右冠状动脉。这一规则(Leiden规则)也适用于先天性心脏病的情况,可确保在特殊情况下也获得一致的冠状动脉命名。
(二)左心冠状动脉
冠状动脉左主干(LMS)通常起源于左冠窦,位置低于RCA开口平面。通常在左心耳及肺动脉主干之间走行约1~2cm后分为LAD及左旋支(LCX),LAD在前室间沟内向下延伸至心尖(图13-1),LCX在左房室间沟(LAVG)内向后走行(图13-2)。

图13-1 左前降支(箭)起自左主干分叉处,并在前室间沟(虚线)内走行,为前壁、心尖部及大部分室间隔供血
AO.主动脉;PA.肺动脉;RV.右心室;LV.左心室

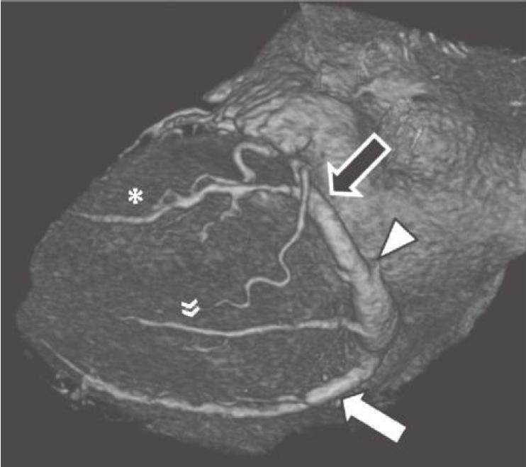
图13-2 左旋支(箭)起自左主干分叉处,并沿LAVG(虚线)走行,为左心室侧壁供血
AO.主动脉;PA.肺动脉;RV.右心室;LV.左心室
左心室前外侧壁由LCX分支(钝缘支)供血,LAD动脉通过对角支向心肌供血。将冠状动脉分支按数字排序命名,以距离最近的分支为“第一”(例如,第一对角支),以此类推。在约1/4的个体中,左主干分叉处可见第三条分支,位于LAD与LCX之间,称为中间支,为左室前外侧壁供血。LAD发出间隔支,为室间隔的前2/3供血。
右冠状动脉
通常,RCA自右冠窦前方发出后在右房室间沟(RAVG)内向前然后向下走行,到达心脏的后方(图13-3及图13-4)。

图13-3 RCA(白箭)起自主动脉的前部,并沿RAVG(黑箭)走行。图中还可见位于前室间沟内(箭头)的LAD
AO.主动脉;PA.肺动脉;RA.右心房;RV.右心室;LV.左心室

图13-4 RCA优势型,RCA绕过右心缘,在RAVG的下方发出后降支(箭),并走行于后室间沟(虚线)。心中静脉(箭头)也在后室间沟内走行
RCA.右冠状动脉;RV.右心室;LV.左心室
RCA近端分支为圆锥支,绕行在右心室流出道周围。圆锥支及窦房结动脉(另一个近端分支)为右心室流出道、右心房及窦房结供血。有时,这些分支也可能直接起自右冠窦。在右心室缘,RCA通常会发出一条锐缘支,为右心室前壁(或游离壁)供血。
当冠状动脉为RCA优势型时,RCA可走行至RAVG的下部,并发出走行于后室间沟的后降支。在约50%的RCA优势型人群中,还有一条明显的后外侧支,沿LAVG的下半部分走行,供应左心室下外侧壁心肌。这一分支还可能为二尖瓣的下间隔乳头肌供血,因此对其进行准确识别尤为重要。
心脏静脉系统
人们对心脏静脉解剖的认识仅次于对冠状动脉解剖的认识,后者通常因其在冠状动脉介入诊疗方面的作用而更受关注。认识心脏静脉解剖变得越来越重要,尤其是在对需要双腔起搏器植入的患者进行诊疗时,其作用更为显著。CCT越来越多地用于选择合适的心脏静脉来置入左心室起搏器电极。冠状动脉CT血管成像需动脉期注射对比剂,因心脏静脉直径较大且位于心外脂肪内,所以能够也很容易地观察到。
与冠状动脉相比,心脏静脉的解剖变异更为显著。下文所述仅作为个体病例心脏静脉命名的指导。
解剖分类
对于心脏静脉系统的变异,其分类系统众多。其中一种简单的方法是将心脏静脉分为以下几部分。
★ 冠状窦及其属支:引流左心室及右心室下部。
★ 心脏前静脉:引流右心室前壁及前外侧壁,可单支直接汇入右心房或多个静脉交汇后汇入右心房。
★ 心最小静脉:引流心内膜下部分心肌,直接开口于4个心腔中的任意一个。
简而言之,心脏静脉是根据其引流心外膜下左(冠状窦及其属支)、右(心前静脉)心室或心内膜下(心小静脉)区域来命名的。
CCT最常用于评估冠状静脉窦及其属支。但影像学在评估心前静脉或心小静脉方面无明确作用。
冠状窦及其属支
(一)解剖
★ 冠状窦为心脏大静脉的延续(图13-5)。
★ 以下两者位于左房室间沟(按照定义)。
✓ 左心房斜静脉与心大静脉交界处。
✓ Vieussens瓣:分隔心大静脉与冠状静脉窦的静脉瓣,通常位于静脉跨过左心室边缘处。

图13-5 心脏底面观
冠状窦(黑箭)接收来自左心室下静脉(双箭头)的血流。心中静脉(白箭)走行于后室间沟,汇入冠状窦。心小静脉同样可在右房室间沟内显示(单箭头)
在实践中,可能很难界定以上2 个概念。左心室边缘常用来定义冠状窦静脉窦的起始。
★ 冠状窦开口于右心房。
★ 尽管冠状窦大多呈椭圆形,但其变异仍较大。
★ 心力衰竭时冠状窦扩大。
(二)临床重要性
冠状窦是双腔起搏器置入左心室的标记点,也是与射频消融治疗相关的重要部位。应对冠状窦的大小、位置及与邻近冠状动脉的关系进行评估分析。
(三)心大静脉
★ 心大静脉为前室间静脉的延续。
★ 心大静脉走行于左房室间沟(图13-6及图13-7)。
★ 大部分心大静脉位于左旋支的浅层,但也可能位于深层。
★ 心大静脉汇入冠状窦。

图13-6 前室间静脉(白箭)从心尖至心底走行于前室间沟,穿过肺动脉主干(PT)及左心耳(LAA)进入左房室沟,成为心大静脉(黑箭)

图13-7 心脏左侧面观,心大静脉(黑箭)接收来自左缘静脉(*)的血流。将左心房斜静脉(箭头)与心大静脉的汇合处定义为冠状窦的起点,冠状窦接收来自左心室下静脉(双箭)及心中静脉(白箭)的血流
(四)前室间静脉
★ 前室间静脉起源于前室间沟,通常位于心尖部(图13-6)。
★ 尽管前室间静脉通常走行于肺动脉主干与左心耳之间,但在其离开前室间沟的位置常见变异。
★ 前室间静脉从左侧进入左房室间沟后,成为心大静脉。
★ 前室间静脉接收来自左心室远端的静脉血流。
(五)心中静脉
★ 心中静脉走行于后室间沟(图13-5、图13-7及图13-8)。
★ 心中静脉接收来自心底面以及室间隔大部的静脉血流。
★ 尽管心中静脉通常汇入冠状窦,但也可直接与右心房沟通。

图13-8 心小静脉(箭头)位于右房室间沟邻近右冠状动脉(黑箭),心中静脉(白箭)位于后室间沟
(六)心小静脉
★ 心小静脉走行于右房室间沟下部(图13-7及图13-8)。
★ 心小静脉接收来自右心室膈面的静脉血流。
★ 心小静脉汇入冠状静脉窦。
(七)心脏静脉属支
★ 心脏静脉属支的解剖变异较大。
★ 左(或钝)缘静脉最常见,接收左心室前外侧壁的静脉血流,而后汇入心大静脉(图13-6)。
★ 左心室下静脉引流左心室下侧壁,并终止于在冠状窦(常见)或心大静脉(少见)(图13-7)。
★ 左心房斜静脉沿左房下侧壁走行,常位于左肺静脉与左心耳之间。临床上,将左心房斜静脉与心大静脉的汇合处定义为冠状窦起始部(图13-6)。然而,左心房斜静脉是胚胎期左侧上腔静脉系统的残留;因此,可能表现为永存左上腔静脉。
(张楠 梁俊福 译,徐磊 校)
购买链接