第一次听闻身边人说自己有口臭时,张哥还在上学,可他从来没闻到过自己嘴巴里有异味,于是将口臭的锅推给早上刷牙没刷干净,不认为是什么大事。
随着年龄增长,已经33岁的他逐渐发觉到,自己口臭的毛病似乎愈发严重了,为了防止尴尬,每每谈业务期间,都不得不吃口香糖掩盖嘴巴的味道。最近正处疫情期间,需要长时间戴口罩,张哥终日浸润在自己的口臭中,“忍无可忍,简直快被熏吐了!”张哥如是说到。

相信不少人都与张哥一样,面临着口腔异味问题,尤其如今疫情当前,很多人不得不长时间佩戴口罩,解决口臭这个问题就显得更为迫切。
口臭是一种不痛不痒的口腔症状,人在精神紧张、睡眠不足、饥饿时,因口腔唾液分泌减少,便有可能会造成口臭,这种口臭是口腔清洁不到位造成的。当然,如果口腔中有牙结石的沉积,同样会造成口腔异味。
这时不免有人会感到疑惑,自己明明已经按时认真地刷牙了,为什么口腔中还是有牙结石沉积呢?牙结石到底是什么?

一、牙结石是怎么形成的?
牙结石是附着于牙齿表面的钙化或部分钙化的物质,它的沉积速度、累积量都是因人而异的,这与每个人唾液中的钙、磷物质含量有关,或是饮食习惯息息相关。
牙结石的形成主要包括以下三个阶段:
1、第一阶段:形成牙菌斑。
我们每个人的口腔内都有很多细菌,进食后,一部分的食物残渣残留在了食物表面。食物残渣是于细菌而言是极好的养料,于是乎,细菌迅速繁殖扩增。食物残渣与细菌相混合,就形成了牙结石的幼年阶段:牙菌斑。若未及时清洁处理,两小时后,牙菌斑的数量将呈指数性增加。所以说,进食后及时刷牙、漱口是非常有必要的。

牙菌斑镜下图
2、第二阶段:牙菌斑钙化形成牙结石。
细心的朋友或许能发现,牙齿上有时会黏附一层软软的白色牙垢,轻轻一刮就下来了,所以在牙垢还未成型时,及时刷牙还是能防止牙结石的出现的。可若其未被及时清洁处理掉,那么它就进入了下一个阶段,形成初始牙结石。这一时期,唾液中的钙盐与牙菌斑相互反应,牙齿表面的牙菌斑被逐渐钙化变硬,而后,口腔喜提一块新生的牙结石。
3、第三阶段:牙结石矿化。
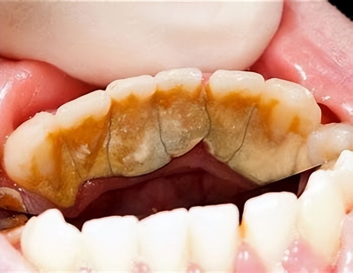
初始的牙结石成型后,便很难通过刷牙处理掉了,它会沉积于牙齿表面。日积月累,周而复始下,它越积越厚,越来越硬,最终形成了肉眼可见的大块牙结石,呈现黄褐色,附着于牙齿表面。随着牙结石不断变大,在这个过程中,它可能会压迫、损伤到牙龈,致其出现水肿、出血等不良情况。

二、牙结石有什么危害?
1、影响美观。
牙结石附着于牙齿表面,每当微笑或说话时,呈黄褐色的牙结石便随之漏出,影响他人对自己的印象,进而一定程度上影响自己的社交与美观。
2、引发口臭、牙龈出血。
牙结石是牙菌斑最好的停留部位,是细菌生长的温床,菌斑越积越多,且非常难以清洁。最后造成口腔异味,口罩蒙面下,很多人便有了难言之隐。
另外,细菌在代谢增殖的过程中,可能会产生一些毒素,对牙龈造成局部刺激,造成牙龈炎,牙龈会出现红、肿、热、痛这些炎症的典型病况。其次,局部刺激还会使牙周袋内壁发生溃疡,伤口难以愈合,反反复复之下,患者就会出现牙龈出血感染加重的状况。

3、发展成为牙周炎。
随着牙结石的积累,其对于周边组织的侵犯愈发严重,不断刺激下,牙龈炎便逐渐演变成为牙周炎。牙周炎一旦形成,便很难彻底根治。这个时期,牙龈除了红肿出血,还会不断萎缩,牙齿变得松动易脱落,严重影响患者的咀嚼功能。牙口不好了,患者就会食欲不振,营养摄入不足了,最后又将影响患者身体健康。
这就像多米诺骨牌一样,环环相扣。若不把好齿间关,而后必将关关难。
三、如何对付牙结石?
关于如何预防或清理牙结石,以下两个方法是不少人的选择。
1、早晚刷牙。
都说防患于未然,牙结石也不例外,养成良好的口腔卫生习惯,是预防牙结石形成的第一步。及时刷牙,保持口腔清洁,能有效抑制牙菌斑的形成,所以说掌握正确的刷牙方法具有非常重要的作用。早晚刷牙,特别是睡觉前的仔细刷牙,刷牙后就不要再进食啦。
刷牙时注意用竖刷法刷牙,避免用力的横刷,时间不宜过短,2—4分钟为宜。另外,刷牙有助于按摩牙龈,促进牙龈内的血液循环,从而一定程度上提高牙周组织的抗病能力。

2、定期前往口腔医院进行洁牙。
已经形成的牙结石十分牢固,单靠日常刷牙是不足以将其清除的。它附着在我们的牙齿表面,并不安分,到处作乱,常见的牙龈出血、牙龈炎、牙周炎等牙龈问题都与它脱不了干系。对于龈上结石,一般通过超声波洗牙的方式,使其与牙体表面分离。
龈下结石就需要用到手工器械去除了。另外还要注意的是,洗牙切忌太过频繁,一般1—2年洁牙一次就可以了,过于频繁易损伤到牙釉质,到时候得不偿失。
除了以上两种方法外,还可以用饮食调理的方法预防牙结石。饮食讲究粗细搭配,适当食用富含纤维素的粗糙纤维食物,像芹菜、花生米等食物,可以适量多吃。
少吃太甜、太黏的食物,像麦芽糖这种又甜又黏的食物,平时能少吃就尽量少吃。

保持口腔清洁,早晚刷牙,餐后漱口,是防止牙结石的第一步。而后,还要定期检查口腔,多吃富含纤维素的粗糙性纤维食物,少吃糖。医生建议,至少要两年进行一次洁牙治疗,及早将齿间的牙结石处理干净,以防其继续发展壮大,作威作福。