
现在人们经常提到的检查一次接近万元的是PET,虽然也算是一种ECT,却并非通常的ECT.。
有点乱?
因为这原本就是一个复杂的问题,牵扯几种医学成像技术和设备,包括CT、ECT、SPECT和PET,以及SPECT/CT、PET/CT.,PET/MR。但是,再复杂也可以归于最简单,那就都是照相技术,只不过采集的“光源”——光子源不同,所使用的设备和技术存在差异。
霸道CT
CT已经几乎是一种人尽皆知的医学检查。但是,CT这个词却很是霸道,因为CT原本仅仅是“Computed tomography”计算机处理的断层成像这种技术方法英文的简称,而不是某种具体设备的和检查。这种技术的优势是可以通过多角度信息采集再经计算机处理重建一个断面的图像。就好比我们用照相机给一个西瓜拍照,拍到的仅是反射光源的2D平面的图像,就好比临床上常拍的平片(透射照片)。

但是,多角度拍摄采集到的信息进过计算机计算处理后就可以重建某一个特定切面的图像,就像拿刀把西瓜切开再照相一样。

现代医学上常用的几种成像检查,包括CT、MRI(磁共振成像)和ECT都是通过“Computed tomography”技术重建的3D图像,因此都是属于CT。
但是,现在临床说的CT却是特指X光CT。X-CT成像技术所采集的光子源——X射线是使用被称为球管的X射线发生器制造的光子束,采集的信息是X光穿过人体没有被组织吸收的部分,因此反应的是不同组织对X光的吸收即组织的密度,因此,应该成为透射式CT(TCT或XCT)。

由于采集信息量大、对比度好等可以生成高清晰图像,在临床上应用早、广泛而且诊断意义巨大,因此,就独霸了CT这个简称。
夹缝求生ECT

ECT是发射式计算机断层成像(Emission Computed tomography)的英文简称。同样是CT成像,与X-CT的不同在于其采集的光子源是由被引入体内的放射性同位素发射出来的γ光子。γ光子射线是向各个方向随机发射的,然后由体外γ照相机采集,因此称发射式CT。
引入体内的放射*药性**物可以是放射性同位素元素比如碘131、碘123;也可以采用化学反应方式将同位素取代化合物中同种元素或者将同位素外挂到化合物上,这称为标记技术。
放射性同位素或者标记的药物不改变原来药物的性质,被引入体内可以反映人体生理功能,因此,ECT成像也称为功能成像。比如,使用放射性碘就可以反映甲状腺对碘的吸收、聚集功能,实质上反映的是甲状腺的功能。再比如,使用锝99m标记红细胞就可以反映体内动态血流功能,比如进行心脏和肾脏血液灌流检查。
ECT由根据使用的放射性元素发射γ光子的方式和种类的不同分为单光子发射式计算机断层成像(single photon emission computed tomography,SPECT)和正电子发射式计算机断层成像(Positron Emission Tomography,PET)。
同样由于约定俗成的原因,临床上通常说的ECT是特指SPECT,而并不包含PET。

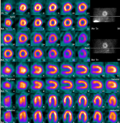
SPECT使用的放射性同位素发射的单γ光子是随机向各个方向发射的,要确定某个γ光子发射的位置,需要采集一定方向性的光子束。那么就需要屏蔽掉其他所有方向的光子,这称准直技术。上图的SPECT采用的屏蔽准直,就是使用带有很多小孔、具有一定厚度的显示黄色屏蔽板,只允许与这些小孔平行的光子通过被γ照相机捕获,其他方向的则被屏蔽掉。
这样,采集的信息量就有限,加之其他技术上的缺陷和难度,SPECT图像分辨率清晰度显著低于CT和MRI,临床上的应用受到极大限制。

图示:SPECT心肌血流灌注断层成像可以用于冠心病心肌缺血和心梗诊断
因此,虽然研发和最早的临床使用早于CT,使用范围和接受程度十分有限,只能在众多成像技术的夹缝中艰难生存。
医学成像技术中的贵族PET

同样是ECT成像,PET虽然称正电子发射式计算机断层成像,但是采集的信息仍然是γ光子。PET成像使用的放射性同位素发射的正电子湮灭可以发射能量是能量为511千电子伏特(KeV)、方向相反的γ光子对。这样,只需要在180度方向上放置两个γ照相机同时测定到光子对就可以确定这个光子对发射“井”的位置,其他的光子则被认为是无效而废弃,这种技术称为电子准直。

电子准直技术大大提高了有效光子的采集效率,因而,PET成像的对比度分辨率都显著高于SPECT。而且,PET常用的同位素C11、F18等可以很好的标志葡萄糖、蛋白质、核算等生物活性分子物质,因此可以反映人体血流、代谢、功能等信息,因此也被称为功能成像,分子成像。因而,PET成像在医学研究和临床都具有其他检查不可替代的优势,比如脑代谢成像,原发及转移癌症的成像等。尤其是用于癌症检查已经被广泛接受。
但是,由于使用的放射性核素需要使用回旋加速器制备,一套PET设备其实就是一个医学中心,需要投入大量资金和高层次人力资源,因此这种检查十分昂贵,是目前所有医学检查中最贵的。长期以来,每次检查国内价格一直大致在万元上下。
评论中很多网友说自己检查费用在7000~10000范围,指的都是PET检查,或现在更常用的PET/CT(派特CT),而不是SPECT。后者检查项目众多,收费便宜的多,一般在几百到千把之间。
SPECT/CT、PET/CT、PET/MR

如前所述,ECT成像的对比度分辨率远低于CT和MRI,为了提高这种成像对于病灶的定位能力,现在临床上使用的通常是ECT与CT合成在一起,称SPECT/CT和PET/CT,尤其是PET/CT,更有将PET于MRI合体的PET/MRI。

图示单纯SPECT全身骨扫描与SPECT/CT全身骨扫描图像的对比。

癌症全身骨转移SPECT(左)、PET/CT(右)成像对比。
当然,PET/MR,PET/CT一体机检查成本更高费用也就更昂贵。
