这是你吗?



上次这篇「那些该拔不拔的智齿最后都咋样了?」里做了个小调查,阻挡你去拔智齿的原因是什么。
结果,意料之中,47%的小伙伴选择了怕疼。





拔过的同学说法也不太统一,有的当天就去吃了火锅,有的都过去半个月还是疼到哭,咋回事?



有没有一个方法能降低拔智齿疼痛指数的?今天就分别从拔之前拔牙过程中拔牙后三个方面来给大家支支招儿。
一、早拔就没那么疼了
拔得晚了,反复发炎和牙槽骨粘连了,疼。

拔得晚了,智齿把牙顶歪,再来个正畸,钱包和牙都疼。

要不怎么建议大家高考完就去拔智齿呢,想想你十八九岁时,多数人的智齿牙根发育还未完全,这时候拔智齿既不会伤及神经,又赶在智齿把整齐的牙齿挤歪之前。
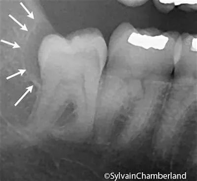
智齿刚萌出时的牙周膜时牙周膜对智齿“抓”得还没那么牢固,再加上周围骨质较松,拔牙时骨阻力较少。欣赏一下整齐的、牙根尚未发育完全的智齿↓

医生拔得轻松,你也恢复得更快。18岁的牙根 vs 28岁的牙根↓

二、选对方法就没那么疼
有条件的就选择微创拔牙,传统拔牙是以“锤、劈、敲”等方式进行,近几年随着口腔外科微创理念的不断发展,拔牙技术和器械的不断革新,微创拔牙应运而生,大大减轻患者拔牙时的痛苦。
由于微创拔牙器械的薄而锋利,可以快速而准确地切断牙周膜,保护牙槽骨的完整性,手术损伤小,术后疼痛轻,创口愈合也比传统拔牙后恢复得快。

微创拔牙尤其适合对付各种智齿↓


三、拔的过程中疼了你就叫
一般拔牙过程是不怎么疼的,因为有麻药嘛。麻醉的目的就是为了——不疼,如果拔牙时感到疼痛,千万别忍着,只要你不出声,牙医会自动默认你是不疼的。

疼就惨叫,不疼咱就别叫了,麻药虽然管够也有头不是。医生get到你的意思后会帮你补麻药的。
怕打针的还可以进行表麻↓


表麻膏,是用于粘膜表面的麻醉,拔松动牙,乳牙为主,直接涂抹使用。如果害怕打针,可以先涂一点表麻膏再打针。

四、要想术后舒服,选对医生
最后也是起到关键作用的建议,想降低肿痛概率,最有效的方法就是找个经验丰富的专业医生和认真负责的团队。精湛的技术加一流的围手术期管理,可以把术后肿痛降到最低。
手术切口大疼还是小的疼?

钻骨头的时候,由于操作不熟练手机把软组织卷进去疼不疼?

拔牙窝暴露时间长了发炎了疼不疼?

五、个体差异,没辙
还有一种无法避免的情况就是有的人对疼痛的敏感度天生就比别人高,麻药打了不管用的。
曾经有个患者来拔正畸减数牙,挺简单一事儿吧。但这个患者,她是个品酒师,上了4支碧兰麻(麻药,极限了)还是疼,最后生生的薅下来的。
这也是为什么有人拔牙疼的要死要活,有的人拔牙没什么反应,个体差异。有时候人和人的差别比人跟动物的差别还大……

止疼*法大**,学到了吗?
如果你有反复发炎、没有咬合关系、已引起其他病变(如萌出性囊肿)、已经严重龋坏、造成邻牙病变、引起邻牙牙槽骨吸收的智齿,找个专业靠谱的医生痛快去拔了吧!
