阿莫西林颗粒能不能乱吃 (阿莫西林乱吃会降低免疫力吗)

▶感冒长期服用阿莫西林,男子感到呼吸困难,咳嗽加剧!

今年62岁的王先生在退休后一般都在家中,不愿出门交际应酬,也不想出去运动,导致其十天半个月也不下楼一次,王先生的体重也随之飙升,身体状态越来越差,经常患有感冒等疾病,但是王先生并不当回事, 一感冒发烧就服用阿莫西林胶囊进行消炎 ,控制病情,时间长了,但凡有点儿感冒症状,王先生就用阿莫西林预防上。

最近,王先生在换季的时候又感冒了,发烧到37.8℃,为了缓解症状,王先生再次吃上了阿莫西林,但是这次药物并没有起到效果,王先生感觉到病情越来越重,到最后甚至咳嗽不止,呼吸困难。担心王先生身体的家人强制要求王先生前往医院就诊。

阿莫西林颗粒能不能乱吃,阿莫西林别乱吃只对四种病有作用

医生了解了王先生的基本情况后,为王先生开了一系列的检查,检查结果出来后,王先生赶紧找到了医生,医生表示王先生是感冒引发了肺炎,需要进行抗炎治疗。

医生根据王先生的情况写下如下病历内容(部分):

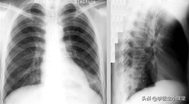
患者体温37.8℃、血压130/85、身高178cm、体重80kg。血常规提示白细胞增加,提示身体存在炎症,肺部CT显示患者右肺下叶及左肺上下叶见斑片状阴影 边界模糊 密度较淡 各级段支气管畅通 纵隔内未见明显肿大淋巴结 双侧胸膜腔内未见明显液体密度影,确诊为肺炎。

主诉:咳嗽不止、呼吸困难、胸闷、高烧不退、全身乏力。

病史:

患者长期服用阿莫西林胶囊当作日常抗炎和预防药物,此次感冒后再次服用阿莫西林没有效果,私自增加药量后症状仍未减轻,期间高烧不断反复,后伴有胸闷、气短等症状。

阿莫西林颗粒能不能乱吃,阿莫西林别乱吃只对四种病有作用

▶确诊肺炎,竟是阿莫西林造成的二重感染?

医生:“王先生,您的肺炎情况还是比较严重的,我建议您每天需要输抗生素搭配消炎药物联合用药进行治疗。先治疗一个星期,如果没有效果我们再调整药量和药品。”

王先生:“好,都听您的,消炎药我能用阿莫西林吗?我吃习惯了,家里还有好多。”

医生:“这我就要说您了,您之所以有现在的后果基本上都是因为您 滥用阿莫西林,导致身体出现了抗药性,造成二次感染 ,所以才将感冒拖成了肺炎。”

王先生:“怎么可能呢?阿莫西林不是消炎药吗?怎么会造成二次感染?”

阿莫西林颗粒能不能乱吃,阿莫西林别乱吃只对四种病有作用

医生:“偶尔使用阿莫西林进行抗炎治疗确实没有问题,但是像您这种长期服用的患者,就会 破坏您原本体内菌群的平衡 ,使得外来的细菌趁机进入到您的身体中,引发细菌性感染的发生,如果此时您身体还存在其他感染,就会引发二次感染。这种情况就比较危险了,因为能引发二次感染的病菌基本都是 耐药性 的,严重了可能会导致肺炎、肠炎甚至是败血症,最后危及到患者生命。”

王先生:“竟然这么严重,我一直认为有炎症就吃消炎药好的快,没想到竟然是错误的。”

▶阿莫西林虽然是好药,但只适用于这5类疾病,可别随意乱吃!

阿莫西林颗粒能不能乱吃,阿莫西林别乱吃只对四种病有作用

医生:“阿莫西林胶囊是临床上应用比较广泛的消炎药,它的消炎效果也是不错的,但是并不代表什么病都能使用。”

王先生:“那感冒和发烧不能用吗?”

医生:“ 阿莫西林并不是感冒、发烧等呼吸道疾病的首选药。 因为这类的疾病基本都是病毒引起的,不是细菌性感染,用阿莫西林也没有实际效果,只会增加身体负担。”

阿莫西林颗粒能不能乱吃,阿莫西林别乱吃只对四种病有作用

医生向王先生详细讲解了阿莫西林的主要适用的 五种症状 ,大致内容如下:

1. 阿莫西林胶囊主要用于由溶血链球菌、肺炎链球菌、等细菌所致的中耳炎、咽炎、鼻窦炎等 上呼吸道的感染 。患者的主要症状包括喷嚏、鼻塞、流涕,发热、咳嗽、咳痰、咽干、咽痒、咽痛或烧灼感等。

2. 由肠埃希菌、奇异变形杆菌或粪肠球菌等病菌所引起的 人体泌尿生殖道部位的感染 。患者的主要症状包括尿频、尿急、尿痛,白细胞尿,偶而可能有血尿现象,甚至是肉眼可见的血尿,膀胱区不适感增加。

3. 由溶血链球菌、葡萄球菌或大肠埃希菌等病菌所引起的 皮肤和软组织部位的感染 。患者可伴有局部皮肤部位的红、肿、热、痛,表面有脓性分泌物。同时伴有发热的症状。

阿莫西林颗粒能不能乱吃,阿莫西林别乱吃只对四种病有作用

4. 由溶血链球菌、葡萄球菌、肺炎链球菌等病菌所引起的急性支气管炎、肺炎等 下呼吸道的感染 。患者的主要症状包括发热、咳嗽、咳痰等,部分患者还会出现胸骨后烧灼样疼痛感。

5. 本药品可以用来治疗 急性单纯性淋病 。患者的主要症状有尿道口出现瘙痒,并且伴有局部的红肿,小便的时候会出现疼痛,还伴有尿频、尿急、尿道口有大量的黏液性分泌物等症状。

另外,阿莫西林在治疗幽门螺旋杆菌方面也有十分显著的效果,一般在临床上经常搭配克拉霉素、兰索拉唑三联用药,可以 根除幽门螺杆菌 ,有效地抑制胃肠道疾病的复发。

王先生:“所以我之前一直是不对症用药了?那为什么还有效果呢?”

阿莫西林颗粒能不能乱吃,阿莫西林别乱吃只对四种病有作用

医生:“毕竟阿莫西林是消炎药物,当身体存在炎症的时候多少会起到效果,但是它的效果就会大打折扣,副作用也不小。当身体对其出现了耐药性,就会引发您这种情况的发生,得不偿失。所以消炎类药物一定要在医生的指导下使用,不能私自滥用,不然等到身体真的需要消炎药的时候会 无药可用 的。”

王先生:“那我再服用阿莫西林的时候还需要注意其他的吗?”

医生:“是药三分毒,肯定也有禁忌症状,一般我们建议在餐后用 40℃以下 的温开水送服,长期服用的患者还要定期复查 肝肾功能 等,但是您的情况我不建议继续再用阿莫西林了。”

阿莫西林颗粒能不能乱吃,阿莫西林别乱吃只对四种病有作用

▶王先生积极锻炼,配合医生治疗得以康复

王先生听从了医生的建议,戒掉了长期服用阿莫西林的习惯,为了进一步提高机体免疫力,王先生还加强了锻炼,专门参加了老年舞蹈队,每日保证一个小时的有氧运动,身体状态越来越后,也很少再感冒发烧了。

总之,王先生的例子可以给我们提出警醒,在面对阿莫西林这种处方药类抗生素的时候,一定要遵从医嘱服用,不要随意在药店购买,甚至长期滥用,当出现以上几种适应症的时候再考虑用药,保证用药的安全性。