“刘医生,刘医生,我家孩子7岁了,上门牙中间为什么会有大缝隙,太难看了,该怎么处理,快帮我看看?”

常有人私信刘医生询问类似的问题,事实上,如果你家的孩子也有这类情况,不用太担心,这是一个正常的现象,这个时间段的孩子是处于换牙期,也就是俗称的“丑牙期”,那为什么他们的门牙会出现大裂缝呢?

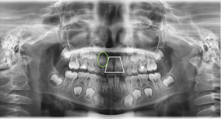
换牙期上门牙为什么出现裂缝?
从上图可以看到,中间上牙中有较大的缝隙,当孩子在长牙阶段,上牙前部牙总是第一个长出来的,但是他旁边的牙齿也要萌出(绿色圈中),需要发育空间,就无法避免的会挤压到中间牙齿的牙根,牙根就被挤到中间,长出来那一部分自然就被挤到两边,就出现了大缝隙。

上牙缝隙该怎么处理?
很多妈妈都觉得牙缝太丑了,都想着把门牙挤挤或者类似的操作,让缝隙合上,刘医生在这里告诫各位妈妈,最好不要这么做,因为这么做虽然牙缝会合上,但是牙齿就会松动,最后导致牙齿脱落。
这个缝隙会随着周围牙齿的萌出而慢慢闭合,各位妈妈们不要着急,如果在孩子牙齿替换差不多了,但牙缝还很大,可以带孩子到医院进行检查,千万别用蛮力硬合。

温馨提示:孩子换牙期间上牙缝隙是正常的,不要用橡皮筋、蛮力去强制闭合,它们会慢慢的闭合,如果不放心的话可以去医院咨询、检查,进行治疗。