“心在线”与美国华裔心脏协会(CNAHA)独家合作的“中美病例教学”专栏第十期上线了。CNAHA与国内多家大型教学医院合作,借助虚拟会议室,对临床病例进行远程交流与教学,旨在促进中美华人心脏病学医生间的学术沟通,并为年轻医生提供贴近临床的继续医学教育和专业英语教育。基于此,"心在线"开辟专栏,对该项目的精选场次做深度报道。
1月20日上午10:00,大连医科大学附属第一医院远程会诊中心内,大连医科大学附属第一医院王少鹏教授、张英教授等再次连线"中美病例教学"美方专家;美方则由明尼苏达大学医学院李剑明医生、加州大学戴维斯医学中心范大立医生和杨英勃医生、和平医疗中心俄勒冈心血管研究所郭鸿生医生、萨特医疗中心眭子健医生、圣路易斯华盛顿大学欧家福医生、印地安纳州瑞德医院韩新强医生、洛杉矶西达斯西奈医学中心刘秀实医生、北卡罗来纳大学科威纪念医院周瑞海医生、樱桃山医院张明医生、加州凯撒医疗机构胡新歌医生、西雅图欧弗莱克医院医疗中心医学中心袁瑞勇医生、纽约州立大学上州分校医学院附属医院刘侃医生、芝加哥伊利诺伊大学心内科戴胜川医生等参加。
本期病例由大连医科大学附属第一医院王少鹏教授提供。简短的开场后,病例汇报正式开始。
病例介绍
【病史】
77岁男性,以“胸闷、呼吸困难4年,再发5天,加重6小时”为主诉,于2016年12月29日5:47就诊于心血管急诊。
【现病史】
4年前,患者开始出现活动后胸闷、呼吸困难,并逐渐加重,2年前于我院行冠脉CTA。CTA显示,左前降支(LAD)接近重度狭窄,第一对角支(D1)闭塞,左回旋支(LCx)重度狭窄,右冠状动脉(RCA)细小伴中度狭窄。经冠心病二级预防、抗心衰等药物治疗好转后出院。5个月前,患者再次入院(心衰科),心电图显示,窦性心动过速,心电轴不偏,左室肥厚继发ST-T改变(图1);超声显示,左房大、左室正常高限(55 mm),室壁不厚,左室壁弥漫性运动减低,主动脉瓣钙化并轻中度关闭不全,二尖瓣中度关闭不全,三尖瓣近中度关闭不全,中重度肺高压(RVSP 78 mmHg),左室收缩、舒张功能减低(LVEF 38%,E/e’ 20);药物治疗后出院。

图1 2016年07月13日心电图
本次入院前5天,患者发热、咳嗽、咳黄痰后,呼吸困难再发并加重,于外院住院治疗,抗感染、纠正心衰后略好转。6小时前,排便用力后呼吸困难明显加重,复查心电图提示,房颤、急性心肌梗死;转至我院进一步治疗。
【既往史】
高血压病史10余年,最高达200/100 mmHg;2型糖尿病病史10余年,口服二甲双胍、阿卡波糖,未规律监测;否认脑血管疾病、精神疾病病史;否认肝炎、结核、疟疾病史;预防接种史不详。
【个人史及家族史】
患者出生于并久居大连,无吸毒史,无吸烟及酗酒史;其兄患有心衰,其子患高血压,否认家族性遗传病及传染病病史。
【体格检查】
心脏急诊就诊时,查体显示,心率95-102次/分,呼吸20次/分,血压114-138/68-77 mmHg,血氧饱和度88-90%。患者状态欠佳,面色苍白,四肢末梢冰凉,神志清楚,口唇发绀,颈静脉无怒张,双肺呼吸音粗,满布湿啰音。心界向左扩大,心尖搏动位于第5肋间,左锁骨中线外侧0.5 cm,心律不齐,S1强弱不等,未及病理性杂音。腹软,无压痛、反跳痛,肝脾肋下未及,双下肢不肿。
急诊心电图显示,异位心律,心电轴不偏,心房颤动,急性下壁、前侧壁、前壁心肌梗死(图2)。右室导联未见明显异常,急性后壁心肌梗死(图3)。

图2 急诊心电图(05:54)

图3 急诊心电图(05:55)
【实验室检查】
如图4所示。

图4 实验室检查
根据上述状况,患者被初步诊断为冠心病(急性下后壁、前壁ST段抬高型心肌梗死、Killip Ⅲ级),全心衰(心功能Ⅲ-Ⅳ级 C期),高血压病(3级),2型糖尿病。急诊室内立即行心电、血压监测,氧气吸入;硝酸异山梨酯注射液静脉续点(120带入);阿司匹林300 mg、替格瑞洛180 mg嚼服;完善相关采血化验等术前准备后,急诊行冠状动脉造影(CAG)。
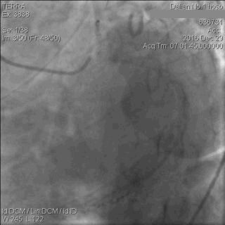
CAG显示,患者LAD中段以下闭塞;LCx近段轻中度狭窄,远段重度狭窄,钝缘支(OM)开口闭塞;RCA细小,且伴弥漫性轻中度狭窄,如图5。

图5 急诊CAG图像
初步病例介绍后,王少鹏医生抛出了一系列问题:哪支血管是罪犯血管(IRA)?经皮冠状动脉介入治疗(PCI)时,应对多支血管进行直接PCI还是分期PCI?PCI过程中,是否需要使用主动脉内球囊反搏(IABP)或经皮植入左室辅助装置(pLVAD)给予循环支持?
对于上述问题中美专家纷纷提出了自己的见解,要点如下:
首先,美方专家指出,体表心电图的ST段抬高或Q波相关导联是判定ST段抬高型心肌梗死(STEMI)患者IRA,最主要且最常用的方法。但并不完全可靠,尤其是对于既往心肌梗死病史或多支病变的患者。此时,或需结合CAG或心脏彩超结果,甚至通过导丝尝试后,方能判断。根据本例患者的CAG图像,LCx闭塞病变处残端特点提示其为IRA的可能性较大,LAD则为慢性完全闭塞病变(CTO)。
随后,有专家表示,指南推荐,STEMI患者行急诊PCI时,仅需对合并心源性休克患者行多支血管完全血运重建,且应由经验丰富的医师完成;具体到该患者,术前虽未完全明确诊断为心源性休克,但相关临床特点提示至少为Killip Ⅲ级,处于休克边缘。PCI治疗时,应首先开通IRA,对于是否同时干预其他血管,应视病情而定,如状态稳定,则无需处理;如不稳定,则应常规行左心及右心导管等侵入性血流动力学检测,评估左心室舒张末期压力(LVEDP)、右心室压(RVP),尽可能多的提供血流动力学相关信息;必要时行心内彩超以指导手术及术后药物治疗策略;若LVEDP>18 mmHg,RVEDP>10-15 mmHg,则休克诊断基本成立,器械支持非常关键,必要时可同时开通其他血管。
对于多支血管血运重建时,是一次性完全重建还是分步实施呢?状态相对稳定时,目前尚无定论;如病变不复杂,可在短时间内迅速完成,则可一次性完全重建;如同时合并右室心肌梗死,则应慎用硝酸酯类药物。另外,虽然术前患者血压尚可,但心功能已频临心源性休克状态,因此应在术中常规应用IABP。
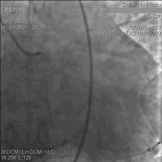
激烈的讨论过后,病例介绍继续。王少鹏教授揭晓,患者在LCx的OM支置入EXCEL 2.5*24 mm支架1枚,在LCx远段行球囊扩张,如图6。

图6 患者进行PCI
术后,患者入病房进一步治疗,仍感胸闷、喘憋,略感恶心。查体显示,心率100次/分,呼吸20次/分,血压116/72 mmHg,血氧饱和度83%。状态欠佳,懒言,面色苍白,四肢末梢发凉;口唇发绀,颈静脉无怒张;双肺呼吸音粗,满布湿啰音;心界向左扩大,心尖搏动位于第5肋间,左锁骨中线外侧0.5 cm;心率108次/分,律不齐,S1强弱不等,各瓣膜听诊区未及病理性杂音;腹软,无压痛、反跳痛,肝脾肋下未触及;双下肢不肿。
入病房后复查心电图显示,下壁导联抬高的ST段较术前回落;前壁及后壁导联变化不明显(图7)。给予患者吸氧(8 L/min),呋塞米(20 mg)联合二羟丙茶碱(0.25g)静注,微量泵静脉注入硝酸异山梨酯(2 mg/h)、多巴胺(4 ug/kg·min)、替罗非班(200 ug/h)、比伐卢定(1.75 mg/kg·h),并继续使用其他冠心病二级预防用药。且因当时心外科手术占用器械,故未植入IABP;因患者不同意故未转入重症监护病房。

图7 PCI术后心电图
术后,患者再次进行实验室检查,如图8。血常规较术前无明显变化,BNP为753 pg/ml,较术前降低;超敏肌钙蛋白I较术前明显增高(45.38 vs. 1285.99);血肌酐、血钾及谷草转氨酶较术前稍有上升。经过药物治疗后,患者症状无明显缓解,状态变差,双下肢皮肤出现大理石花斑,检测血乳酸为7.1 mol/L,发展至心源性休克。

图8 实验室检查
最后,美方专家指出,术后患者胸闷、气短症状缓解不明显,最终发展至心源性休克。对于此类高危患者,器械辅助治疗很关键,术中应常规并尽早应用IABP,必要时可使用体外膜肺氧合(ECMO),甚至impella辅助,且impella(尤其是LVEDP明显增高时)的效果或更佳。
那么,器械辅助治疗多久才更安全呢?美方专家指出,即使完成血运重建,心肌梗死后心肌顿抑也需48-72h才能逐步恢复。并且impella应用后或会发生红细胞破碎、溶血、下肢动脉缺血等并发症,因此应根据患者状况,严密监测尿量、肺动脉血氧饱和度、血乳酸、血气分析等指标;并于病情恢复后,停用24-48h无恶化时,尽早拔除。
此外,对于本例患者,除器械辅助治疗外,还应注意以下问题:①该患术后出现房颤,是否可考虑转律?美方专家指出,虽然转律后,心房肌因顿抑,不能即刻恢复功能,但房颤本身的快心室率可增加心肌氧耗,同时影响血流动力学,因此需考虑转律;②急性心肌梗死为诱因,术后患者又出现了多脏器功能不全,虽未查心脏彩超,但据推测LVEF应明显下降,在纠正容量、血压基础上,可考虑应用米力农(尽管可能增加氧耗);③患者肾功能不全加重,这或与对比剂引起AKI因素相关,必要时可应用血滤等措施,以改善肾功能、滤出多余液体,减轻心脏负荷;④从增强心肌收缩力方面考虑,应优选多巴酚丁胺,不建议应用多巴胺;⑤总体而言,对于合并心源性休克患者来说,药物治疗应在有创血流动力学监测基础上应用,且效果欠佳。另外,有专家认为,在其他治疗及严密监测血流动力学基础上,进行适当补液、纠正前负荷,维持一定的心室功能曲线(starling curve),或有一定效果。
专家简介

王少鹏,大连医科大学附属第一医院冠心病二科副主任,副主任医师,副教授,博士,硕士生导师。2002年本科毕业于大连医科大学,2005年获得内科学硕士学位,2014年获得内科学博士学位。2015年10月至2016年9月任美国俄亥俄州立大学访问学者。主要从事心血管病的诊断和治疗,尤其是冠心病的诊断和治疗。每年完成PCI量400余例,以第一作者发表SCI文章6篇,参编专著一篇,中文核心期刊10余篇。参与辽宁省自然基金项目两项,主持大连医科大学附属第一医院青年基金,主持大连医科大学教改项目一项。
CNAHA简介

CNAHA,即美国华裔心脏协会,主要由美国华裔心血管临床医师和科学家组成。其成立于2006年,以在美国华人及中国医学专业人员个传播心血管和医学知识为己任。在美国,CNAHA的会员数目不断增加,现已有500余人。目前,CNAHA已与国内外许多组织建立了良好的合作关系。在美国心脏学会、美国超声心动图学会、美国心律学会等多个美国学术组织年会上举办了专场会议,并同国内同道开展了一系列的学术活动,如长城会-CNAHA论坛、中美转化研究项目学术会议等。
大连医科大学附属第一医院心血管学科简介

大连医科大学附属第一医院心血管学科始建于1953年,在各级领导的支持及老一辈专家指导下,团结奋斗、拼搏进取,学科规模不断扩大,学术地位与医疗水平不断提高。2010年经省卫生厅批准,大连医科大学心血管病医院正式成立,已经成为集医疗、科研、教学为一体的知名心血管病医疗中心。心血管病医院下设科室9个,共计309张床位。设有心导管室、杂交手术室、心血管病检查中心、心脏超声科、心脏CT影像科。配备了第二代炫速双源心血管CT、新三维标测系统及远程心电监测等先进设备。医院拥有一支高水平技术团队,现有各类医疗技术人才共计196人,其中博士生导师5人,硕士生导师26人。医院现已形成心律失常、冠心病、高血压、心力衰竭、结构性心脏病、心脏外科、血管外科、心脏急症科、心脏重症监护室等9个亚专科。年门诊量达195087余人次,出院患者13166余人次,床位利用率>100%。每年完成各种心脏病介入诊疗和外科手术4000余例,整体实力与水平位于国内前列。先后成为辽宁省重点学科、国家心血管病临床重点专科、卫生部心血管病介入治疗培训基地(心律失常、冠心病)、辽宁省心律失常治疗中心、大连心血管病诊疗中心、亚太地区心脏CT临床应用培训中心等。 医院为大连的心血管急危重患者开通了24小时完善的生命绿色通道,从第一时间转运途中救护车内的诊治和远程会诊,到送入急救室和院内的有效和及时救治,大大提高了患者的抢救成功率。医院开设了心血管病健康服务热线,为广大市民提供及时和方便的医疗健康咨询及就医指导。
往期链接:
【中美病例教学】OCT指导的延迟支架策略在急诊PCI中的应用
【中美病例教学】:联合肺静脉前庭放射状线性消融治疗复杂房扑和房颤
【中美病例教学】扩张型心肌病伴反复室性心律失常
【中美病例教学】:FFR指导下的PCI 病例
【中美病例教学】急性心肌梗死诊疗的曲折历程
心在线 专业平台专家打造
作者 王少鹏 ┆ 编辑 郭雪梅 ┆美编 柴明霞┆制版 崔凤娟