常见网络上说,不作死就不会死,光觉得好笑,没亲身体验。前几天,终于切切实实见证了一把。
话说,晚上夜班收了个外伤小哥,说是骑摩托车车祸导致闭合性腹外伤。入院后给他做了CT证实:闭合性腹外伤,脾脏包膜下血肿。腹腔少量积液。因病人血压平稳,查血常规也接近正常,且小哥体质较好,决定保守治疗。如果保守治疗有效,避免小哥挨一刀,且可以保住脾脏,向其交代病情,家属也同意,小哥也同意保守。再三向小哥交代,绝对卧床休息,不要活动,观察半月。

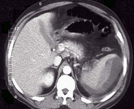
脾破裂CT
然而该小哥好了伤疤忘了痛,第二天开始,外伤引起的疼痛减轻了,就开始活跃了,先是在病房抽烟,然后一大帮子同类来看他,一起在病房喝酒,怎么劝也没用。好处是不跟你闹,倒也不横,然后开始下地。向其多次交代必须卧床休息,就是你说你的,我干我的。到了一个周后,外表是看不出伤痕来了,作的更大了。开始离开医院外出。苦口婆心,向其讲活动的危害,他却觉得我们危言耸听,在吓唬他。没办法,向其家属沟通,家属也管不了。最后和家属商量一下,决定再次上监护,这样监护仪可以让他老老实实躺在床上。住的时间长了,监护仪上指标他基本都知道,一看没问题,干脆自己把监护电极拿掉。我们没办法了,作吧,既然你自己想死,谁也拦不住。
不负这个小哥的期望,终于在第十二天,小哥焉了,肚子开始痛起来,也涨起来,急行腹部强化CT见腹腔大量积液。没办法,急症剖腹探查。术中见脾脏破裂,腹腔大量积血,输血2000ml,切除脾脏,这下小哥老实多了,也不跳了,也不跑了。

破裂脾脏
临床上经常见到一些自以为是的病人,跟他术前签字,他就认为是医生吓唬他,或者推卸责任。其实他们不知道,所有这些并发症都有发生的几率,虽然很低,但总有病人遇到,否则也不会出现在知情同意书上。常有病人问我,医生这个并发症发生几率是多少?我会郑重告诉他:几率对你来说没有用,是医生用来统计用的。对病人来说,就是发生与不发生。即使发生几率为千万分之一,也有可能让你遇到。医生跟他们谈话签字,也不是为了推卸责任,而是保障病人的知情权,让他们有选择的余地。医生的医嘱不是随便下的,都是有根据,有目的的,最终目标都是为了病人康复。因此,医患之间的配合与信任也是疾病康复过程中重要一环,如果不配合医生治疗,哪怕医生是神仙,恐怕也回天无力。