胆道系统影像学检查最常见的有ERCP、MRCP、CT以及超声等。本期和大家分享一个无创又直观的影像学胆道系统检查——MRCP。

常见的MRCP的检查方法有3种:
- 2D_MRCP
- 3D_MRCP_RT(自由呼吸)
- 3D_MRCP_BH(屏气)
传统2D-MRCP-BH:
- SSH-Rad——采用单次激发放射状采集,屏气一次,采集一层。难以多次屏气的患者很难配合完成检查
- 层厚40-50mm,层间分辨率较低,可能丢失部分细节
- 2D采集,无法3D重建
3D_MRCP_RT(自由呼吸):
- 分辨率高,对于细节显示有优势
- 扫描时间长,呼吸不均匀的患者容易在扫描中引入运动伪影,导致图像模糊
- 3D采集,可后处理重建

3D-MRCP-RT,呼吸触发,时间太长,患者无法均匀呼吸时,图像采*会集**引入过多的呼吸运动伪影,导致图像模糊,影响诊断。重新扫描一次时间成本高,图像效果仍然可能无法得到保障。

这个时候不要难过,3D_MRCP还是有救的!!!
3D_MRCP_BH(屏气):
- 分辨率较高,能较好显示病灶细节
- 扫描时间极短,屏气一次,16s即可完成检查,特别适合呼吸不均匀但能配合屏气的患者
- 不适用于无法屏气的患者
- 3D采集,可后处理重建

T2W示胆囊内多发结石,胆囊饱满。

这个图像看起来和传统的3D_MRCP非常相似,但扫描时间却大有不同。3D_MRCP_BH只需要屏气16s即可完成检查。

GRASE序列顾名思义是梯度回波和自旋回波的结合,实际上是快速自旋回波和EPI的结合。快速自旋回波序列是在一个90°脉冲激发后,利用多个180°重聚焦脉冲,产生多个回波。在相邻的两个180°脉冲之间,利用梯度线圈的连续切换(EPI技术),会产生一个自旋回波及多个梯度回波,从而实现自旋回波及梯度回波的结合。
一般情况下K空间中心(决定图像对比)由自旋回波填充,K空间周边(决定图像细节)由梯度回波(EPI回波链)填充。
具体参数

Tips:
- TE设置最短(shortest),然后调整Starup ehcos(2-4);
- EPI factor最好5-9,TSE factor设置成最大;
- 无需过采样

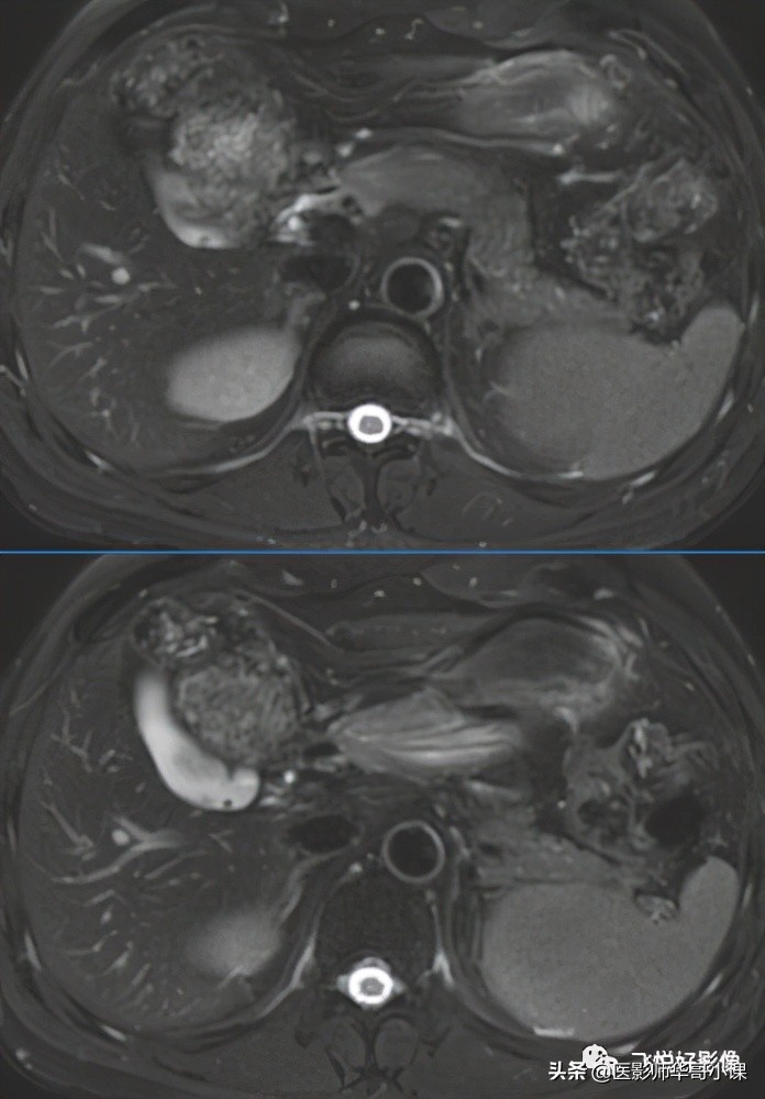
T2WI_FS_TRA示:胆囊结石、胆囊壁明显增厚、胆囊窝少量积液

2D MRCP胆囊颈显示不清,无法重建。

3D_MRCP_BH可以进行3D重建,找到“责任病灶”。



三种方式MRCP总结
特别鸣谢:珠海市人民医院影像科
转自: MR Education