吴克俭 王晓宁

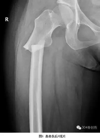
大查房见到一女性病人,57岁,洗澡时地滑导致股骨粗隆下骨折。粗隆下骨折多见于青壮年高能量外伤后,而眼前的病人是一位白净的中年女性,仅仅是洗澡过程中骨折,按说致伤能量不是很高,当时首先想到的是肿瘤骨转移的病理骨折,反复查看X线片和CT后不符合肿瘤骨转移病理骨折。王晓宁主诊医生再次补充病史:患者因内科疾病长期服用激素。服用激素能够导致骨坏死和骨质疏松,骨坏死常见于股骨头,骨质疏松骨折多见于股骨近端。带着疑问全科医生仔细阅读影像资料料,此例粗隆下骨折表现的仅是简单骨折(图1),而经典的粗隆下骨折多是粉碎或长螺旋形(图2、3)。全科医生畅所欲言,充分发表各自看法,却不能完美解释上述疑问,按现有医疗水平处理此类骨折不是难事,但解除不了内心的疑惑。经过激烈讨论后,决定暂缓手术、寻找证据、明确骨折原因。大家分头查找文献,两天后再次讨论。



再次讨论伊始,王晓宁主诊医生手持一厚摞文献告诉大家:此病人符合“非典型股骨骨折”,与长期服用双磷酸盐有关。此患者由于内科疾病需长期服用激素,同时服用双磷酸盐抗骨质疏松治疗,双磷酸盐药物可能够导致非典型股骨骨折,特别是与糖皮质激素同时应用更易发生。按常理抗骨质疏松是降低再骨折发生率,而这名患者却发生了不常见于她这个年龄段的骨折。针对大家的疑问,主诊医生利用PPT为大家全面做了讲解。
流行病学
随着中国迈入老龄化社会,骨质疏松人群基数的持续扩大,髋部骨折的数量不断增加。很多老人开始使用双磷酸盐,双膦酸盐虽可改善骨密度(BMD)及降低骨质疏松相关椎体与髋部骨折,但股骨粗隆下骨折与股骨干骨折的发生率并未随着双膦酸盐类药物的广泛应用而降低。非典型股骨骨折的发病率约为3.2~50/100000,长期应用双膦酸盐类药物可使其发病率增至100/100 000,发生率并不高,大多发生在老年女性,非典型股骨骨折患者平均双膦酸盐类药物疗程为5~7年。
非典型骨折发生机理
抗骨折疏松的药物为何导致不典型股骨骨折?与骨自身修复重建和股骨结构有关。双膦酸盐通过抑制破骨细胞皱褶缘的形成,阻止破骨细胞分泌氢离子与溶酶体酶进入Howship腔隙,从而抑制破骨细胞介导的骨吸收过程,也意味着骨重建的减少。这可导致一系列骨材料特性的变化:胶原交联异常,胶原成熟度下降,微损伤积聚(图4、5)。使骨的屈服强度下降,脆性增加,易出现疲劳骨折。而骨强度不仅由骨材料特性决定,同时受骨结构特性影响。股骨近端的解剖形态决定了股骨外侧皮质为其张力侧,承受较大的应力(图6、7),亚洲人群,非典型股骨骨折患者股骨的前外侧弧度更为显著,且下肢解剖轴和机械轴之间的偏移与骨折部位高度相关,股骨弧度过大可导致牵张应力集中于股骨前外侧面,造成非典型股骨骨折,类似道理见于折断的铅笔和被风刮断的树枝(图8、9)。






非典型股骨骨折定义及诊断标准
2013年和1014年美国骨与矿物质研究学会(The American Society for Bone and Mineral Research,ASBMR-图10)对于完全及不完全非典型股骨骨折定义如下(图11):主要特点包括(1)此类骨折无明显创伤史;(2)骨折线起自外侧骨皮质并基本与股骨呈垂直走向;(3)完全性骨折贯穿两侧骨皮质,而不完全骨折只涉及外侧骨皮质;(4)骨折非粉碎性或微粉碎性;(5)骨折区域出现局部增厚的骨膜或骨内膜,非典型股骨骨折应满足以上4 条或以上才可定义为非典型股骨骨折。其次,次要特点不是非典型股骨骨折必须满足:(1)股骨干骨皮质厚度广泛增厚;(2)单侧或双侧前驱症状,如腹股沟或大腿的钝痛或酸痛;(3)双侧完全或不完全性股骨干骨折;(4)延迟愈合。


诊断、治疗和预防
大腿前外侧疼痛是服用双膦酸盐患者最常见临床表现,非典型股骨骨折中发生率为70%。影像学检查可见患侧及健侧内外侧股骨骨皮质增厚,在股骨中上处出现起自股骨外侧-横行、非粉碎性骨折。核磁共振(MRI)对于诊断此类骨折具有重要意义。在T1 加权像上可见弥散性低密度信号,短时恢复反转序列上可见高信号(图12)。

对于非典型股骨骨折的治疗可分为非手术与手术治疗两种。其中非手术治疗包括停用双膦酸盐药物、补钙及维生素D、骨合成代谢剂及检测血清钙、甲状旁腺素、25- 羟基维生素D、促甲状腺激素、24h尿钙以及骨转化标记物的检测以排除所有相关骨代谢疾病。手术治疗对于完全性非典型股骨骨折主要有髓内钉治疗以及钢板内固定治疗。髓内钉治疗效果可能更好。值得注意的是非典型股骨骨折术中并发症发生率较高,如医源性骨折、钢板内固定失败、延迟愈合、疼痛、异位骨化、感觉异常及无力等。而对于非完全性非典型股骨骨折的处理方式主要取决于临床表现以及影像学表现,最终选择是保守还是手术处理。保守治疗主要包括不负重或低负重并拄拐以及应用相关药物,但是保守治疗的失败率很高,常出现骨折移位的情况,因此这类病人需要进行长期X 线平片和MRI的检测,如出现临床表现或影像学发生进展应尽快行预防性固定以防骨折移位。2013年,AAOS为此提出了诊断和治疗流程可供临床参考(图13、14)。患者手术后应密切随访,以防骨不愈合及内植物断裂失效。


FDA建议,针对服用双膦酸盐超过5 年的骨质疏松患者行常规的随访,检测此类患者是否发生应力性骨折,以及骨转化标记物以防止双膦酸盐对骨重塑的过度抑制。如患者无明显抗骨吸收治疗指证时,应立即停用双膦酸盐,需要继续抗骨质疏松治疗改用非双磷酸盐药物。
感悟
通过这个病例感悟颇深,使我想起了循证医学的主要创始人、国际著名临床流行病学家David Sackett(图15),他将循证医学定义为:“慎重、准确和明智地应用目前可获取的最佳研究证据,同时结合临床医师个人的专业技能和长期临床经验,考虑患者的价值观和意愿,完美地将三者结合在一起(图16),制定出具体的治疗方案”。现代循证医学要求临床医师既要努力寻找和获取最佳的研究证据,又要结合个人的专业知识包括疾病发生和演变的病理生理学理论以及个人的临床工作经验,结合他人(包括专家)的意见和研究结果;既要遵循医疗实践的规律和需要,又要根据“病人至上”的原则,尊重患者的个人意愿和实际可能性,尔后再作出诊断和治疗决策。此例粗隆下骨折如果仅凭经验处理,骨折顺利愈合,但仔细看看患者的另一侧股骨近端(图17),让人不寒而栗,能敢保证另一侧不发生骨折么?不经过这样一次有意义的讨论,哪能有这么多的收获?



英国哲学家弗朗西斯·培根曾经说过:活着就要学习,学习不是为了活着。而医生是需要终身学习的职业,我能从事这样职业,无比自豪,和这样一群爱学习的人工作,无上荣耀!