牙龈肿胀,牙根暴露,牙齿底下还有黑色的脏东西?这是你的牙龈里长结石了。
对口腔知识只要稍微了解一些的朋友,对牙结石就不会陌生,毕竟这是一种普遍存在的口腔问题。我们平时吃完东西之后,嘴里的细菌就会和食物残渣相结合,然后形成附着在牙齿表面的牙菌斑。如果做好口腔护理,牙菌斑就会逐渐矿化成牙结石,当然刚开始的牙结石只是乳白色的软垢,简单用牙线和牙刷就能清除。但是牙结石变硬之后就比较难对付了。

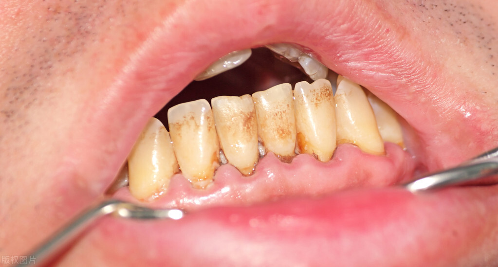
一般牙结石都长在牙龈上面,沉积在牙龈交界处,时不时刺激一下牙龈,然后进一步导致口臭、牙龈红肿和出血等状况。如果不及时处理,牙结石就会不断扩大,随后引起牙龈萎缩,牙槽骨逐渐被吸收后,牙齿开始松动。此时牙结石便会从龈上转移至龈下。
牙龈下的结石大多分布在牙龈缘下的牙根,光是凭借咱们的肉眼是无法察觉到的,需要通过探针和x光才有可能检查到,所以说咱们定期的口腔检查是必不可少的。龈下结石通常体积更小,而且非常的牢固,我们常规的洗牙只能做到龈上的牙结石去除,龈下的牙结石需要靠牙周刮治。

牙周刮治是将工具深入牙龈乳头,刮去表面感染的病变牙骨质和牙周袋内的牙结石、牙菌斑。不过嘛,这清理的干不干净嘛,就看牙医的技术好不好了。有人会问哈,那这牙周刮治疼不疼啊,听着就让人害怕。这个老吕来回答一下,如果还是牙周炎初期,牙根这时候还是比较平整的,刮得过程会有些许不适感,但是不会很疼;但如果比较严重了,需要把器械深入牙龈下方,那感觉就酸爽多了,通常会打麻药。

那么龈下的结石处理过后牙周炎就会好吗?这个不一定,得看牙周组织原来的病况,如果牙周刮治后牙龈恢复了正常,那么定期的清洁就好了,早晚刷牙,饭后漱口,每年1~2次的洗牙会让牙结石的产生可能降到最低。洗牙不是一劳永逸的,牙结石还是牙菌斑,都会重新形成,所以保持口腔健康还需要我们时时刻刻的努力。祝大家都能有一个健康的口腔环境。
更多口腔小知识,点击关注,老吕给您一一道来!
如果你也有牙齿问题,欢迎后台直接私信我哦!