吃离不开我们的牙齿,牙齿的咀嚼的快感是我们进食的非常重要的来源,正如俗话说"牙口好,胃口好"。很多牙口不好的人说,虽然也吃东西,确实是感觉不香了。
有一种疾病跟牙齿有着密切的联系,就是牙周炎,过去把这个疾病叫做"不死的癌症",很难治疗。
因为真正意识到问题的时候已经很晚了,早期中期是没有特别明显的症状,牙龈出血、牙槽骨被吸收什么之类的,它不影响我们的吃,也不影响我们的喝咀嚼什么的都没有问题。可是到晚期,牙槽骨都被完全吸收后,这时候我们的身体才出现症状,日常饮食都无法正常进行。

那么牙周炎到底是什么呢?牙周炎是侵犯我们整个牙周组织,对牙龈、牙周膜、牙槽骨进行慢性破坏的一种口腔疾病。在我们口腔牙周炎主要表现为牙龈出现肿痛、出血、牙周袋的形成,牙槽骨被吸收和牙齿的松动,它最终会导致我们牙齿的丧失,破坏口腔的咀嚼功能。
万物皆有源,牙周炎也不例外,导致牙周炎出现主要有下面几条:
1.牙菌斑

一般而言,人的口腔内有500多种细菌,至少有2000亿个细菌,即使是非常的注意口腔清洁或者卫生,口腔的细菌也不会少于500亿个,相对不太不注意口腔清洁的人口腔的细菌多达1万亿个。
人们吃东西的时候不时有食物残渣在牙齿的表面和牙缝里,这些食物残渣为细菌的生长提供直接的能量来源。细菌与唾液一起就形成了牙菌斑。牙菌斑粘附于牙齿表面不能用漱口、水冲洗等去除长期下来就成为牙周炎的罪魁祸首。
2.牙结石

牙结石是指长期沉积在牙齿上矿化的菌斑,牙结石对牙周组织的危害,主要是构成了菌斑附着同时也是细菌滋生提供了良好生存环境,长期牙结石不清理会产生严重的牙周炎。
3.
创伤性的咬合

我们牙齿在咬合时,若牙齿间咬合力过大或咬力方向异常,超越了牙周组织所能承受的范围,导致牙周组织发生损伤性的咬合,称为创伤性咬合。创伤性咬合包括咬合时的早接触、牙合干扰、夜间磨牙等也是造成牙周炎的重要因素之一。
4.其他造成牙周炎的因素
食物嵌塞不及时清洁、不良修复体等因素也诱发牙周组织的炎症发生。

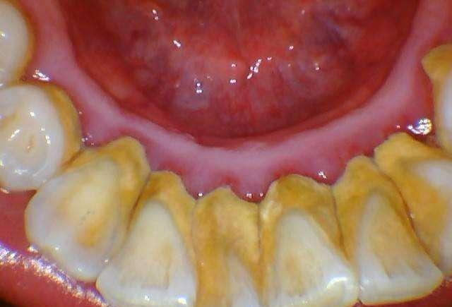
牙周炎早期症状并不明显,患者常只有牙龈在刷牙时出血或口臭的表现。检查时可见龈缘、牙龈乳头肿胀、质松软,呈现暗红色,探诊易出血。
随着炎症的发展如果长期不治疗就会出现下列症状:
- 1.形成牙周袋
- 伴随着牙龈炎症的扩展,牙周膜逐渐被破坏,牙槽骨逐渐被吸收,牙龈与牙根分离,龈沟加深而形成牙周袋。
- 2.牙周溢脓
- 如果长期不处理牙周炎问题,牙周袋就会出现口腔溃疡及炎症性肉芽组织形成,牙周袋内有脓性分泌物存留,如果轻按牙龈可以看到有脓液溢出。并常有口臭。
- 3.牙齿松动
- 牙周炎使得牙齿周围的组织被破坏,支持牙齿力量不足,出现牙齿松动、移位等,会感觉到咬合无力,牙齿松动加剧。

不要把牙周炎想的太可怕,它的治疗方法也是有很多的:
1.进行牙结石刮治,在必要时进行调整咬合、消除食物的嵌塞和纠正不良的修复体等。
2.当牙周袋已经出现溢脓时,可用1%~3%过氧化氢液进行冲洗, 然后进行药敷,在去除局部疾病因素后,如果是较浅的牙周袋可以用碘酚液烧灼;对于较深的牙周袋需作牙周手术,以消除牙周炎。当牙齿出现松动明显时,可考虑拔除松动牙齿。
3.牙齿松动者不是特别严重,但是已经到正规医院做好相应处理后,为治疗牙齿松动 可作 暂时的 或着 永久的牙周夹板起到固定松动牙齿的作用。
4.当牙龈出现脓肿十分严重是,可切开牙龈进行脓液引流。

为减少后期治疗的疼痛和金钱的消耗,我们一定要做好日常的预防与维护:

1.定时刷牙,早晚2~3次,清洁口腔,清除牙齿间的食物残留,不能草草了事。
2.多吃对身体有益的水果蔬菜,补充营养,增强身体的抵抗力,牙周组织的抗病能力也会随之提高。
3.坚决改正对牙龈有害的习惯如抽烟、饮酒、单侧咀嚼等。
4.定期去正规的口腔医院检查,学习相关口腔方面的基础知识,做到及时治疗。

我是牙科医生黄征难,35年从业经历,如果你有任何口腔问题,欢迎关注后在主页私信咨询,或评论留言!可以私信牙片,我来帮你免费问诊!