髓鞘形成从妊娠6个月开始一直延续至成年,由周围神经系统开始,经脊髓、脑干最后至幕上组织。在出生后2年内,髓鞘形成以一种可预测的序列方式进展。研究显示,髓鞘形成序列具有重要的功能意义且与精神运动发育相关。
髓鞘化的进展遵循以下几个普遍原则:脑的后部,如枕部白质的髓鞘化优先于额颞叶白质,胼胝体压部先于膝部。

髓鞘化的进展:
近侧通路先于远侧(如脑干先于幕上)
感觉(视觉和听觉)先于运动
中央白质先于外周白质
后部先于前部
内容梗概
出生时或出生后短期内已形成髓鞘的区域:脑干背侧;小脑下脚与小脑上脚;中央沟旁区域;皮质脊髓束(半卵圆中心中央部及内囊后肢到大脑脚);腹外侧丘脑;视神经、视交叉及视束
白质髓鞘形成后,与灰质在T1WI上成高信号相比较,T2WI成低信号。

在出生后6个月以内,T1WI是评估髓鞘化进展最有效的序列,与灰质相比,髓鞘化的区域在翻转恢复成像上成高信号;6个月以后绝大多数大脑白质在T1WI上成高信号,超过这段时间在评估髓鞘化过程就要依赖T2WI。到24个月时,除去位于枕顶叶侧脑室旁的终末区,髓鞘化的进程已大部分完成。这些终末区在长TR序列中呈模糊的高信号,这样的改变可以持续至30-40岁。
1
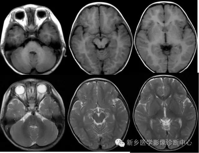
---I期:新生儿:出生至出生后1个月
髓鞘形成进程的MRI表现:
T1WI:高信号 T2WI:低信号
正常足月儿出生时:
放射冠中央
大脑脚、视束、桥脑、内囊后肢
丘脑腹外侧
小脑上蚓部、小脑上、下脚

2
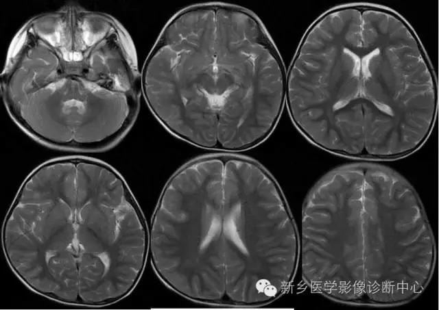
---II期:早期婴儿阶段:出生后1~6个月
视放射、扣带回、禽距、小脑中部、小脑中脚、内囊前肢、胼胝体后部、膝部相继出现髓鞘形成。
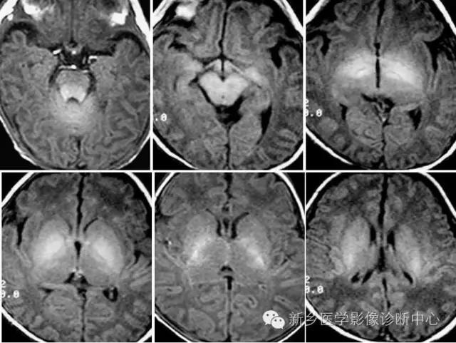
生后5-6个月胼胝体高信号达到膝部。6个月时枕、顶叶出现高信号,并向额叶伸展。半卵圆中心髓鞘化更明显。

3
---III期:后期婴儿阶段:出生后6~12个月
此时,白质内的水分逐渐下降,并有髓鞘形成,小脑半球、以至小脑叶、内囊全部、大脑枕叶、顶叶后部和额叶相继髓鞘形成和部分成熟。

4
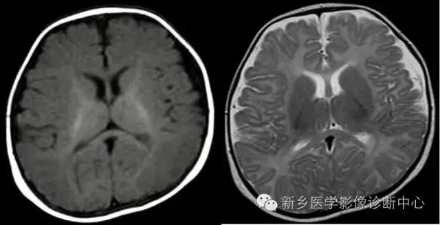
---IV期:早期儿童阶段:出生后1~3年
>12个月~ 18个月 94% 属此期;
>18个月- <2岁100% 属此期。T2WI观察
亦称灰白质信号倒转期。随月龄增长大脑深部白质内水分降低,水分比灰质少,外围区皮质逐渐变薄,白质信号区逐渐扩大。此期中间区(白质)呈低信号,灰质与中央区呈中等信号。


参考书籍:《中枢神经系统磁共振成像》【版权声明】本平台属公益学习平台,转载系出于传递更多学习信息之目的,且已标明作者和出处,如不希望被传播的老师可与我们联系删除